您好! 请 登录 | 注册

两厘米以上的磨玻璃结节长什么样子?图解大型混合磨玻璃结节

2020年12月04日 15576人阅读 返回文章列表

两厘米以上的磨玻璃结节长什么样子?图解大型混合磨玻璃结节  

江苏省肿瘤医院胸外科 陆欣欣  陆欣欣副主任医师  

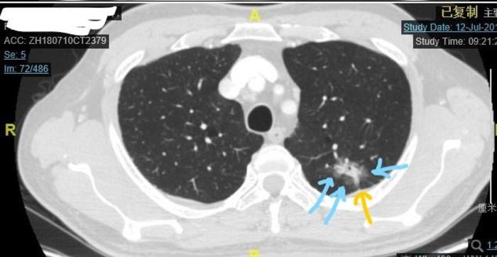
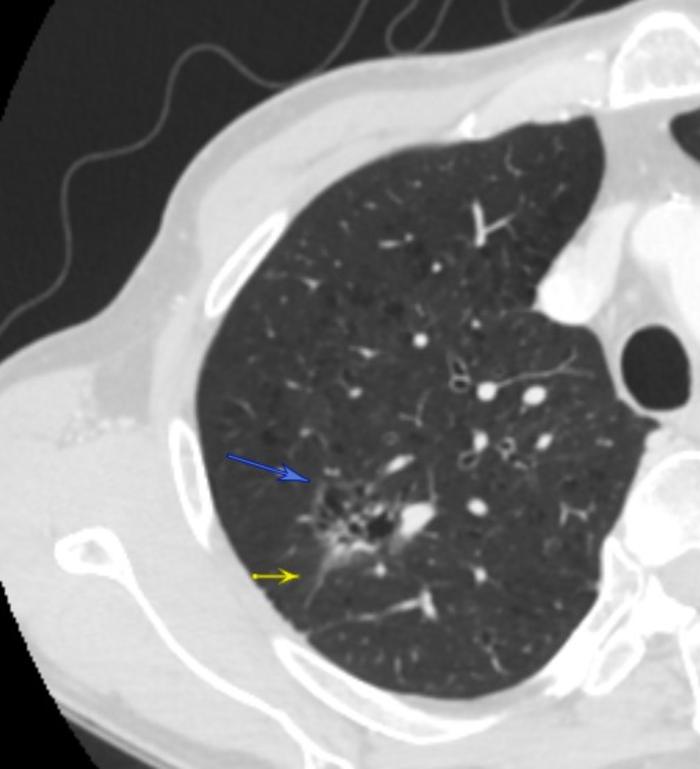
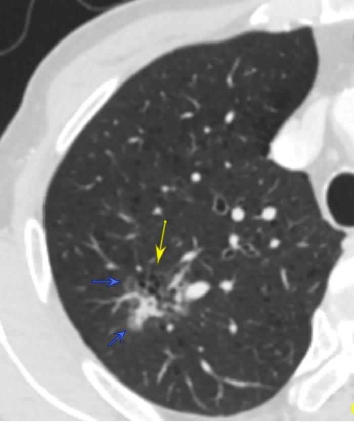
病例1:磨玻璃结节内部为蜂窝状结构  
 

内部蜂窝状结构

 
这两张CT是同一个患者的混合磨玻璃结节,28×23毫米。第一张照片的黄色箭头可见边缘长毛刺影。第二张照片的两个蓝色箭头指示的是磨玻璃结节的灰色边缘,就是结节的磨玻璃成分。发白的部分是结节的实性成分。两张图内部可见蜂窝状磨玻璃成分。  


病理是浸润性腺癌,两种亚型较好。  


病例2:蜂窝型  

混合磨玻璃结节。30×27毫米。内部蜂窝状结构。小蜂窝的四周磨玻璃成分比较清楚。  
病理也是浸润性腺癌。  乳头型占20%,说明恶性度比较高。

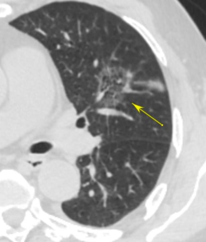
病例3:实性成分占绝大部分,边缘少许磨玻璃成分  

箭头指示的是基本上是实性结节的左下角少许磨玻璃成分。黄色箭头的上方,可见结节与胸膜之间有胸膜牵拉征。  
实性成分越多,恶性度越高。病理如下。  

注意此患者病理也是浸润性腺癌。乳头型比例较高,占20%,恶性度较高。  


病例4荷包蛋型  

结节中心的白色成分,就是这个混合磨玻璃结节的实性成分。可见实性成分比例大约15%左右。这个磨玻璃结节形状类似一个煎好的荷包蛋。结节的左侧有好几根小血管进入结节。  

病理也是浸润性腺癌。有20%的亚型是乳头型,恶性度较高。当然这个患者的实性成分比例低于25%,比实性成分比例高于25%的磨玻璃结节要好一些。  


病例5:包袱状磨玻璃结节  

这个磨玻璃结节类似一个包袱。大小约24×13毫米。结节以实性成分为主。蓝色箭头指示的是结节边缘灰的成分就是结节的磨玻璃成分。灰色部分里面亮的部分就是结节的实性成分。结节内部发暗的长条是扩张的支气管。  

