您好! 请 登录 | 注册

症状性颈动脉“蹼”到底要不要治疗?

2023年03月22日 13人阅读 返回文章列表

症状性颈动脉“蹼”到底要不要治疗?
蹼多见于非洲裔的美国人,随着脑血管造影的增多,蹼在中国人群中的检出率也开始逐步展露头角。绝大多数无症状的颈动脉蹼可以给予抗血小板或者抗凝治疗或者长期随访。但是,对于一些症状性的颈动脉蹼是否需要进行外科干预呢?患者是否从干预中获益呢?下面我们结合一个具体的病例进行分析。
49岁江苏中年帅哥,近期出现记忆力减退、计算力变差和走路肢体无力17天。既往有糖尿病病史17年,控制差。
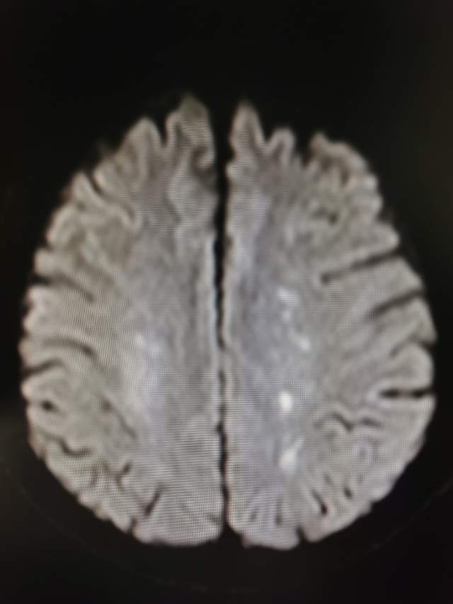
头颅MRI提示:左侧分水岭区点状脑梗塞,右侧半卵圆区脑梗塞。左侧散在的多发点状脑梗塞位于分水岭区,梗塞原因:1、低灌注;2、蹼导致的泥沙样栓子脱落。更严格来说,蹼导致的血流紊乱引发单位时间内通过同一个横截面的有效循环血流量的降低所致,泥沙样栓子可能参与其中。
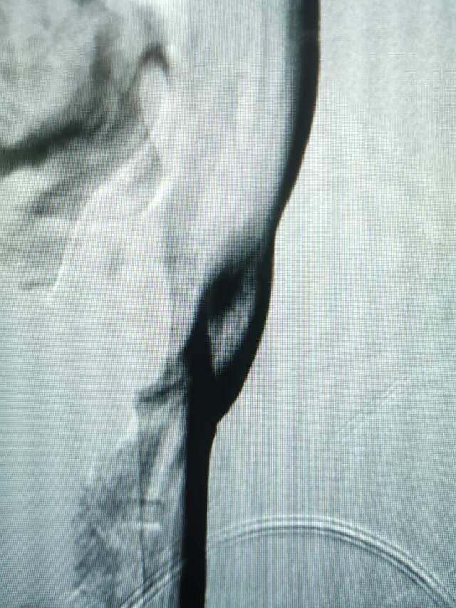
因此,这个左侧脑梗塞与左侧颈动脉蹼(左侧颈内动脉的起始部感觉被人砍了一刀)相关,属于症状性蹼,长期口服抗血小板药物无效,进行外科干预是审慎的和妥当的。

术后,紊乱的血流变得圆滑自然,血流快速丝滑通过左侧颈内动脉起始部,单位时间通过单位横截面的有效血流量增加,有利于改善低灌注,也有效防止了泥沙样栓子脱落。

术后次日查房:患者自诉头晕改善。此外,患者最大的感受就是计算力明显改善,感觉数学题好简单了。原来100-7等于是多少不会算,术后问:100-7等于多少,患者脱口而出,正确说出93,别的算数也是溜溜的了。患者头晕和计算力的明显改善,进一步证明了我们的外科干预是及时的和妥当的。
等待急性期过了,再开通右侧闭塞的颈内动脉,不断改善生活质量。

0