您好! 请 登录 | 注册

神经导航下脑立体定向活检术-让千变万化的胶质瘤原形毕露!

2018年07月17日 8234人阅读 返回文章列表

脑胶质瘤是颅内常见的肿瘤,多呈侵袭性生长,无包膜,边界不清,恶性程度各异,容易复发,治疗仍以手术为主,术后辅助放疗和(或)化疗,因恶性程度不同,疗效不一。

然而,很多神经胶质瘤在影像学表现上多种多样(某些病变较深、位于重要功能区域、病变多发散在多发),还常出现同病异像、异病同像,容易与颅内其他疾病(如炎症、变性疾病、脱髓鞘病变、转移瘤、淋巴瘤等)混淆,从而延误治疗。脑立体定向病灶的活检是获得明确病理诊断、指导后期治疗的有效手段。

复旦大学附属肿瘤医院脑脊柱外科,采用神经导航下脑立体定向活检术,为43例脑深部复杂病变明确了病理诊断。其中,胶质瘤17例,均为高级别(III级及以上)胶质瘤(2例颅内多发胶质瘤中,伴有II级病变);所有胶质瘤中颅内多发胶质瘤3例,大脑胶质瘤病1例,中枢神经系统胚胎性肿瘤1例。

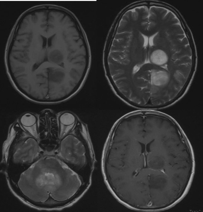
1.颅内多发胶质瘤病

多发胶质瘤病(multifocal and multicentric gliomas, MFG, MCG)是指颅内发生2个或2个以上的神经上皮肿瘤。本病多数起源于多发中心,少数是转移或肿瘤间断性发展而成。该病容易与多发转移瘤、淋巴瘤、脱髓鞘相混淆。病理类型中最常见的为胶质母细胞瘤。

多发胶质瘤预后极差。Salvatid等(2003)报道的25例多发胶质瘤患者中,平均生存期7.6个月(0-16个月)。10例胶质母细胞瘤患者中,平均生存期3.2个月。

治疗建议:对于没有颅高压的多发病灶应首选脑立体定向活检明确诊断,根据病理结果进行后续治疗;对于引起明显颅高压和神经功能障碍者,可尽早手术切除病灶减压,力争一次性切除较多个肿瘤;对于肿瘤相距较远者,可分次切除。


