您好! 请 登录 | 注册

关节炎“保膝”新选择—HTO术

2020年08月21日 8272人阅读 返回文章列表

专家简介:文根,上海市第六人民医院东院骨科副主任,副主任医师,医学博士,硕士研究生导师。主要从事创伤骨科、修复重建外科的临床和基础研究。擅长四肢复杂骨关节创伤修复;关节疾病的保关节治疗;复杂四肢组织缺损的保肢与功能重建;骨缺损,骨不连,慢性骨髓炎的修复与重建;四肢先天及后天畸形矫正等。

病例介绍

家住浦东的张阿姨,今年54岁。因右膝关节疼痛一年半,加重半年入院。曾就诊于某二甲医院诊治,症状未见好转,自己提裤子都费力。后经熟人介绍就诊于上海市第六人民医院东院骨科找到文根主任。

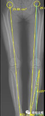
经检查,张阿姨右膝关节轻度内翻畸形,内侧触痛明显,活动时疼痛症状加重,右膝旋转挤压实验阴性,前后抽屉实验及侧方应力实验阴性,右膝屈曲110度,伸直0度,右下肢感觉正常,血运正常。随后诊断为右膝骨性关节炎。

文根主任查看病人后,结合病人症状,查体及辅助检查。内侧间隙明显变窄,力线偏离,考虑行关节置换较早,后期需要翻修治疗,且费用较高,文根主任决定为患者行胫骨高位截骨矫形手术治疗。

术后第二天患者下地活动,诉膝关节疼痛症状较前明显改善。术后第五天患者自诉“疼痛明显减轻,膝关节活动度一天比一天好,现在可自己下蹲”表示对手术效果非常满意!

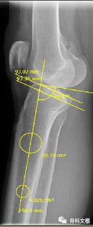
拍片结果

文根主任指出,在临床上我们经常会碰到这样的病例:很多中老年患者因为膝关节痛来医院就诊,经过一系列检查后被最终被确诊为轻中度膝关节炎;病情虽然不重但是患者经过减肥、改变运动习惯、口服药物等一系列保守治疗后,疗效欠佳,患者日常生活中还是经常受到膝关节痛的困扰。这时候治疗就面临一个问题:保守治疗效果不好,可是另一方面进行膝关节置换又显得“大材小用”,并且临床上也有很多中老年人年纪不大,之后也面临着再次替换人工关节的问题;同时部分中老年人有思想包袱,不愿意把自己的关节换成人工关节,使得这部分病人的骨关节炎的治疗面临重重困难。此时,可能就需要运用到“HTO”手术。

拓展阅读

1、什么是HTO术?

HTO手术全称为胫骨高位截骨术,是一种保膝手术,是目前公认的治疗膝关节内侧间室骨性关节炎并内翻畸形的安全有效方法。其手术原理如下:通过在胫骨内侧适当的切锯与撑开骨缺口、人工骨填充与骨板骨钉固定,藉以矫正膝关节内翻的生物力学轴线。由于可以减低内侧股骨髁与胫骨平台关节面的压力,藉以提供膝关节内侧磨损软骨修复再生的环境,减轻内侧间室的疼痛。对于主要膝关节疼痛为内侧关节面软骨所引起者,是很好的治疗手段。

膝关节主要承重的部位在膝关节内侧,因此对于很多轻中度骨关节炎的患者来说,主要的病变磨损部位都是在膝关节内侧间室;此外,对于O型腿的患者来说,这个现象更加明显。而HTO手术就是通过截骨的方法,把下肢力线改变,可以理解为变成“X型腿”,让膝关节负重的部位从内侧转移到外侧,阻止软骨进一步磨损、增加关节稳定性、缓解疼痛、改善膝关节功能,从而避免或尽可能推迟换膝关节的时间。现在也有研究表明,HTO手术后,内侧病变的软骨可能会再生,从而可能达到逆转骨关节炎的目的。

2、HTO手术疗效如何?

因膝骨关节炎行HTO的患者,术后功能恢复良好,膝关节评分较术前明显提高,患者对术后疗效满意,甚至有部分运动员患者在HTO术后能够重返赛场。同时相比于膝关节置换术,HTO手术完全不需要切除半月板、交叉韧带,以及一定厚度骨质,最后以金属假体替代,因此创伤小,恢复快,效果好,术后可以进行跑跳等剧烈动作,因此目前HTO手术受到越来越多骨科医生和患者的喜爱。

3、HTO手术适应症有哪些?

HTO手术的适应症主要包括:存在下肢内翻畸形(影像学检查排除膝关节半脱位);膝关节屈膝活动度>100°;患者内侧间室狭窄且有临床症状;膝关节外侧间室基本正常;膝关节内侧有良好的软组织覆盖;患者能够主动活动,且年龄<70岁。



1