您好! 请 登录 | 注册

DEAD BONE APPEARANCE AND IMAGING DIAGNOSIS 死骨外观及影

2019年05月15日 7878人阅读 返回文章列表

在临床手术中判断死骨,主要依靠三个条件[1]:


▶  色泽。色泽蜡黄,质地均匀,在光照的情况下,反光较强,而活骨色泽淡红,白红色泽相间,光照下反光性差。


▶  硬度。死骨硬度高,咬骨钳清理时会感到吃力,活骨则硬度明显较低,特别是肢体长期失用患者,多有骨质疏松,与死骨呈鲜明对比。


▶  包膜和外被。死骨虽被瘢痕包裹,但两者联系疏松,容易分离,且死骨剥离面上看不到任何毛细血管迹象,而活骨都用骨膜包裹,剥离时可看到明显的毛细血管痕迹。


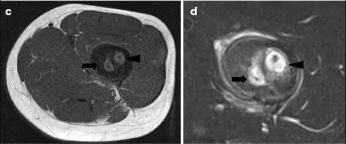
                                                         患者,男,38岁车祸致左胫腓骨开放性骨折伴软组织缺损。

                                                                      图片上可明显看到死骨及活骨之间区别。


死骨在影像学中的定义与临床有所不同[2]。在影像学上,死骨定义为在透明病变区域内可见的钙化影,与周围骨完全分离,不涉及周围组织及血管状态。在CT及X线片上,可以看到低密度影中间明显大高密度影。仅仅通过CT及X线片一般很难判断是否为实际死骨,可能与骨转移瘤等相混淆。因此,结合增强MR,可以区分坏死组织包裹的死骨是否存在血流,从而判断是否为真正定义上的“死骨”。因此临床上判断死骨时,有必要将MR及CT、X线片等联合运用判断[3]。



(b)CT显影情况,上可见明显死骨形成。图c、d分别为横向T1加权MR及T2加权相MR,可见增强后中间高密度影无明显增强,无明显血流,符合死骨诊断。






CAUSE OF DEAD 

BONE FORMATION

死骨形成原因

————————————


最初,临床上认为死骨形成主要与感染等因素相关。因此最早的治疗及诊断方式与慢性骨髓炎大同小异。最早的动物模型研究出现在1941年,Scheman[4]选取家兔作为动物模型,将鱼肝油酸钠和金黄色葡萄球菌悬液直接注射到其胫骨干骺端,制备了骨髓炎动物模型。但研究中同时发现,对于急性骨髓炎模型,形成的死骨量与感染程度并没有太大的相关关系。直到James[5]通过在电子显微镜下观察家兔缺血骨段模型,发现缺血2小时后,骨细胞呈可逆性变化,而4小时后造成不可逆性损伤,缺血24小时后,骨细胞全部凋亡。而这一发现证实了血运损伤是导致死骨形成的根本原因。因此,死骨形成的机制可以理解为由于感染、药物及血管损伤等各种原因造成血运损伤。






THE INFECTION LEADS TO

THE FORMATION OF

DEAD BONES

感染导致的死骨形成

————————————


一般来说,死骨主要出现在慢性骨髓炎中。慢性骨髓炎患者往往存在较严重的开放性骨折,或者高能量损伤所至,骨断端暴露,易被细菌侵蚀,导致骨组织感染或局部细菌病灶残留。加上此类高能量损伤对骨断端周围皮肤软组织、血管造成的创伤严重,进一步促进了死骨形成[6]。


对于这些慢性骨髓炎导致的死骨,临床上针对这些治疗的共识是:在充分清创及病灶引流的基础上,同时予以局部及全身抗生素治疗。病灶清除术是治疗慢性骨髓炎的关键环节。能最大限度的清除肉芽组织及瘢痕、摘除死骨、清除死腔,进而改善局部血液循,促进骨的愈合与再生,是治疗的最基本条件[7]。慢性骨髓炎病灶中死骨缺乏血供,全身应用抗生素难以灶病灶局部形成有效杀菌浓度,治疗效果差、副作用大。在病灶局部直接使用敏感性抗生素则对所选择的的载药载体的性能要求高,既要保证充足的载药量,又要实现持续稳定的释放,这样才能将附着于死骨的细菌生物膜彻底消灭。


