您好! 请 登录 | 注册

老年人讲话不清可以治疗吗?

2022年08月31日 928人阅读 返回文章列表

老年人讲话不清可以治疗吗?
72岁老年男性,讲话含糊不清伴反应迟钝9月余。
老人家在口服抗血小板药物、他汀药物和控制高血压、糖尿病的过程中,近9个月来一直讲话含糊不清,并呈越来越重的趋势,反应能力也不是很好,由于以前发生过脑梗塞,家人也就认为可能是以前的脑梗塞留下的后遗症,只能慢慢康复了……
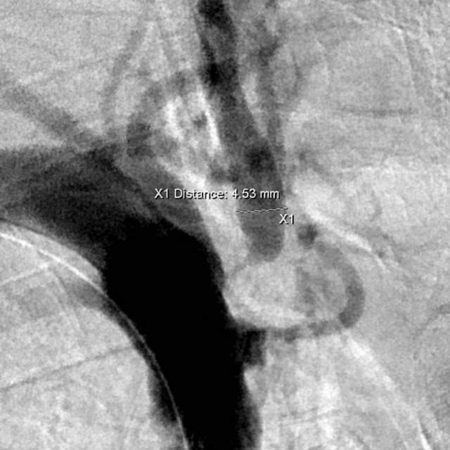
最近,儿子带老人家过来复查,检查发现右侧椎动脉起始部的狭窄越来越重,和9个月前相比,简直判若两人(管),左侧椎动脉又先天发育不好……,看来保守治疗吃药不太行,还得需要外科干预
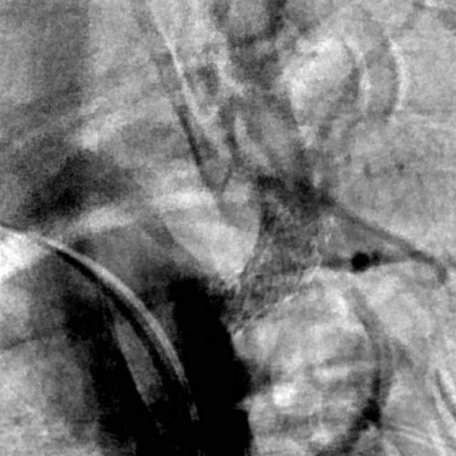
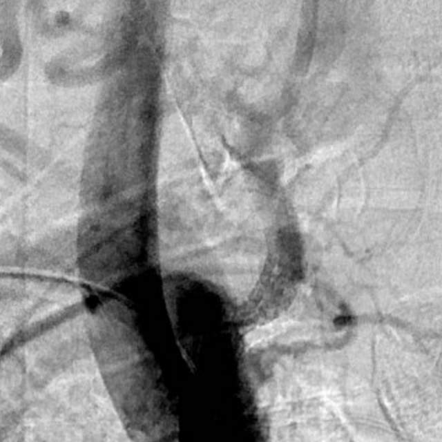
和家属商量后,我们采用全球首款椎动脉专用药物洗脱支架(Maurora)成功精准切线位植入,消除了这个“卡脖子”的狭窄……
术后随访结果:老人家说话口齿清晰了,思维反应也快了……
按照说明书的介绍,与裸支架相比,Maurora可以降低再狭窄率66/……

1