您好! 请 登录 | 注册

有一种“假性老年性痴呆”是可以治疗的

2022年08月12日 3897人阅读 返回文章列表

科普任重而道远:今日话题:有一种“假性老年性痴呆”是可以治疗的~~~
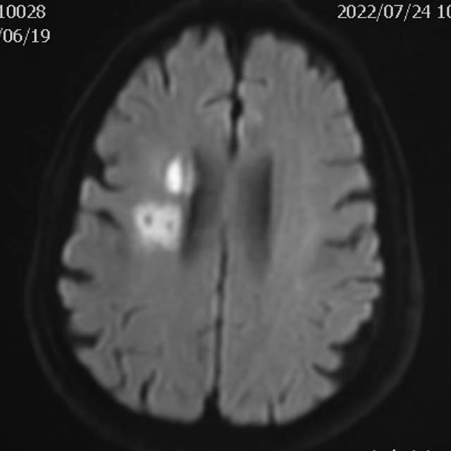
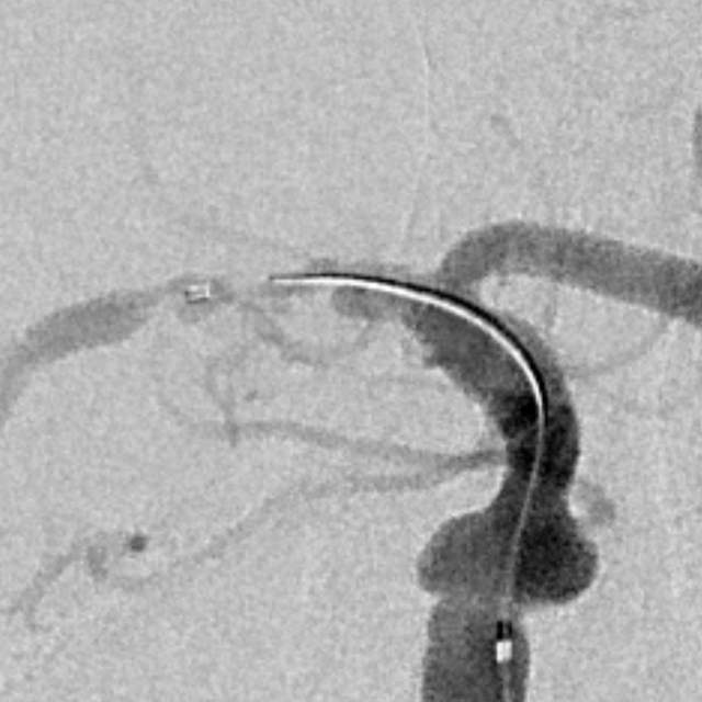
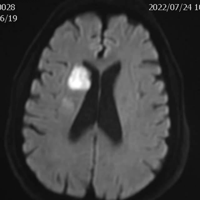
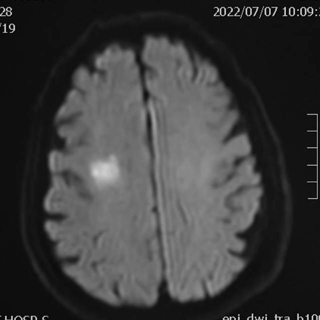
78岁老年男性,最近一个半月来已经和家里人没法正常交流,认知能力大幅下降,在农村,可能也就认为年龄大了,听天由命了。可老人家就是福大命大,有亲戚做医生,间隔17天先后为老人做了两次头颅MRI,发现脑梗塞,右侧血管长节段严重狭窄,右侧大脑半球缺血严重(图6,满江红),手术风险大……,家属经过反复咨询、犹豫、权衡,选择了保守治疗,毕竟老人年龄大了,手腿现在还能动,手术也有风险,时机也不是太好,国外研究不推荐,国内研究也不支持,保守治疗似乎是个不错的选择。然而,保守期间,患者反复出现脑梗塞,认知能力进行性下降,最终促使家属决定采用外科干预。然而,对医生而言,在梗塞的急性期处理这种长节段密布分支血管的病变风险不言而喻,而一味的观望和等候肯定不是最佳选择。过一点,可能出血;欠一点,可能闭塞。全面认真评估后,我们顺利为老人家完成了I期治疗,老人家的“火焰山”(图6)变成了“绿油油”充满生机的田野(图14),缺血明显改善,认知能力大幅提高,术后就能和家人正常交流了,也记起了很多以前忘记的事情……,家人很开心。
老人是幸运的,家里有一个靠谱的亲戚医生,在“向左走,向右走”的关键时刻做出了正确的选择,没有走太多弯路,今日老人家出院了,重新开始了新的生活~~~

1