您好! 请 登录 | 注册

如何将“基底型动脉瘤”转型为“侧壁型动脉瘤”?

2022年10月17日 971人阅读 返回文章列表

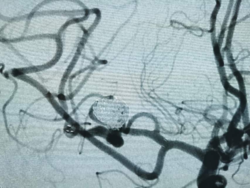
福建中年女性,近期在外查出“颅内动脉瘤”,经推荐转来我院诊治。患者的颈内动脉通路迂曲,动脉瘤也位置奇特,解剖复杂,动脉瘤远近段的血管弯弯绕绕,重重叠叠,眼花缭乱,难以兼顾找到最佳位置。最终克服困难,将“基底型”动脉瘤改变为“侧壁型”动脉瘤,顺利给予治疗……

0