您好! 请 登录 | 注册

【真人案例】牙齿缝隙大真的会影响自信,花一周终于解决我的心病了

2019年05月18日 8747人阅读 返回文章列表

很多明星或者身边的朋友经常会见到牙齿稀疏,门牙缝隙大的情况,造成牙缝大的问题主要有生理性和病理性的原因。

生理性的牙缝大,相邻牙距离远,比如某些牙齿先天过小,这样某些部位牙缝偏大是正常的。

而病理性的牙缝大,一般是由牙周病造成的,长期的炎症刺激,很容易导致牙龈出血,每次发炎出血,原来填充在相邻牙之间的牙龈就开始往下退缩,次数越来越多,牙缝就越来越大了。

不管哪种原因导致的牙缝大,牙齿稀疏的问题,在与人交谈或者微笑时往往都会不自信,并且会成为某种特点被别人津津乐道。

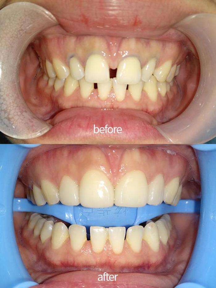
这是我接诊的一位姑娘,28岁,长得很漂亮,因为一直以来牙缝比较大,所以一般拍照都不会开口笑,在工作生活中也会觉得影响自信,一直以来牙齿也是一块心病,毕竟一口整整齐齐的大白牙就是让人心情很好。

检查结果:门牙缝隙大,门牙缝隙有2MM口腔卫生差,牙龈红肿,探易出血,牙石(++)、对合牙略伸长

这位姑娘就是由病理性原因所导致的牙缝隙逐渐变大。本身存在牙周问题,且口腔卫生未做到位,更会加速导致牙周萎缩,牙齿缝隙越来越大。

她的牙齿条件整齐度都还OK,门牙比较前突,下牙也有缝隙,如果想改善牙周进一步调整咬合和关闭缝隙,提的第一个建议做矫正修复,但顾客想要快速修复,所以又考虑了做贴面修复,这样也可以减少就诊时间,快速解决牙缝问题,同时还可以改变牙色及美观度,磨牙量也会相对于比烤瓷牙少一些,对牙本质是不会有副作用。由于其牙周条件不好,在粘接贴面前先做了口腔洁治,恢复一下牙周状况,本次只解决了她最困扰的门牙缝隙问题。采用了美加的DSD微笑设计,既要关闭缝隙同时又要自然美观,讲究微笑的弧度。

最终方案:4颗E-MAX贴面修复

牙色:根据顾客的需求以及我的建议,这位姑娘最终选择的1M1(比色板中第2白)

整体修复时间:8号-14号,6天时间,第一次取膜备牙,第二次就是直接粘上定制的贴面

#关于颜色建议#

一般不是特殊情况不会建议做好莱坞白,因为本质来说亚洲人的肤色及牙色都比较偏黄,好莱坞白颜色太过亮眼会稍显不自然。当然有部分顾客会强制要求我们也会定制好莱坞白的贴面,这里要说明,材质越好的好莱坞白其实越通透自然,材质稍差通透性稍低,其最终效果也会稍显不然。所以这也和最终选择的材质有关系。这位姑娘选择的牙色也是比较自然的,最终她也非常满意设计的效果,人也敢自信微笑了。

0