您好! 请 登录 | 注册

全切巨大颅底肿瘤

2023年03月15日 38人阅读 返回文章列表

患者杨女士,65岁,退休,近4个月来经常乏力,易困多眠,未重视;近一周出现头痛,伴有恶心,症状逐渐加重,近两天出现意识模糊、不能对答。在当地医院就诊,做头颅CT发现巨大脑肿瘤,经当地医生推荐,患者来到江宁医院神经外科郑学胜主任门诊就诊。

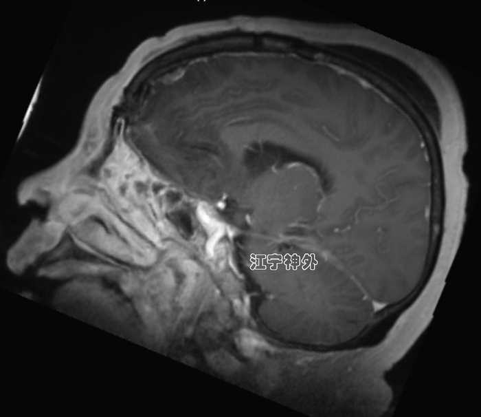
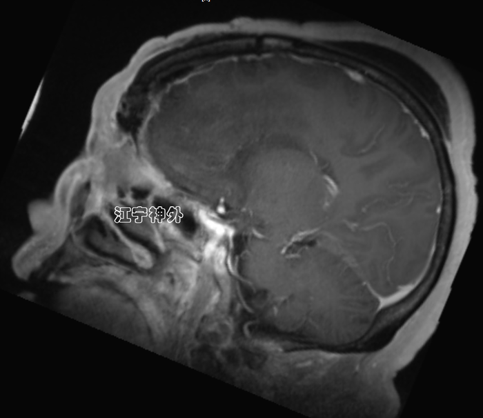
郑学胜团队予以术前磁共振检查发现,前颅窝底巨大脑肿瘤,伴有大片脑水肿,双侧侧脑室和第三脑室明显受压变小,下丘脑、左侧基底节等神经结构亦受明显推挤。肿瘤血供丰富,与双侧大脑前动脉关系复杂。



经过充分的术前准备,包括术前供血动脉栓塞、备血等,郑学胜团队于2月23日行前颅窝底巨大脑肿瘤切除术。手术经双额底入路,结扎上矢状窦,离断被肿瘤包裹的大脑鎌,将肿瘤从前颅窝底分离,并完整保留双侧嗅神经和视神经;然后分块切除肿瘤,最终完全切除肿瘤,并保护好双侧大脑前动脉。

术后第二天复查CT,显示术野无明显出血,脑组织肿胀明显。


术后一周复查磁共振,显示肿瘤完全切除,脑组织水肿仍比较明显,继续用药。术后两周拆线出院,切口愈合良好,无任何并发症。术后病理提示脑膜瘤。

江宁医院神经外科持续推进学科建设,确立了“技术全面、特色鲜明”的发展思路。在脑胶质瘤、脑膜瘤、垂体瘤、脑动脉瘤、动静脉畸形、脑血管病、颅脑创伤等神经外科常见疾病方面技术熟练、疗效满意;同时在骶管囊肿、面肌痉挛、三叉神经痛、糖尿病周围神经疾病方面有专科特色技术,尤其是骶管疾病的综合疗效位居全国前列。学科紧跟医院发展步伐,为创建更高水平的国际型研究型医院作出自己的贡献。


0