您好! 请 登录 | 注册

相隔三天,囊状动脉瘤的形态会出现变化吗?

2022年10月15日 881人阅读 返回文章列表

相隔三天,囊状动脉瘤的形态会出现变化吗?
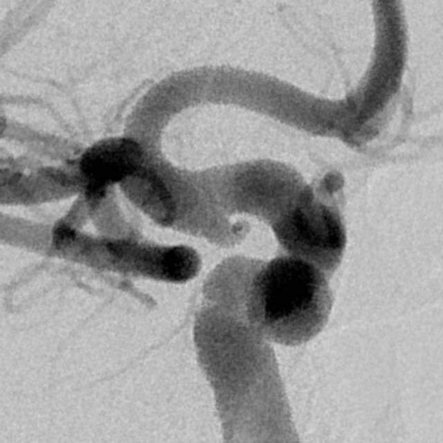
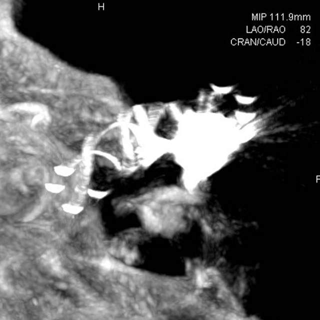
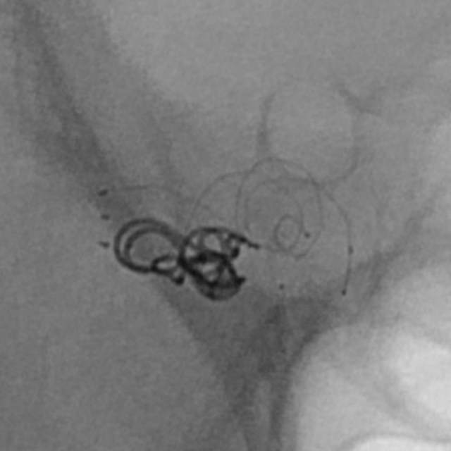
病情变化:中年男性患者,由于头晕查体发现后交通动脉瘤,第一次造影可见形态尚规则,患者及家属经过反反复复的思想斗争,决定采用外科干预。3天后,术中发现动脉瘤的形态已经出现改变,瘤囊的远端出现子瘤。
患者选择:一般而言,这种进展性形态变化伴有子瘤的病变容易出现破裂出血,患者的本次决定真是不失时机的明智之选。
术中评估:动脉瘤位于后交通段的位置,靠近颈内动脉分叉部,颈内动脉交通段的长度相对短小,而且呈现喇叭口的形态,支架不容易锚定,容易出现跳跃“”嗑瓜子”现象。如果支架超过分叉部,覆盖大脑前动脉的起始部,可能会造成后续的大脑前动脉的血管变细。
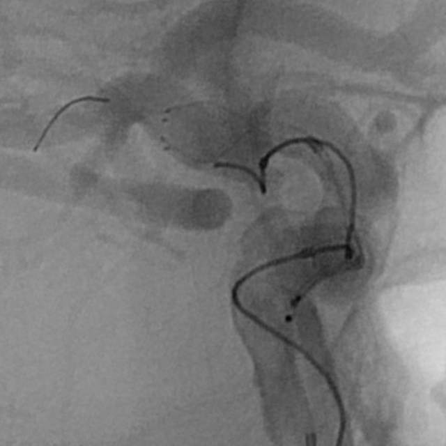
手术难点:支架远端超过分叉部,操作简单;支架远端若紧邻分叉部近段,操做要求高。
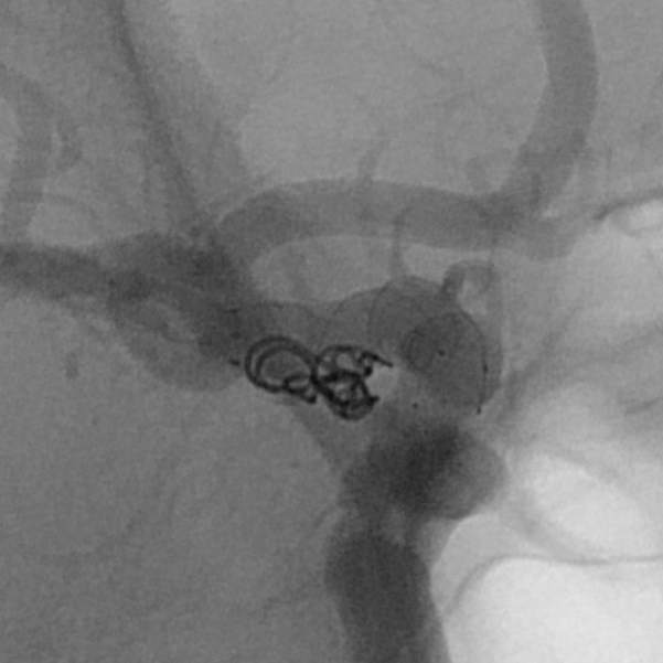
手术过程:术中采用“一个支架+一个弹簧圈”的简约模式顺利结束手术,消除了动脉瘤破裂出血的风险。
手术结果:本次手术具有“创伤小、花费少、时间短、出院快”的特点,而且支架紧邻分叉部近段,没有覆盖大脑前动脉、支架打开贴壁良好、所有分支保持通畅~~~
病例启示:颅内动脉瘤的形态存在不断改变的可能,这是趋向破裂的一种危险现象。
干预目标:不断追求“创伤小、花费少、时间短、出院快”的简约模式。

0