您好! 请 登录 | 注册

怀疑肺癌就一定能做穿刺活检?

2021年05月09日 8320人阅读 返回文章列表

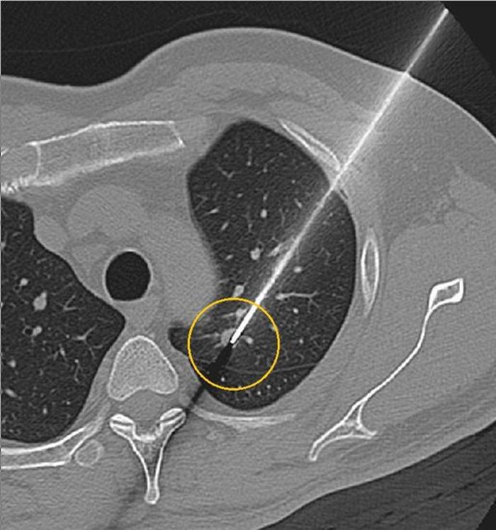
随着大家了解的医学知识越多,越来越多的朋友认识到:疑似肺癌若想确诊,最重要的手段就是穿刺活检,只有病理学才是诊断的金标准。那是不是所有的肺结节都能做穿刺活检,做了活检又是否一定能检出肺癌?
 
所有的医学操作都是有适应症和禁忌症的。关键在于是否有穿刺禁忌,不然都能做穿刺活检。目前我们认为的绝对禁忌症就是不可纠正的凝血功能障碍,比如一些血液病的病人。至于存在严重肺动脉高压、感染性病变、肺气肿等等疾病的患者,则需要综合考虑,也取决于医生的穿刺技术。
 
但有一点需要跟大家说明的,目前从研究报道来看,胸部穿刺活检对恶性疾病诊断准确性为64%~97%,对良性疾病诊断局限性大,准确性约10%~ 50%。病灶大小和位置、操作者经验、引导方式选择、细胞学评估均影响诊断准确性。
 
如果您有任何问题及想法,欢迎评论区留言,我们会定期选取优质问题进行科普,希望对您有所帮助。欲持续获取科普信息,欢迎关注与转发,科普不易,感谢支持!

0