您好! 请 登录 | 注册

肺癌筛查知多少

2019年10月18日 8439人阅读 返回文章列表

一、什么是肺癌筛查?

肺癌筛查是一种医生在没有肺癌症状的人中检查肺部早期癌症迹象的方法,防范于未然,早发现,早治疗,尽早地将癌症扼杀在摇篮里。

 

二、我可以用胸片而不是低剂量CT扫描进行筛查吗?

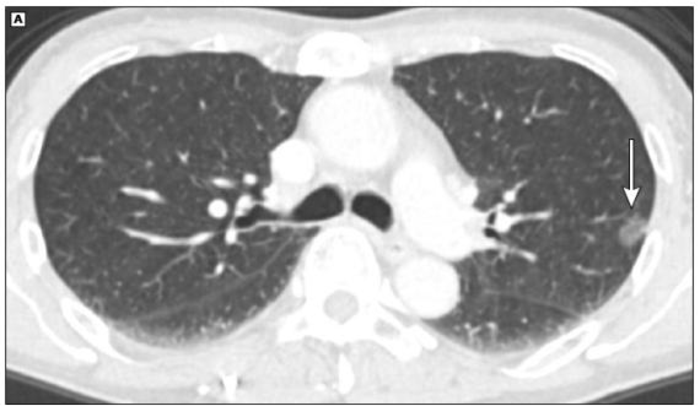
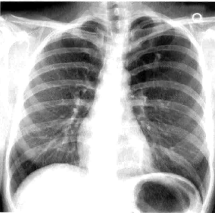
目前肺癌筛查的方法是低剂量的薄层CT平扫,而不是胸片。想象一下大海捞针的难度,就类似于在胸片中找一个很小的肺结节。而CT可以整个肺部分成很多细小的部分,自然更容易找到。

 

                胸片(看整体)

                 肺部CT(看局部)

三、哪些人应该接受肺癌筛查?

年龄≥40岁且具有以下任一危险因素者:

(1)吸烟≥20包/年(或400支/年),或曾经吸烟≥20包/年(或400支/年)已戒烟但戒烟时间<15年;

(2)有环境或高危职业暴露史(如石棉、铍、铀、氡等接触者);

(3)合并慢阻肺、弥漫性肺纤维化或既往有肺结核病史者;

(4)既往罹患恶性肿瘤或有肺癌家族史者。

 

四、筛查肺癌要拍CT,有辐射,会不会对身体不好?

辐射暴露,这可能是大家最担心的地方。与所有X射线一样,CT扫描会使您接触到一些辐射。但要明白,对于地球上的我们,每人每年所受到的天然辐射剂量其实也有2mSv,对于医学影像而言,胸片一次的辐射量0.1mSv,胸部CT辐射量大约3-5mSv,而推荐肺癌筛查的低剂量胸部CT的辐射量大约1.5mSv,放射剂量是很低的,致癌风险也很低,概率大约为十万分之一到一万分之一。CT检查的致癌致病率比开车出车祸的概率还要低,所以大可不必过于担心。

 

五、应该多久进行一次低剂量CT扫描筛查?

如果您的扫描结果正常,则需要每年进行一次低剂量CT扫描。可以在80岁时停止筛查,或者在戒烟15年或更长时间后不再吸烟。


如果我的CT扫描异常怎么办?

如果您的扫描异常,先不要惊慌。因为在扫描异常的100人中,超过95人没有患肺癌。只要把你的报告和CT片带到门诊找专业医生,听从专业指导就好。

 

七、专科问题找专家,哪里找我们呢?

参考文献:UpToDate:Patient education: Lung cancer screening (The Basics)

 

 


0