您好! 请 登录 | 注册

今日话题:多学科诊疗模式(MDT)让患者得到更好的诊疗

2022年12月02日 683人阅读 返回文章列表

今日话题:多学科诊疗模式(MDT)让患者得到更好的诊疗
70岁老年男性,3个月前急性脑梗塞,尽管缺血性发作后及时在医院给予了“静脉溶栓”、药物和康复治疗,3个月后仍然存在言语含糊、头胀、记忆力减退和右侧上肢肌力减退,还伴有间断心悸等表现。初步的影像学检查发现左侧大脑中动脉M2段重度狭窄。家属一直彷徨在外科干预和药物保守治疗的选择中,干预吧,怕出现意外;
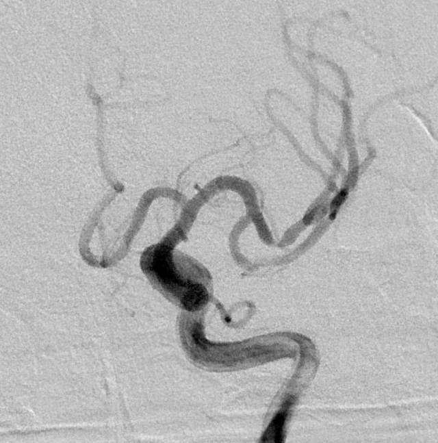
不干预吧,毕竟残存了一些功能障碍,还可能存在再次卒中的风险。通过多学科诊疗(MDT)和脑血管造影(金标准)后,进一步确认了狭窄的存在,左侧大脑中动脉上干血管存在重度狭窄,下干轻度狭窄。手术的难度在于狭窄的部位处于血管弯曲的部位,另外还要为下干预留日后可能干预的空间。
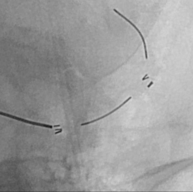
家属充分考虑后,选择采用外科手段解除狭窄,毕竟狭窄的存在仍可能诱发再一次的急性卒中发作,狭窄的解除也会对目前症状改善有所帮助。
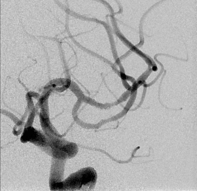
手术顺利完成,狭窄改善,血管直径基本恢复正常。
术后患者右上肢肌力基本恢复到正常、认知明显改善、言语不清改善到流利清晰。
每次巡视病房,老人家都很开心流利的和医生交流手术前后的变化,感叹医学的进步~~~
善待每一位患者,敬畏每一台手术。是我们不变的宗旨~~~

1