您好! 请 登录 | 注册

难上加难——复旦大学附属中山医院胰腺外科成功完成罕见“镜面人”的复杂胰十二指肠切除术!

2021年11月21日 15503人阅读 返回文章列表

心脏在右边,肝脏在左边……全内脏器官反位,这种只在平时查阅文献时才有所耳闻的特殊病例,近日来到了复旦大学附属中山医院胰腺外科就诊。这位罕见的胰头肿瘤患者在本周五接受了胰腺外科最复杂的术式——胰十二指肠切除术。正常人做这个手术尚是高难度,再加上该患者又是罕见的“镜面人”,解剖上的变异难以预知,让这例手术“难上加难”!

在此之前,国内外合并全内脏反位的胰头肿瘤病例仅有个案报道,中山首例!手术在靳大勇教授、楼文晖教授、王单松教授等胰腺外科团队的支持指导下,由刘亮教授主刀(张磊副教授和韩序主治医生分别担任一助和二助)完成,期间麻醉师、手术护士等给予了完美的协助。手术历时4小时,术中出血仅为100ml,患者全程生命体征平稳,安全返回病房。

(插图一)


下面我们就一起来回顾一下该例患者的全程精彩诊治经过吧!

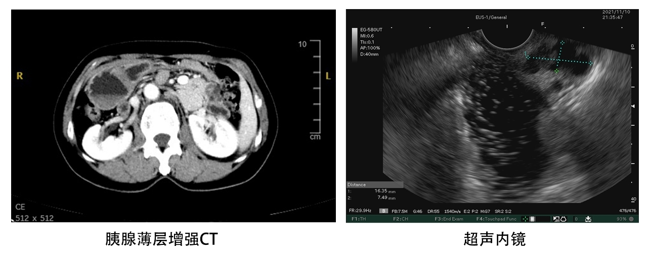
患者近半年来无明显诱因下出现上腹的持续性隐痛,刚开始两天还可以忍受,此后逐渐加重,伴有恶心、呕吐,到当地医院以急性胰腺炎诊断处理后保守治疗。此后半年间,症状反复出现,近2周患者症状再次加重,当地医生给与腹部CT检查后大吃一惊:首先是发现胰头部有肿瘤,其次是发现“该患者的CT片子要反过来看”。据患者自己说:“医生开始还以为是影像科打印的时候出错了,后来又做了上腹部的核磁共振+胰胆管造影(MRCP检查后,医生确认是患者的脏器全部反位了------”。

由于病情复杂,当地医院建议患者转至复旦大学附属中山医院胰腺外科就诊。刘亮教授在询问清楚患者近半年来的诊治经过后,调阅了患者外院的影像资料,也是大吃一惊,多年的职业敏感性告诉他,这很可能是一例极其罕见的“镜面人”,也就是说,这位患者所有的内脏器官都存在和普通人“反位”的现象。

在对患者影像学资料充分分析并加做超声内镜检查后,刘亮教授认为患者胰头部肿瘤为胰腺导管内乳头状粘液性肿瘤(IPMN),由于其中存在明显壁结节,引起胰管狭窄和胰液粘稠排泄不畅,可能是导致患者胰腺炎反复发作的首要原因。 “镜面人”的生理解剖与普通人相差甚大,手术的复杂程度和难度系数也随之加大,但由于IPMN胰腺癌癌前病变出现壁结节后癌变几率更是加大。因此,刘亮教授将此特殊病例提交以楼文晖教授领衔的中山胰腺肿瘤MDT进行多学科讨论,各位专家形成统一意见:对该患者实施胰十二指肠切除术是可行的、安全的、必要的!

20211119日上午,“镜面人”的胰十二指肠切除手术在复旦大学附属中山医院手术室顺利展开。以下为手术精彩瞬间:

进腹后观察到的全腹腔脏器“反位”:

切除标本的大体观(胰头[含远端胆管]+胆囊+十二指肠+远端胃):

术后第一天,患者体温、脉搏、呼吸正常,血压112/60mmHg,心率72-80/分,尿量正常,胃肠减压通畅,腹腔引流为淡血性。状态平稳,恢复如期。

患者家属对中山医院,对整个手术团队发出由衷地感谢:正是在全国最具综合实力的复旦大学附属中山医院,正是在如此强大的手术团队面前,如此罕见、如此高难的手术才能迎刃而解------。

科学脑补:所谓的“镜面人”,即心脏、肺、肝脏、脾脏、胰腺、胆囊等内脏器官的位置与正常人完全相反。目前医学上对其成因还没有定论,一般认为是跟胚胎发育过程中出现基因突变有关,其发生率极低,全部脏器反位的情况更为罕见。医学常识告诉我们“镜面人”是内脏解剖反位,至于他们的生理、病理是否也存在反位或错位的现象,则完全是未知。正因如此,他们一旦患病,医生若按照常规思维判断则极有可能造成误诊误治。

 


9