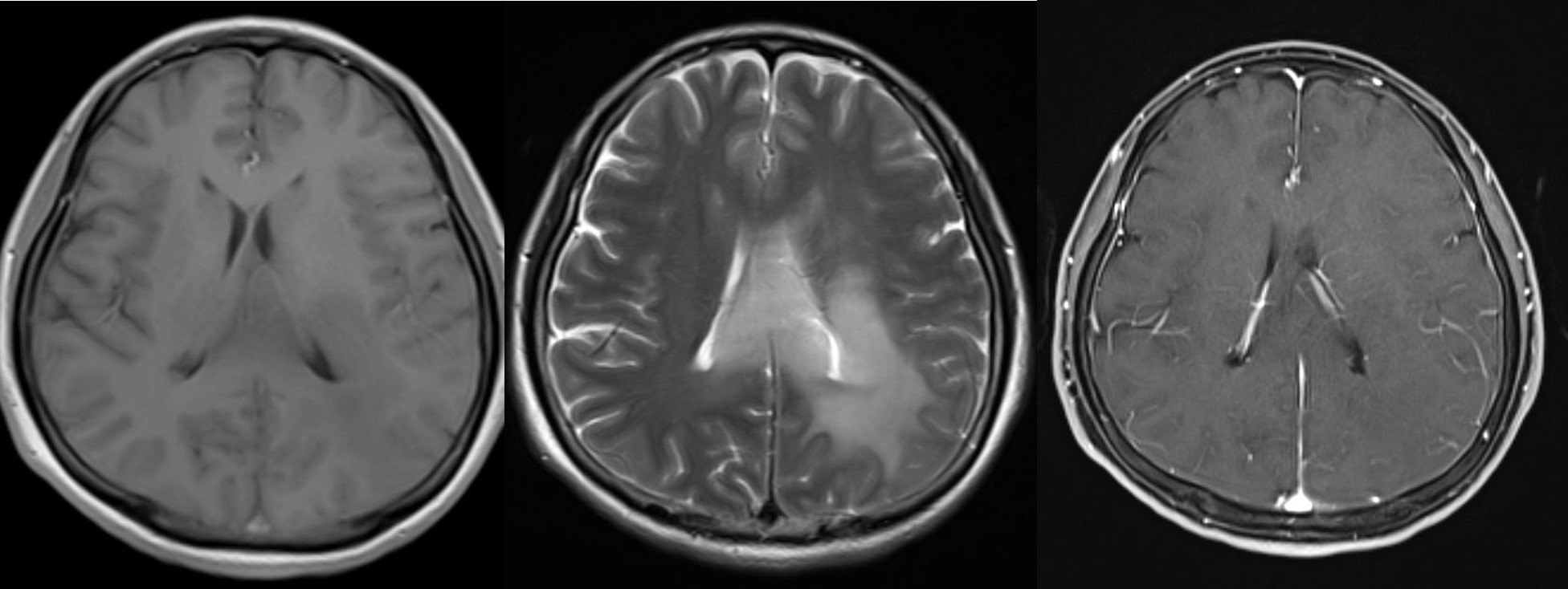
2. 大脑半球胶质瘤病

术后病理提示:弥漫性间变性星形细胞瘤,伴大脑胶质瘤病生长方式。(WHO III级)

大脑胶质瘤病(gliomatosis cerebri, GC)是一种罕见的,以神经胶质细胞弥漫性瘤样增生,而原有解剖结构保持完整为特征的原发性肿瘤样疾病。

GC病灶范围广泛、边界不清、站位效应不明显,无或者轻度强化。在影响和临床上及容易与各种脑白质病、病毒性脑炎、脑梗死相混淆。脑立体定向活检病理诊断是“金标准”,对于病变的后期治疗具有决定性作用。


