您好! 请 登录 | 注册

CNS结节病

2017年02月05日 11275人阅读 返回文章列表

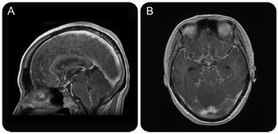
       柔脑膜(包括软脑膜和蛛网膜,影像上难以鉴别)受累为中枢神经系统结节病最常见的表现,出现率高达 40%。表现为柔脑膜增厚及明显强化,强化可为弥漫性或结节样,好发于脑底部的脑膜,尤其是鞍上或额部,但可发生于脑膜的任何部位,更集中于脑沟深部。本例患者出现串珠样脑膜强化属于少见表现。


0