您好! 请 登录 | 注册

基于临床病例的【平山病临床诊疗国际指南】解读--从早期诊断、保守治疗 到 手术治疗、系统随访

2020年02月22日 8895人阅读 返回文章列表

基于临床病例的【平山病临床诊疗国际指南】解读


---- 从早期诊断、保守治疗 到 手术治疗、系统随访


复旦大学附属华山医院 骨 科

复 旦 大 学 脊 柱 外 科 中 心

聂聪,王洪立,姜建元

 

一、指南制定的相关背景

平山病是一种青春期时起病,以上肢局限肌肉萎缩为主要特征的临床疾病,好发于青年男性。既往认为该病是运动神经元病一种亚型的观点已随着进一步的研究而改变,屈颈位MRI及电生理等诸多研究提示该病是一种与青春期脊柱生长发育密切相关的屈曲型脊髓病。目前大量的临床研究证实手术干预对平山病有效。所以无论从发病机制,还是手术治疗的临床结果均提示:平山病应该是脊柱外科医生需要掌握的一种新疾病。

自2007年累计手术治疗平山病400余例;并先后在国家自然科学基金、上海卫生系统重要疾病联合攻关重点项目等7项课题的资助下,复旦大学附属华山医院骨科对平山病的发病机制、手术指征、手术方案及疗效评估,以及临床诊断标准及分型等多个方面进行了系统性研究,先后发表学术论文30余篇(SCI期刊论文18篇),在领域内形成了学术影响。

为了进一步规范平山病的诊疗流程,促进平山病的早期诊断及有效治疗,2018年4月由复旦大学附属华山医院骨科牵头组织了全世界6个国家(中国、美国、日本、印度、意大利、西班牙)、7个专业领域(脊柱外科、神经内科、神经外科、手外科、康复科、放射科、神经电生理中心)的47位专家遵循科学性、实用性和先进性原则,采用 Delphi 法共同讨论制定了平山病临床诊疗规范国际指南,从临床表现、影像学及电生理特征、诊断与鉴别诊断、保守与手术治疗、疗效评价等多个方面对平山病进行了规范总结。

二、基于病例的指南解读

平山病的临床诊断依靠临床表现、影像学检查及电生理检查的三者结合,诊疗流程见下图(图1)。以下将结合临床具体病例对平山病诊疗指南进行适当解读。

图1 首诊于骨科的疑似平山病患者诊疗流程图


表1 平山病华山分型系统及临床处理建议(王洪立, 郑超君, 金翔, 等. 平山病华山诊断标准与临床分型[J].中华骨科杂志,2019,39(8):458-465. DOI: 10.3760/cma.j.issn.02532352.2019.08.003)


图2 患者手部及前臂外观,黑色箭头示右手大鱼际肌肉萎缩,红色箭头示右手小鱼际萎缩,蓝色粗箭头示右侧前臂尺侧肌肉较对侧萎缩


图3 患者2017年3月神经电生理检查报告(部分),其中红圈示部分被检肌存在自发电位,蓝圈示部分被检肌募集减弱


图4 屈颈位MRI T2加权像显示,硬膜囊后壁与椎管后壁分离,呈“膜-壁分离”现象;未见明显髓内信号改变

 

图5 颈椎正侧位及过屈过伸位X线,显示患者颈椎生理曲度变直,活动度正常


5月后,患者再次于门诊就诊,诉佩戴颈托后颈部不适,右手无力及伸指震颤症状加重,查体双侧膝反射(++),双侧Hoffmann征(-),再次接受肌电图检查,与前次检查结果无明显差异,仍显示下颈段节段性神经源性损伤,部分被检肌仍存在自发电位及募集减弱现象。

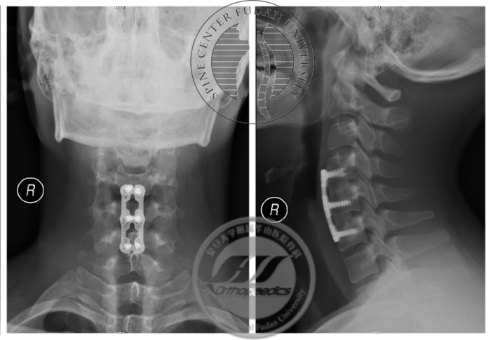
患者于2017年8月30日接受颈椎前路自体髂骨植骨融合内固定术,术后恢复良好,定期随访。最近一次随访为2019年9月(术后2年),患者诉右手握力较前增大,寒冷时症状较前好转,伸指震颤症状仍存在。X线示内固定无松动移位,屈颈位MRI显示“膜-壁分离”现象消失,屈颈位脊髓未见明显压迫,相邻节段未见明显退变(图6,7),神经电生理检查示所检肌自发电位消失,募集较前好转(图8)。

