您好! 请 登录 | 注册

偶发肺结节的诊断评估

2021年10月30日 8061人阅读 返回文章列表

一、什么是肺结节?

肺结节是CT成像下被肺实质完全包围的小于3厘米、边界清楚的病灶。简单来说就是肺里进了沙子。



二、肺结节都长什么样呢?

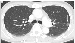
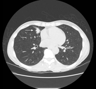
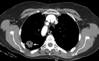
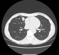
在形态上,肺结节分为实性(如图1)或亚实性;亚实性结节又细分为大名鼎鼎的纯磨砂玻璃结节,即pGGO(无实性成分)(如图2)和部分实性结节(磨玻璃加实性成分)(如图3)。

图1 实性结节(真实美)

图2 纯磨砂玻璃结节(类似于磨砂玻璃,朦胧美)


图3 部分实性结节(即磨玻璃里面有实性成分)


三、肺结节是不是都是恶性的?

仅有少数恶性。最新研究,在发现的12,029个结节中,只有144个(1%)是恶性的偶发性肺结节,这个比例还是很低的。在计算机断层扫描(CT)上发现的绝大多数结节是良性的。所以,放轻松,肺癌离我们很近,也很远

恶性病因 - 恶性结节的常见原因包括肺癌,其他部位癌症肺转移和类癌。

良性病因 - 良性肺结节的常见原因包括感染性肉芽肿(如图4)和良性肿瘤,如肺错构瘤(如图5)。不太常见的原因包括血管(如图6)和炎症性病变。

图4 感染性肉芽肿(说直白些就是一种感染,大多吃吃抗生素就好了)

图5 肺错构瘤(软骨、脂肪等长错了位置)


图6 血管性病变(数龙戏珠)


四、怎么去发现肺结节呢?

虽然X线能够提高肺癌的检出率,但大多数<1cm的结节在X线胸片上不显示,能在胸片上看到的很多都是晚期,故不推荐X线胸片用于肺结节的常规评估。目前推荐使用低剂量胸部薄层CT扫描,CT所能提供给医生的诊断信息更多,更精细,更准确。


五、CT发现了肺结节,怎么看良恶性呢?

单纯根据CT下结节的外观判断良恶性是以貌取人,尽管分叶、毛刺、胸膜凹陷征是恶性病变的特点,但由于小结节中的早期肺癌很少见到这些特点,所以同时需要内部特征(密度和结构)协助鉴别诊断,而这,就交给专业的我们啦。


参考文献


[1] 中华医学会呼吸病学分会肺癌学组,中国肺癌防治联盟专家组. 肺结节诊治中国专家共识(2018年版) [J]. 中华结核和呼吸杂志,2018, 41(10):763-771.

[2] MacMahon H, Naidich DP, Goo JM, et al. Guidelines for Management of Incidental Pulmonary Nodules Detected on CT Images: From the Fleischner Society 2017. Radiology 2017; 284:228.

[3] McWilliams A, Tammemagi MC, Mayo JR, et al. Probability of cancer in pulmonary nodules detected on first screening CT. N Engl J Med 2013; 369:910.

[4] 胸部影像学.第2版/(美)韦伯(Webb.WR.)主编;郭佑民,郭顺林主译-北京:科学出版社,2014.3



0