这个磨玻璃结节也是浸润性腺癌。但是,在这几个病人中恶性程度最高,乳头型占50%。最容易发生转移。  
  
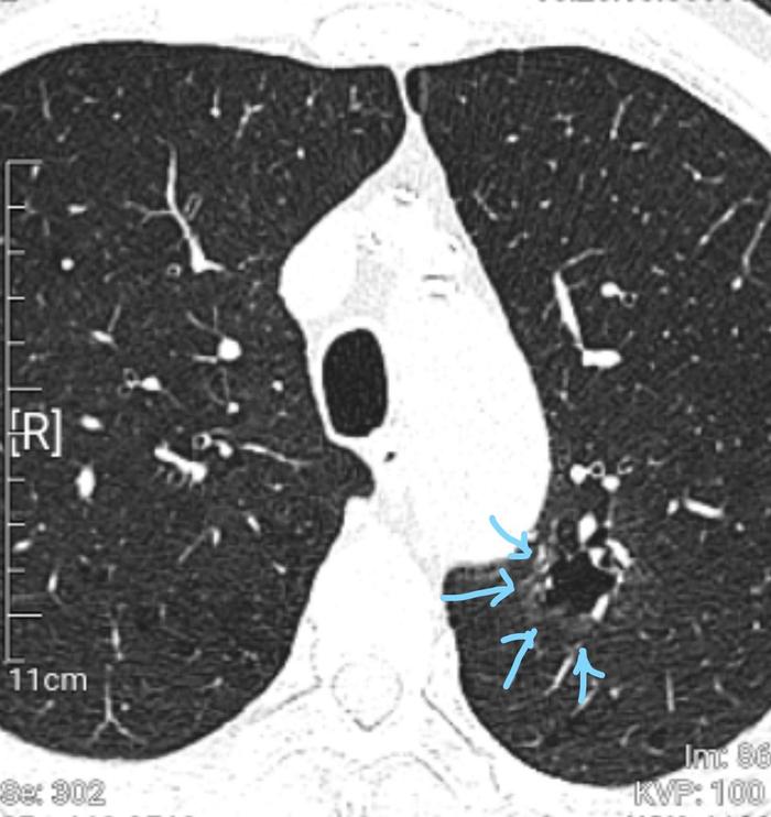
病例6,实性成分内侧部分磨玻璃成分  

绿色箭头指示的是混合磨玻璃结节的实性成分,这个结节以实性成分为主。结节的内侧三分之一由磨玻璃成分构成,用两个黄色箭头指示。这个结节最大径23毫米。病理如下图:  

这个实性成分为主的混合磨玻璃结节是浸润性腺癌,以腺泡型为主。所以结节恶性度比较低。Ki-76才2%,说明肿瘤生长很很慢。对Ki-76意义不懂的话,可以点击参考我的一篇健康号文章链接:肺癌肺结节病理报告上的KI-67是什么意思?。  
 
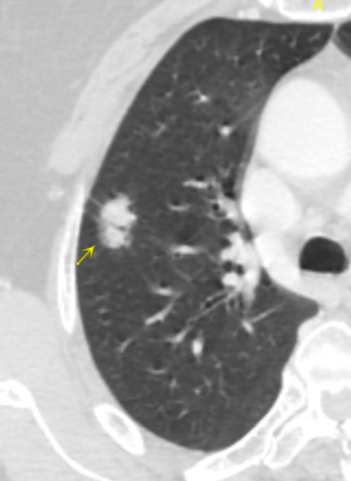
病例7,实性成分为主的磨玻璃结节的一侧边缘残留少许磨玻璃成分  

这个混合磨玻璃结节最大径24毫米,以实性成分为主,实性成分位于中心地带。结节的边缘有一些磨玻璃成分,左边两个蓝色箭头和最右边的蓝色箭头指示的是磨玻璃成分。右边数第二个箭头指示的是肿瘤与胸膜之间有线条相连,叫做胸膜牵拉征,这是一个恶性征象。  
病理如下:  

这也是一个浸润性腺癌,腺泡型为主。  

病例八、囊腔性腺癌。

这是一个左上肺的混合磨玻璃结节。特点是一个比较大的囊腔,周边或内部有磨玻璃成分,注意不要和肺大疱混淆。这个结节有30毫米大,4个箭头指示的是结节的内侧和后侧有大约3-5毫米厚的磨玻璃成分。一看就是一个典型的囊腔性腺癌。
这篇文章讲的都是20毫米以上的大型磨玻璃结节,一般都已经超过了微小浸润性腺癌阶段,到了浸润性腺癌阶段。 这篇文章讲的都是20毫米以上的大型磨玻璃结节,一般都已经超过了微小浸润性腺癌阶段,到了浸润性腺癌阶段。  
想看小一些的磨玻璃结节,可以看我的另外一篇健康号文章,以下蓝色文章标题为电子链接可以直接点击跳转网页:

磨玻璃结节长什么样子?10例病人的磨玻璃结节和病理的对照图解。  
 
本文是陆欣欣医生版权所有,未经授权请勿转载。  







0