您好! 请 登录 | 注册

明辨肺结节(一零三)巨大肿块合并结节!

2023年01月02日 50人阅读 返回文章列表

     各位朋友,大家好!李医生为您带来看图识肺结节系列科普文章,帮助大家一起提高肺结节的良恶性鉴别诊断水平,尤其是肺磨玻璃结节的风险预测,以及疑难肺结节的鉴别诊断,欢迎大家关注、点赞、讨论、拍砖!

明辨肺结节(一零三)巨大肿块合并结节!

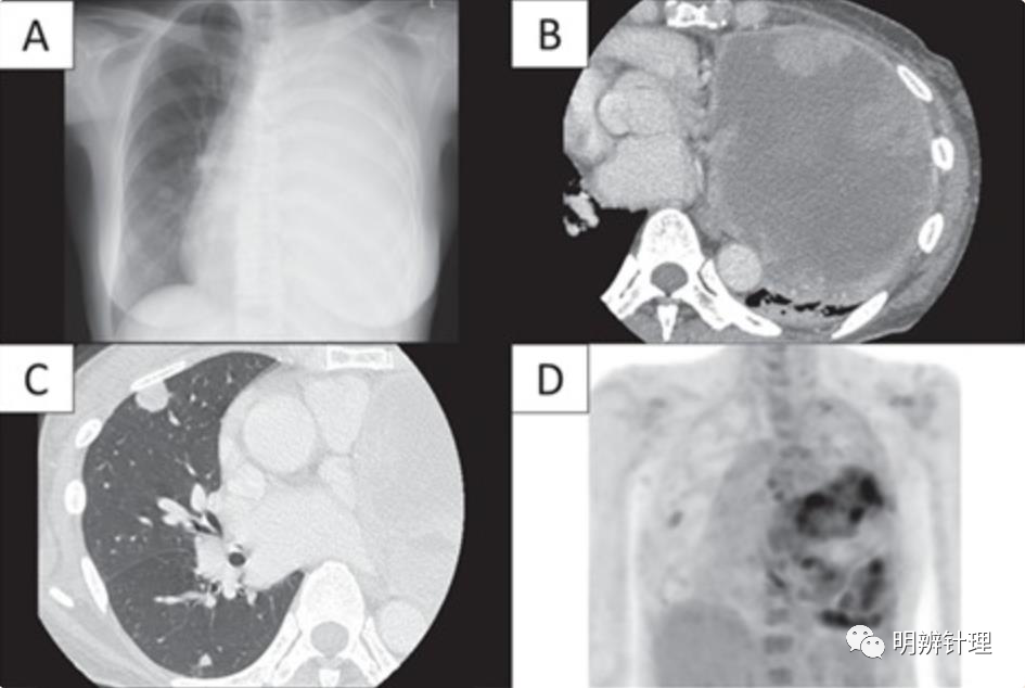
女性,64 岁。咳嗽和呼吸困难就诊 

 (A)胸片和 ( B ) 胸部 CT 显示左肺有一个 15 × 14 × 10 cm 的巨大肿块,肿瘤中心有广泛的低密度区域,怀疑出血和坏死; 胸片显示左肺完全肺不张。


 (C)右肺发现多个直径在 0.5 到 1.3 厘米之间的小结节。一个结节位于上叶,其他结节位于下叶。


 (D)PET-CT 证实大肿块内有微弱的FDG沉积,包括右上肺结节内,SUV最大值分别为 6.5 和 2.3。

  

诊断结果:肺硬化性肺细胞瘤

在肺结节的临床诊疗过程中,肺结节的影像诊断是最关键的核心!上海市第十人民医院中西医肺结节中心,采用最先进的CT机器和扫描技术,AI辅助读片,MDT讨论,牵头制定肺结节专家共识1部,多中心RCT研究2个,已为数千例疑难肺结节患者提供精准的影像诊断,病理符合率超过98%

 

肺结节消融,肺磨玻璃结节消融,精准精确才会有完美的结果!不手术治疗肺结节,肺结节消融,小李飞针一直在努力!要感谢患友的信任,感谢团队的支持,感谢科室和医院的平台,我们可以尽心尽力,为患友解除病痛烦扰!小李飞针,向着下个目标…… 

 

李明,博士,副主任医师。上海市第十人民医院中西医肺结节中心,专家门诊,门诊5楼,周一下午,周四下午,周五上午。电话,021-66301250 

 

附:小李飞针的由来, 

      

李医生是一名呼吸科医生,擅长精准定位,肺结节消融,尤其是肺磨玻璃结节消融。从刚毕业的时候李医生就一直被叫小李,小李,小李,当然也有人叫我老李,一直叫到了今天。 

 

 虽然小李是一名呼吸内科医生,但是我们一直在不断的思考,不断的探索,怎么样用最微创、损伤最小的办法,解决肺结节患友的难题。 

 

庆幸的是现在医学技术不断发展,我们掌握了肺结节消融的技术,经过不断的手术磨练,肺结节消融技术越来越成熟,肺结节消融针也越来越准!因此常被打趣,小李,你这针越来越准,跟小李飞刀似的,指哪打哪


0