您好! 请 登录 | 注册

合并脑梗塞的症状性颈动脉蹼

2023年03月20日 13人阅读 返回文章列表

49岁中年帅哥,近期出现记忆力减退和走路肢体无力17天。既往有糖尿病病史17年,控制差。

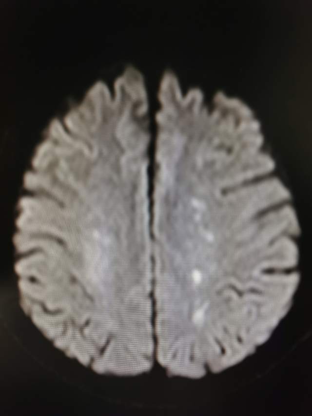
头颅MRI提示:左侧分水岭区点状脑梗塞,右侧半卵圆区脑梗塞

造影发现:

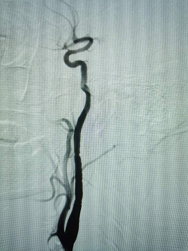
1、左侧颈内动脉起始部蹼

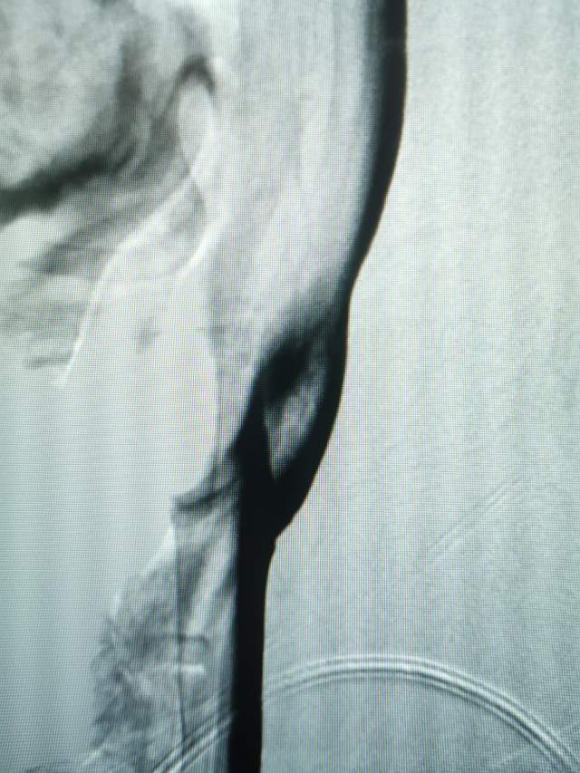
2、右侧颈内动脉起始部闭塞

左侧散在的多发点状脑梗塞与左侧颈动脉蹼相关,属于症状性蹼,长期口服抗血小板药物无效。

下面咱们看看这个蹼是如何导致局部的血流紊乱,导致局部血栓栓子“天女散花”式脱落引起左侧脑梗塞的
右侧的脑梗塞由于右侧颈内动脉闭塞所致,2周后再处理。
左侧颈内动脉蹼(起始部) 左侧颈内动脉蹼(起始部)的紊乱血流动力学
左侧颈内动脉蹼(起始部)的紊乱血流动力学 左侧颈内动脉蹼(起始部)的紊乱血流动力学

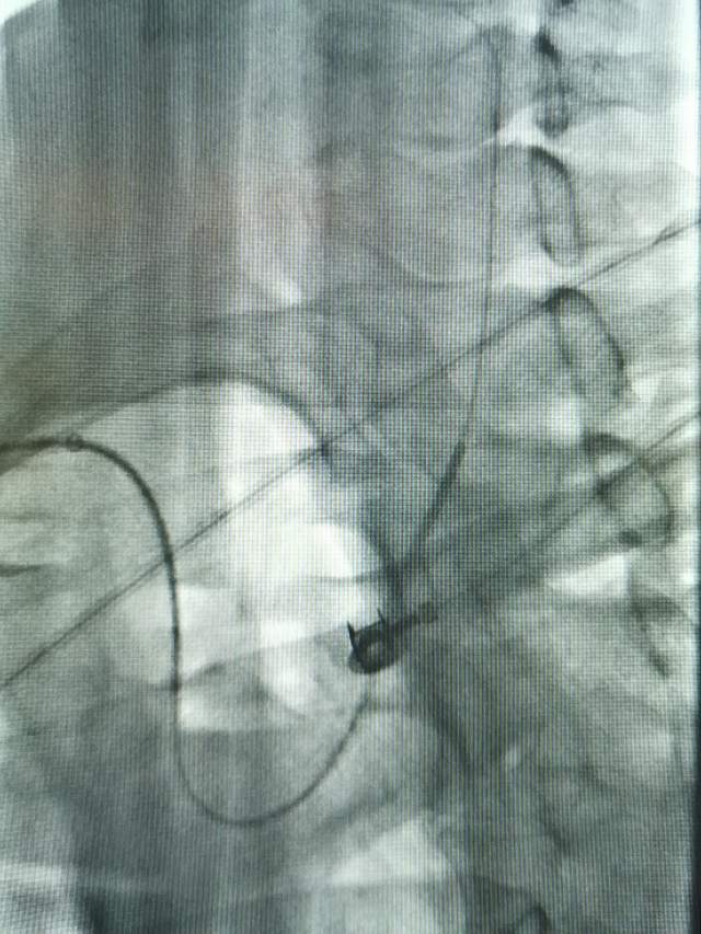
既然口服抗血小板药物无效,那就只能外科干预,将起始部的瓣膜结构“蹼”机械性压在血管壁上,改善局部的血流紊乱和微栓子的形成。

下面开始对颈动脉蹼进行治疗

0