您好! 请 登录 | 注册

哪些磨玻璃结节不是肺癌?哪些磨玻璃结节是良性的?

2020年11月05日 13336人阅读 返回文章列表

磨玻璃结节可能是恶性的,也可能是良性的。下面分享一些病例给大家看看。

病例一、右中肺巨大磨玻璃结节


左图上边的黄色箭头指示的是磨玻璃结节,椭圆形30毫米左右。下边的黄色箭头指示的是磨玻璃结节紧贴肺动脉。两个绿色箭头指示的是中下叶交界处的肺裂。可见磨玻璃结节已经累及肺裂。

右图上边的黄色箭头指示的是磨玻璃结节,椭圆形30毫米左右,内部密度不均,有一些小空泡样改变。两个绿色箭头指示的是中下叶交界处的肺裂。可见磨玻璃结节已经累及肺裂。

病人比较年轻,磨玻璃结节影子较淡,良恶性难定。一般磨玻璃结节8毫米以上开始要3-4个月复查一次。这个人磨玻璃结节很大,如果不手术,要每2-3个月复查一次,观察结节有没有增大,内部结构有没有变化。如果这个结节是良性的,由于病人比较年轻,时间长了以后这个结节将来还会很缓慢地增大,到时候还是要手术。如果病变是恶性的,进行观察不手术,这么大的磨玻璃结节,已经侵犯肺裂了,又紧贴肺动脉,而且距离肺门较近,很容易发生淋巴结转移。而凡是侵犯肺裂的恶性肺癌术后都要化疗。所以医生和病人如果认为是良性的,观察随访不手术的话,最终病变却是恶性的话,病情可能明显发展,可能会耽误病情。

所以,最后病人做了手术。

病理是肺组织纤维增生反应,和肺泡腔内的组织细胞反应。是良性的疾病。病人不用成天提心吊胆过日子了。


二、病例2.

这个磨玻璃结节6毫米,中心一个小空腔,总体磨玻璃结节影子比较淡。


病理为不典型腺瘤样增生,是原位癌前的阶段。一般不典型腺瘤样增生内部是没有小空泡的。有小空泡的起码是原位癌。不典型腺瘤样增生往往要缓慢增大,发展至原位癌阶段。


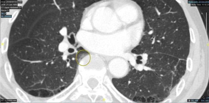
三、病例3、脊柱旁的肺突入纵隔处的肺磨玻璃样影,

脊柱旁的肺突入纵隔处的肺磨玻璃样影,一般是良性的。

一般是良性的。

上图圆圈处的脊柱旁的肺突入纵隔处的一个肺磨玻璃样影。不是圆形或椭圆形。这个地方有些病人会有一个磨玻璃样影子。本图的磨玻璃样影比一般病人影子深一倍以上,一般病人此处的磨玻璃影子比此图浅得多。


四、某些有传染性的肺结核病人。

此病人痰中检查出结核菌,确诊为肺结核,具有传染性。这是服药前的CT。

可见肺结核球状、片状发白的的影子周围有一些较淡的磨玻璃影子,这些较淡的磨玻璃影子围绕着发白的影子,也是结核的一种表现。

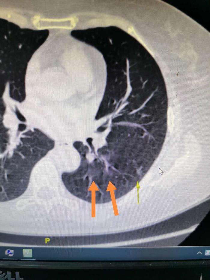
病例五、肺内差异化灌注

上图左边两个粗的橙色箭头指示的是肺内疾病稍发白的云絮状影,没有明显边界。右边细的黄色箭头指示的是一个磨玻璃结节,有明显边界,而且密度较高,看起来白一些。

肺功能不好的病人有可能整个肺到处是这种肺内差异化灌注,看起来像花斑一样。

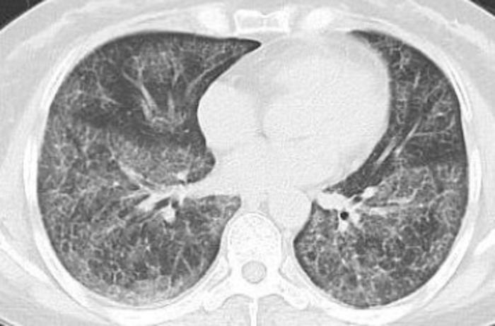
病例六、肺泡蛋白沉积症。

双肺弥漫性磨玻璃影,呈现地图样分布,可铺路石样改变。

七、胸膜下长条状磨玻璃影,间质性肺炎

胸膜下长条状磨玻璃影,里面有小空洞。属于间质性肺炎的一种表现。


0