您好! 请 登录 | 注册

大肠癌的转移途径有哪些?

2021年05月25日 8049人阅读 返回文章列表

临床上常听到一句话Q:“确诊是肠癌了吗?是否有转移?”

转移对肠癌患者来说,无疑是雪上加霜。大肠癌是起源于大肠粘膜上皮的一种恶性肿瘤,是人体最常见的恶性肿瘤之一。在我国所有恶性肿瘤中发病率高居第三位。对于大肠癌来说,癌细胞可以从肠腔内生长到肠腔外,还可以侵犯周围的组织器官,甚至会发生远处转移,一旦转移,将会加大治疗难度,严重影响患者的生命健康。今天我们科普下——大肠癌的转移主要途径有哪些?


大肠癌发生发展的过程



大肠癌扩散和转移的主要途径  



1.直接浸润

大肠癌可以沿着肠管壁的纵轴扩散,还可以沿着肠管周径扩散,以及向肠管壁的深层浸润。大肠癌向肠管壁的深层浸润,可以直接突破浆膜层而侵入邻近器官如胆、肝、膀胱、子宫、阴道等。


2.种植播散

常见的种植方式有以下3种情况:

  • 医源种植:通常在手术过程中,种植于腹壁切口和吻合口。手术时,应采取必要防范措施,避免种植。

  • 肠腔种植:大肠癌灶附近的肠腔内常有脱落的癌细胞附着,在粘膜完整时,癌细胞不会种植生长,但若肠粘膜有伤口,则可在伤口处种植,这也通常是大肠癌常有多发转移病灶的原因之一。

  • 腹腔种植:大肠癌细胞侵犯至浆膜外时,可以广泛种植于腹腔内,形成癌性腹膜炎。腹腔种植转移的好发部位有肠系膜、大网膜、膀胱直肠陷凹、子宫直肠陷凹等。 


3.血行转移

血行转移一般是癌肿侵犯至毛细血管小静脉内,癌细胞或癌栓子沿门静脉系统先达肝脏,后到肺、骨、脑等其它组织脏器。但也有由于体检时按压瘤块、手术时挤压瘤体所致,甚至梗阻时的强烈蠕动皆可促使癌细胞进入血管,发生血行转移。


4.淋巴转移

结直肠癌的转移会通过淋巴进行转移,包括肠本身的淋巴结、肠旁淋巴结,还有肠系膜的淋巴结以及系膜根部的淋巴结等,通过这些多组的淋巴结转移。低位直肠癌不仅可以转移到肠系膜血管旁淋巴结,还可以转移至腹股沟淋巴结。


大肠的淋巴结







大肠癌最容易转移到哪里?  





大肠癌最容易发生远处转移的脏器



大肠几乎所有的静脉血都通过肠系膜血管回流到肝脏


大肠癌最容易转移到的脏器依次是肝、肺、骨骼和脑。一般是大肠癌癌肿首先侵犯至毛细血管小静脉内,癌细胞或癌栓子沿门静脉系统先达肝脏,后到肺、骨、脑等远处脏器。因为大肠几乎所有的血液都要通过肠系膜血管回流到肝脏,所以大肠癌最容易转移到肝脏。人体所有的血液最后都要通过心脏泵入肺内,所以肺也容易发生转移。全身骨骼众多,发生血行转移的可能性高,而且大肠癌可以直接通过椎旁静脉丛转移至脊柱。

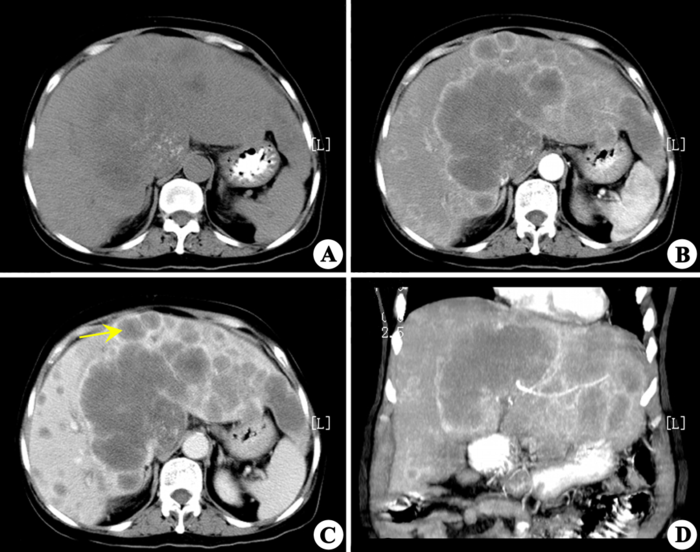
大肠癌伴肝转移

注 A:CT平扫;B:CT增强扫描的动脉期;

C:CT增强扫描的肝实质期;D:CT增强扫描的冠状位图像。


温馨提示:


结直肠癌虽然会出现转移,但仍可以通过手术进行切除,转移灶也可通过射频消融等方式治疗,还可以根据实际情况来选择放化疗进行辅助治疗,提高整体的治疗效果。当不幸患上结直肠癌后,患者朋友除了积极接受治疗,调整心态也非常重要,保持心情舒畅,更有利于提高治疗效果,延长生存期。

1