您好! 请 登录 | 注册

经鼻蝶微创切除罕见熊猫血垂体瘤一例—肿瘤医院脑脊柱外

2019年07月15日 7870人阅读 返回文章列表

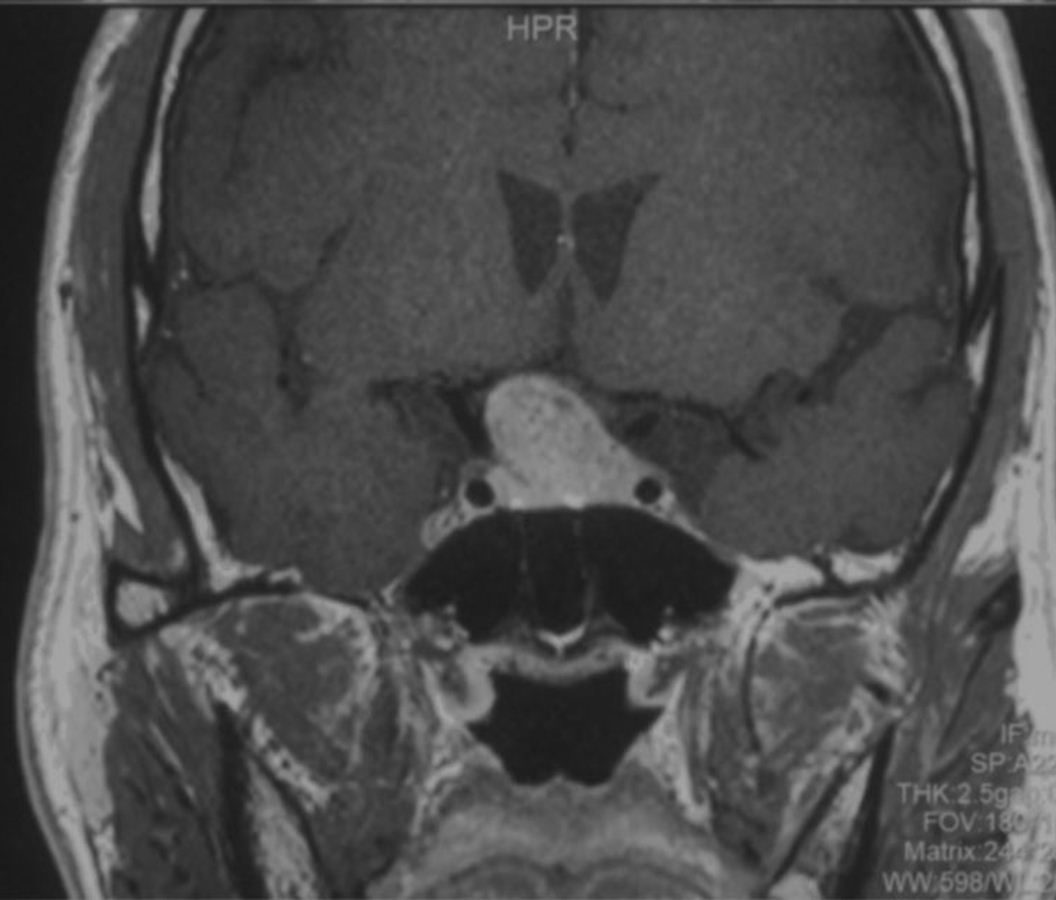
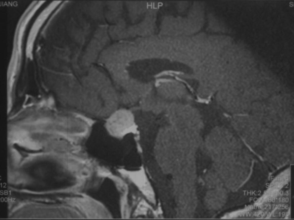
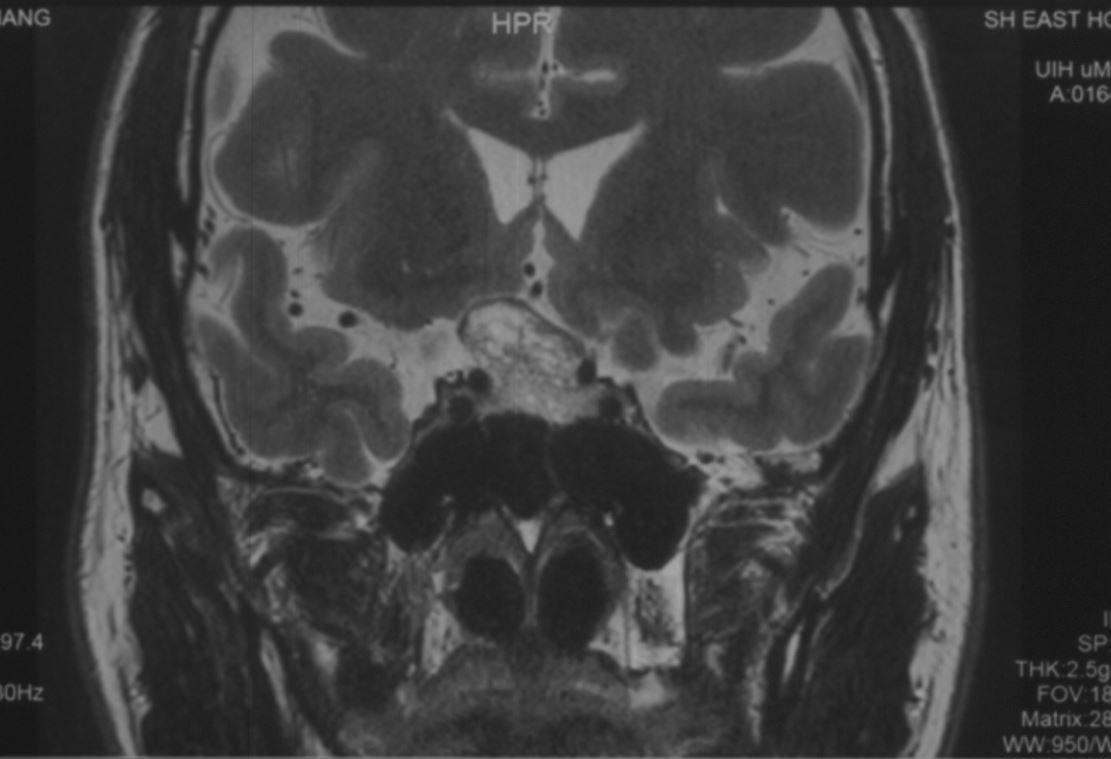
患者为中年患者,因头痛伴视物模糊半年起来就诊,鞍区增强MRI示:鞍区占位性病变,肿瘤大小约2.5cm,肿瘤突破鞍隔向上生长,顶部偏向右侧,视交叉受压明显,两侧侵犯海绵窦。T1WI为等信号,T2WI为混杂等信号,明显强化。复旦大学附属肿瘤医院神经外科高阳

患者为罕见熊猫血,曾就诊多家医院无果,前来我院脑脊柱外科就诊。术前我们充分跟患者交代出血及手术风险事宜,患者表示对我们信任并愿意承担风险接受手术治疗。

术前磁共振图像:


术前冠状位CT示:

术前激素检查:ACTH 47.16(6-40pg/ml),余正常。

术前视力视野:左眼0.4,右眼0.5

经鼻蝶微创垂体瘤切除术,肿瘤全切,手术时间2个小时。

术后即刻CT示:

术区干净,肿瘤切除满意。

术后激素:ACTH 20.23(6-40pg/ml)

术后视力视野:左眼0.4,右眼0.6


术后病理提示:垂体腺瘤,ACTH型。

患者恢复顺利,无发热,无脑脊液鼻漏,住院7天后出院,密切随访中。

当前浏览器不支持播放视频,建议使用火狐或者谷歌浏览器

0