图6 术后2年X线示内固定无松动移位,颈椎曲度良好



图7 术前与术后2年屈颈位MRI对比,术后T2加权像显示“膜-壁分离”现象消失


图8 患者2019年9月神经电生理检查报告,其中红圈示被检肌自发电位消失,蓝圈示桡侧屈腕肌、食指固有伸肌募集情况由“单纯相”“少量MUP”恢复为“单纯混合相”


三、分析与思考

本例患者为年轻男性,起病年龄16岁,为生长发育高峰期,符合平山病流行病学特征。从初次门诊就诊的结果来看,患者有典型的单侧上肢远端肌肉萎缩、无力症状,伴有伸指震颤症状,不伴有上肢近端肌群的萎缩及下肢症状,不伴有锥体束征阳性;屈颈位MRI检查显示典型的“膜-壁分离”现象,神经电生理检查显示下颈段神经源性损害,未提示其他节段肌肉受累。至此,平山病的诊断基本确立,华山分型为Ib型。

在鉴别诊断方面,本例主要与运动神经元病相鉴别,运动神经元病患者在病程早期亦可表现为单侧上肢的肌肉萎缩,随着病程进展,逐渐出现其他节段的肌肉萎缩及锥体束征阳性等表现,通常神经电生理检查可更早发现隐匿的多节段神经源性损害。本例患者5个月后临床症状仍局限于上肢,锥体束征阴性,神经电生理检查未见其他节段被检肌受累,暂排除运动神经元病。根据患者症状、体征、影像学检查及神经电生理检查,平山病的诊断明确。

在治疗方面,患者初诊时病程为4年,症状近期仍有进展,故先采取保守治疗的方式,嘱患者佩戴颈托限制屈颈活动。5月后再次就诊,患者佩戴颈托依从性不佳,保守治疗期间仍存在病情进展。对于不能耐受长期佩戴颈托治疗的患者,手术治疗为可行的治疗方式,故采取手术治疗。从随访结果来看,颈椎前路植骨融合内固定手术消除了屈颈时硬膜囊对脊髓的压迫,有效地阻止了病程进展,患者的手功能得以保留甚至有所恢复。


【作者介绍】:

聂聪

医学博士,复旦大学附属华山医院骨科住院医师,师从姜建元教授

主要研究方向为骨科疾病的临床电生理研究与脊柱术中电生理监测等。


王洪立

复旦大学附属华山医院骨科,副教授,副主任医师,硕士研究生导师,师从姜建元教授。

主要从事脊柱疾病临床与基础研究。独立承担脊柱相关课题7项,第一/通讯作者发表论文40余篇;先后入选“上海青年医师培养资助计划”、复旦大学附属华山医院“优秀人才培养奖励计划”、哈佛医学院临床学者研究培训项目;并获中华医学科技奖二等奖、上海医学科技奖一等奖、全国骨科中青年医师优秀论文评比一等奖、“上海优秀青年医师”等奖励与荣誉。


姜建元

复旦大学附属华山医院骨科主任,教授、主任医师、博士研究生导师

目前担任:中华医学会骨科学分会常务委员兼微创外科学组副组长、中国医师协会第四届理事、中国医师协会骨科医师分会副会长兼胸腰椎专委会主任委员、中国医师协会毕业后医学教育骨科专委会常务副主任委员、中华预防医学会脊柱疾病预防与控制专委会副主任委员、中国康复医学会脊柱脊髓专委会常务委员兼腰椎研究学组副主任委员、中华医学会老年医学分会老年脊柱外科工作组副主任委员、中国医促会骨科疾病防治专委会脊柱疾病防治学组副主任委员、中国老年学和老年医学学会老年骨科分会副主任委员、上海市医学会骨科专科分会主任委员、上海市医师协会骨科医师分会副会长兼脊柱工作组组长、上海骨科“浦菁荟”会长等学术职务。

主要成就:长期致力于骨科专科医师培训与再教育工作,在国内首创了以标本操作为特色的骨科临床医师培训模式,累计培训专科医师7000余名,获得了良好的培训效果。在对国人脊柱应用解剖综合研究的基础上,对脊柱常用术式进行了系统性创新与改良,主编的《脊柱应用解剖图谱》以其原创性和新颖性,荣获国家新闻出版总署第一届“三个一百”原创图书出版工程及“100本科技创新图书奖”。近年来对平山病进行了多维度临床研究,提出了临床诊断新标准和首个临床分型,并牵头制定了国际上首个《平山病临床诊疗规范国际指南》。先后获得中华医学科技奖二等奖、上海医学科技奖一等奖、第二届周光召基金会“临床医师奖”、第三届“国之名医”、 中国医师协会骨科医师分会年度优秀工作者、中国骨科住院医师规范化培训突出贡献奖、上海市卫生计生工作先进个人、上海市仁心医师奖、上海市杰出专科医师奖等奖励与荣誉。



1