您好! 请 登录 | 注册

晚期分化型甲状腺癌综合治疗的病例讨论(二)

2022年05月20日 6552人阅读 返回文章列表

2022默克论坛| 晚期分化型甲状腺癌综合治疗的病例讨论

原创 时倩 许崇文 甲状腺书院 2022-05-18 15:10 发表于北京


第二阶段

1.
临床资料

患者病例介绍:

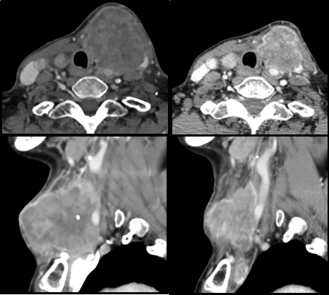
患者予以盐酸安罗替尼 12mg/天,连用两周休息一周,共治疗2个疗程,评估疗效为PR。

靶向前                        靶向后

2.
讨论

讨论问题3

还需要进一步检查什么?

下一步诊治方案?


廖泉教授:患者肿物明显回缩,对气管、动静脉侵犯都有一定的回缩,最担心的锁骨下静脉也分开一部分,目前可以考虑手术。


刘绍严教授:可以做气管镜食道镜,看看腔内侵犯的情况,那么手术范围应该是按照靶向治疗前还是之后来处理呢?


房居高教授:我们的原则是:如果不是切除特别重要的结构,一般按靶向前范围去切除。像气管,靶向后虽然回缩了,我们认为在气管环间还是会残留肿瘤的,在不严重影响气管喉功能的前提下,尽可能的按照靶向前的范围去切。而对于颈总动脉、锁骨下静脉等重要结构,进行肿瘤包膜外切除,大血管能保就保。也就是对于切除后严重影响功能的组织结构,按治疗后范围去切,其他一般结构按治疗前范围切除。


张少强教授:术前建议行PETCT看是否有其他部位的转移,如果有转移的话,可考虑把靶向药疗程再延长。


徐荣教授:建议术前做个增强CT加三维重建,这样颈总动脉、锁骨下静脉,椎动脉等与肿瘤的关系都看得比较清楚。气管甚至部分喉是都可以一并切除。



第三阶段
1.
临床资料

患者病例介绍:

复查甲状腺超声:甲状腺左叶实性结节伴钙化考虑恶性,可能侵犯气管左侧壁、左颈总动脉及颈内静脉,右叶多发结节,良性可能性大。


PETCT:甲状腺左叶体积明显增大,密度不均匀,SUVmax8.42,考虑恶性病变,甲状腺右叶下极低密度影,代谢增高,恶性不除外,其他器官脏器未见异常高代谢区。


术前准备:

(1)DSA检查:左颈部富血管性肿物,介入栓塞左侧甲状腺上动脉。

Matas实验:大脑前后交通动脉开放良好,左侧颈内动脉回流压77/65mmHg,BOT试验(-),造影过程血压波动在150-210/80-90mmHg,药物控制后平稳。


(2)其他检查:彩色多普勒超声血管检查,右侧大脑中动脉、左侧颈内动脉末端、右侧大脑前动脉不除外血管狭窄,基底-双侧静脉血流速度增高。

肾上腺超声:未见异常。

超声心动:升主动脉扩张,直径4.5cm,收缩压三尖瓣可见少量反流,射血分数63%


目前诊断:

甲状腺癌T4aNxM0?

髓样癌?

滤泡状癌?

乳头状癌?

甲状腺双侧部分切除术后

靶向治疗后(PR)

主动脉扩张

颅脑血管狭窄

2.
讨论

讨论问题4:

围手术期准备?

手术方案?


廖泉教授:这个病例比较复杂,术前还是需要多科讨论一下,包括患者合并症的充分评估,我们不但要安全的完成手术,同时也要保证术后患者没有心、脑等重要脏器的损伤,这个病人还可以进一步进行律师见证,充分的评估和交代病情。


刘绍严教授:怎样评估颈总动脉结扎后患者是否会出现严重的脑水肿、偏瘫,如何避免这些严重的并发症?


房居高教授:术前我们完善了DSA检查,并做了颈内动脉阻断实验是阴性的,一般颈内动脉回流压>70mmHg,结扎颈总动脉不出现脑梗塞,是比较安全的,颈内动脉回流压在50-70mmHg之间是相对安全的,而回流压<50mmHg是脑梗塞风险很大的。一般术中要把颈总动脉上下端先游离出来,准备好动脉转流管,术中一旦出血,靠近瘤体阻断钳阻断颈总动脉,在肿瘤上下端用动脉转流管进行颈动脉转流,保证大脑血供。


刘绍严教授:颈总动脉重建,是选择自身的大隐静脉还是人工血管?怎么选择?


房居高教授:原则上一级切口手术,我们倾向用人工血管,但人工血管缝合后可能会有一些漏血,局部血性积液有可能会引起感染,所以如果是需要气管切开等的II级切口手术,我们更倾向用大隐静脉,血管缝合后吻合口更严密,不渗血,抗感染能力也比较强。

张少强教授:手术尽量保证大的结构大个功能不受损伤,如果并发症太多,手术就没有意义了,颈内静脉建议切除,动脉、神经、气管视情况尽量保留。


林岩松教授:患者术前进行了PETCT检查,因为滤泡癌还是比较容易全身转移的,而这个病人局部病变高代谢并且巨大,却全身没有转移,除了怀疑滤泡癌外,乳头状癌滤泡亚型的可能也是需要考虑的。




0