您好! 请 登录 | 注册

粗大分支从破裂瘤体上发出来,急性期能单纯致密栓塞吗?

2023年01月07日 90人阅读 返回文章列表

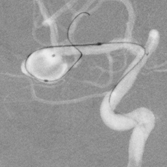
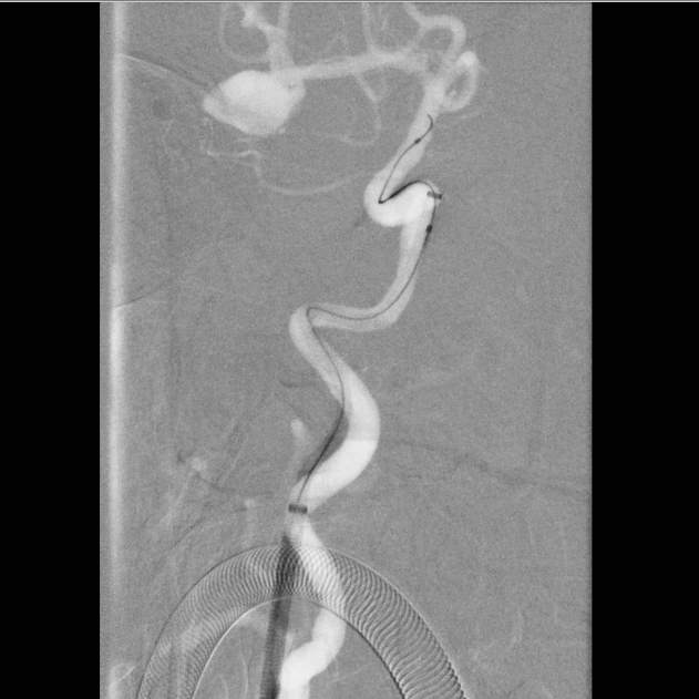
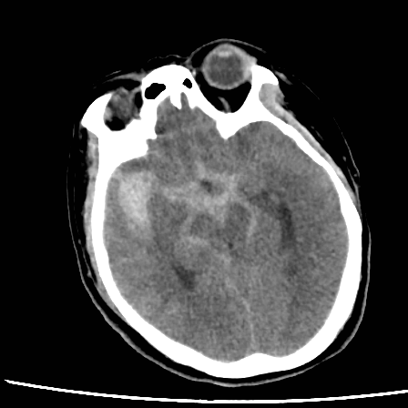
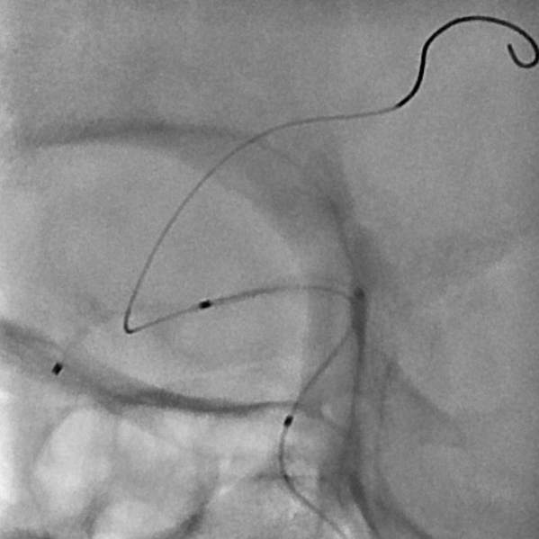
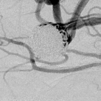
病史:中年女性,新冠感染,颅内动脉瘤破裂,Hunt-Hess 4级


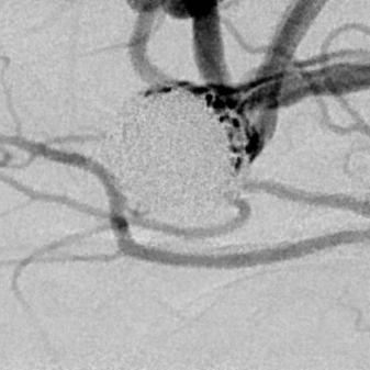
最终,动脉瘤瘤体致密栓塞,各个分支保留良好

1