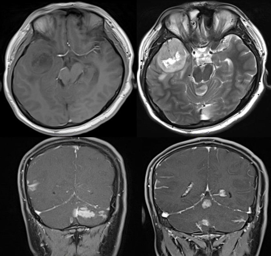
3. 不同级别肿瘤同时存在

头颅MRI示:左侧颞叶深部天幕上缘病变,T1低信号,T2混杂信号,不均匀强化;左侧丘脑病变,T1等信号,T2高信号,未见明显强化。

术后病理提示:左侧天幕缘:胶质母细胞瘤(WHO IV级,IDH野生型);左侧丘脑:弥漫性胶质瘤(WHO II级)。

病理性质相同,级别存在差异的比较少见,Salvatid等报道的25例多发胶质瘤患者中,病理级别相同的76%,病理级别不同的占24%。


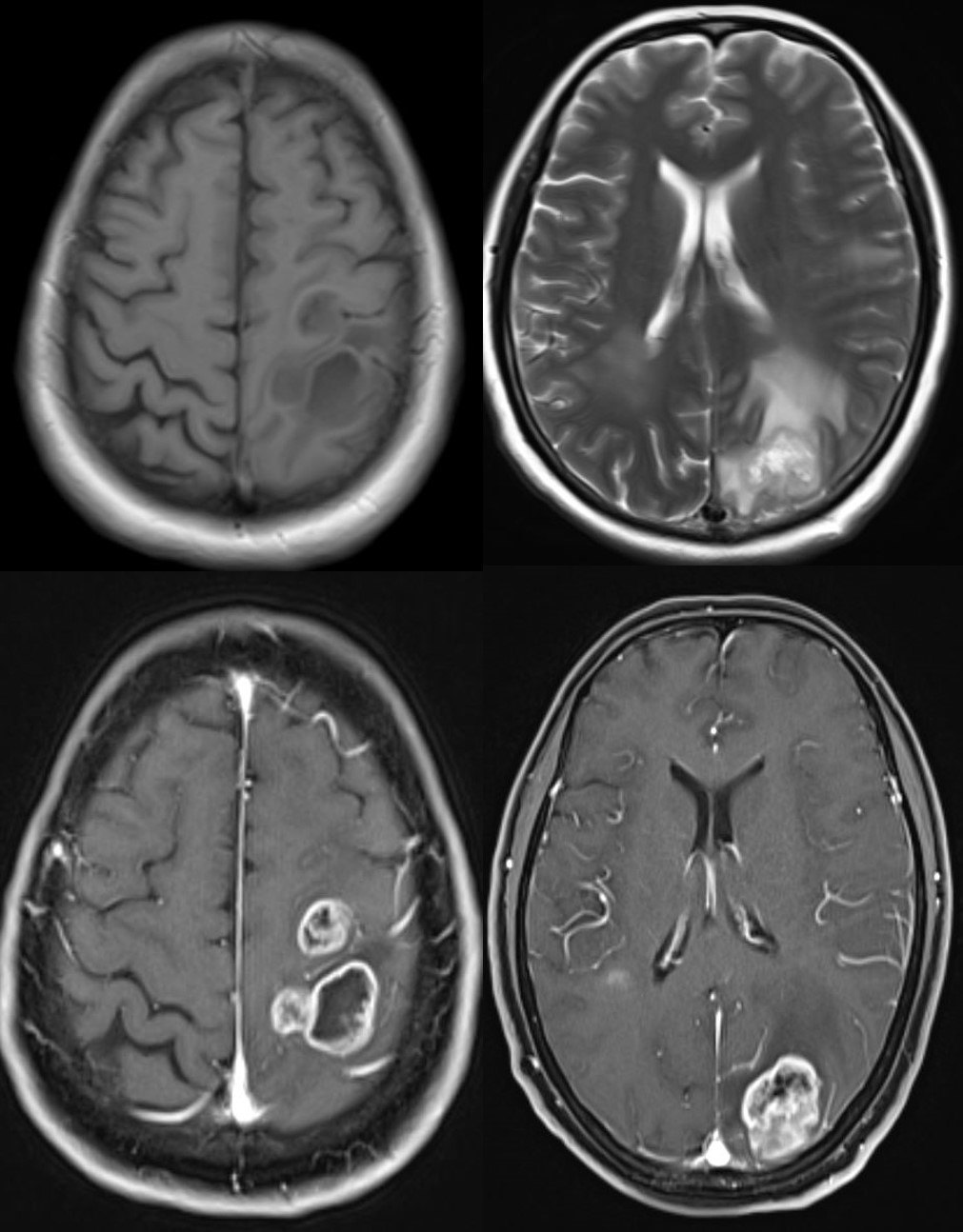
4. 胶质增生进展为胶质瘤,且不同级别肿瘤同时存在

该患者为中年男性,因头痛头晕2个月就诊,头颅MRI示:左侧丘脑、左侧枕叶近胼胝体压部、四脑室周边异常信号改变,TI呈低信号,T2呈高信号,无明显强化。

患者局麻性行神经导航下脑立体定向活检术,穿刺八点为左侧枕叶深部病变,术后病理提示:胶质增生。

患者随访数月后,复查发现病变有增大趋势,故行第二次活检术。

此次穿刺靶点为左侧丘脑和左侧诊断两个部位。

术后病理提示:左侧枕叶:弥漫性星形细胞瘤(WHO III级;IDH野生型);左侧丘脑:胶质母细胞瘤(WHO IV级;IDH野生型)。

从该病例我们吸取的经验为:该病例第一次活检为胶质细胞增生,随访数月后进展为弥漫性胶质瘤,且另外一个病灶为胶质母细胞瘤。因此对于颅内多发病灶,尽可能对多个病灶、每个病灶多个靶点进行取材,才有机会提高阳性率。


5. 术前误诊为淋巴瘤、转移瘤的颅内多发胚胎性肿瘤。

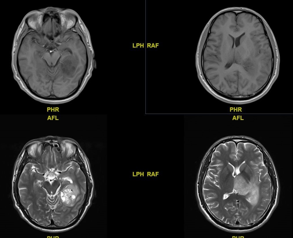
该患者男,19岁,因头痛头晕1个月前来就诊。头颅MRI示:幕上、幕下多发病变。术前诊断:转移瘤?淋巴瘤?行右侧颞叶脑立体定向活检术,病理提示:中枢胚胎性肿瘤。


中枢神经系统胚胎性肿瘤指有未分化或低分化的神经外胚层细胞形成的高度恶性的肿瘤,具有多向分化的潜能。该病比较少见,占中枢神经系统肿瘤的0.1%,好发于儿童和青少年。该病预后不良,明确诊断仍然依靠手术或活检。


胶质瘤起病隐匿,影像学表现复杂,及易与其他疾病混淆而延误治疗,当前明确诊断仍然依靠手术或者脑立体定向活检获取病变组织,做到早发现、早诊断、早治疗,才有希望改善患者的生活质量、延长生存期。

0