近年来,不可降解或可降解材料载抗生素的局部递送系统、组织工程骨等新方法有着良好的应用前景。万古霉素热稳定性高、抗菌谱广、全身副作用小、安全性高,支撑抗生素骨水泥填塞,使万古霉素局部作用于原病灶,稳定持续的释放万古霉素,从而有效控制感染,同时能起到填充和支撑作用,有利于重建骨与软骨组织。


对于大面积的慢性骨髓炎,临床上可采取Ilizarov技术、masquelet技术对其进行处理。


通过Karger[8]等通过masquelet技术治疗84例长骨缺损合并感染病例,其最大缺损长度23cm,达到90%的愈合率。






DEAD BONE FORMATION 

CAUSED BY DRUGS

药物导致的死骨形成

————————————


药物导致的死骨最常见于长期使用激素的患者之中。Mont等人发现,当皮质类固醇(泼尼松)治疗剂量>2g时,发生药物性股骨头坏死的概率为6.7%。最新流行病学调查显示,技术性股骨头缺血坏死(SANFH)占所有死骨病例中的24.1%。类固醇激素诱发的死骨形成主要与细胞凋亡相关,激素在病程过程中,诱导了成骨细胞和骨细胞的凋亡,减少破骨细胞的形成,导致骨转换的减少,促进连续凋亡[9]。


双膦酸盐(bisphosphonate,BP)作为抗骨吸收药物,临床上广泛用于治疗骨质疏松、peget病以及恶性肿瘤的骨转移。[10]但长期服用双膦酸盐其无药物假期被认为是死骨形成的危险因素。


它可能通过抑制破骨细胞迪凋亡,阻碍骨骼信息传导,间接抑制成骨细胞活动,从而抑制骨质沉积和骨骼生理重建。不仅如此,局部高剂量的BP可能通过抑制甲羟戊酸合成而抑制骨形成、通过抑制血管内皮细胞增殖及肿瘤血管形成因子分泌等途径使骨修复过程中血管生成减少,最终导致死骨形成。


酒精中毒也是导致骨坏死的确定性因素,且临床报道日渐增多[11]。Kang[12]等人经过随机抽样调查酒精性骨坏死患者并结合正确诊断率推测韩国该病患病率为0.205‰~0.30‰。目前酒精性骨坏死流行病学研究主要集中于东亚三国(中国、韩国、日本),目前主要认为是酒精所引起的脂肪代谢紊乱导致成骨细胞及破骨细胞之间相互作用影响,进而引起周围血管生成减少,导致骨坏死,最终导致死骨形成。


可以看出,多种药物都有可能导致骨坏死,进而导致死骨形成。目前对于药物引起的骨坏死,机制并没有完全清楚。







TREATMENT OPTIONS

AND LATEST 

PROGRESS

治疗方式及最新进展

————————————


目前对于死骨治疗,主要采取彻底清理死骨,自体或异体、人工骨植骨后固定的方式治疗。对于伴有感染的死骨,则是通过清创引流,全身及局部抗生素使用确保感染完全控制后再行Ilizarov技术活masquelet技术治疗。


除此之外,BMP复合骨作为新材料受到瞩目[13]。BMP是迄今为止已知最强的固有到形成因子,能促进细胞增殖、分化和细胞外基质合成,对植骨融合过程的启动、发展、调控及改建起重要作用。通过BMP复合骨结合异体骨联合植骨,在临床上已经有了不少成效[14]。Habibovic[15]在2007年将BMP复合骨植入小鼠骨缺损模型中,发现3周后已有新生骨组织爬行替代。


注射富血小板血浆(PRP)也是目前最为常用的治疗方式之一。PRP作为植骨辅助材料,最初用于治疗关节炎及软骨损伤。Lee[16]发现PRP在截骨牵张技术中,可以在一定程度上促进成骨愈合。而Sakio[17]认为PRP是否能够促进骨愈合还值得继续讨论。


0