您好! 请 登录 | 注册

科普——肛周鳞癌一例

2022年01月28日 8766人阅读 返回文章列表

典型病例

一天,蔡先生手摸到肛门旁边长出一个小肿块,不痛不痒,自以为是“上火”冒出来的“热疖子”,没事就用手抠抠,抠破后拿金霉素药膏涂涂,抠掉后又长,就这样反反复复持续了三四年。蔡先生一直没有重视。直到一月前,“热疖子”发展到已经堵住肛门口无法正常排便,这才来到我院就诊。


外观检查

肛旁见一5*10cm菜花样肿物,表面覆盖白色污秽苔,触之无痛。直肠指诊未及肿物,退出指套无血迹。两侧腹股沟未及肿大淋巴结。


实验室检查

CEA 1.19 ng/mL , CA19-9 9.38 U/mL , 鳞状上皮细胞癌抗原 6.28 ng/Ml

ECT:全身骨骼显像未见明显肿瘤转移性病变。


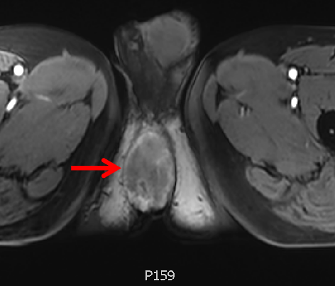
医学科影像

肛门右旁占位,考虑MT可能。



病理分析

活检病理:(肛旁肿物)鳞状细胞癌。


治疗方案:

傅传刚教授组织全科进行病例讨论,新辅助放化疗联合进行是治疗肛周鳞状细胞癌的首选方案。但由于蔡先生延误治疗时期太长,导致肿瘤较大。局切意义不大,治标不治本,最终决定先行新辅助放化疗 ,如果放化疗后有肿瘤残余,还需二期手术,届时肛门可能保不住。现蔡先生正如期接受放化疗治疗,目前情况良好,随诊观察中。



什么是肛周癌?

肛周癌是指发生于肛门周围的恶性肿瘤。鳞状细胞癌多发生于肛管及肛门周围,由肛管和肛门周围鳞状上皮发生,常因肛瘘、痔、手术瘢痕、及潜毛囊肿长期慢性刺激损伤引起。肛周癌发病率较低,属不常见疾病,其好发于男性。


肛周癌临床表现:

早期肛缘有一肿物,生长缓慢,常有不适和瘙痒。随着病情的发展肿物侵犯到括约肌或肛管则出现疼痛。较大的肿块常合并溃疡形成,出现疼痛及出血,如合并溃疡形成且边缘凸起需作病理检查以明确诊断。


哪些人容易患肛周癌?

  • 某些性行为:G交行为

  • 患有肛瘘、痔疮、化脓性汗腺炎、肛门尖锐湿疣等疾病

  • (HPV)感染者:是肛门癌的最强危险因素

  • 免疫功能底下(HIV)感染者,易患该疾病

  • 肛周长期存在炎症疾病

  • 中老年男性


治疗方法

肛周癌主要的治疗法为放疗和化疗,有时需要外科手术。治疗方案及其效果取决于肿瘤的类别、分期和患者自身的健康状况。

  • 若肿瘤较小,仅侵犯到皮下或括约肌、外括约肌,则通过局部切除可能达到根治。

  • 若为鳞癌,且肿瘤较大,可采取放疗;不能进行局部切除,且无腹股沟淋巴结转移,可酌情采用腹会阴联合切除,以达到根治目的。

  • 若肿瘤的恶性程度较高,如为恶性黑色素瘤,则治愈可能性较小,但仍建议在医生指导下积极进行放疗、化疗、物理治疗等,以延长寿命。


总结:

傅传刚教授表示:日常生活中,如果身体出现了不该长出的肿物,要及时前往医院就诊,不要因为长在隐私部位羞于就诊,也不要盲目自行滥用药。要明确病因,在专科医生指导下合理科学治疗。即使发现了肛周癌,也不要过分恐慌,早期的肛周癌治愈率是比较高的,切记不要像蔡先生一样拖太久,延误病情。

0