您好! 请 登录 | 注册

胸腔镜下微创手术治疗中大型左下叶肺癌一例

2022年04月03日 7840人阅读 返回文章列表

周围型的肺癌,直径大于6cm时一般不应胸腔镜手术,因为肿瘤和肺从小切口中取不出来。部分直径5-6cm的周围型肺癌可以胸腔镜手术,但是难度较大。

下面给大家看看一例最大径57毫米的左下叶肺癌的治疗经过。

患者两年前住院在我这儿手术。患者男性,67岁,慢性咳嗽时间长达15年,2020年乡医院给农村居民CT体检发现有一个大小约4.5厘米的肺肿物。我在门诊看了看CT,见CT片质量比较差,肿物不能判断像肺癌。病人以往的疾病:糖尿病2年,口服二甲双胍缓释片,早晚各一片;格列齐特缓释片早晚各一片,患者餐前血糖5-6mmol/L,从来不测量餐后两小时血糖,也不知道餐后血糖比餐前血糖重要的多。因心动过缓,心率39-40/分安装心脏起搏器安装2年5月。我问了问起搏器里面的电池电量够不够。家属说电池估计还能用8年。如果只有1-2个月电量最好先更换起搏器电池再来住院。有一些糖尿病人,平时不测量血糖,或者经济差一些舍不得血糖试纸,或者不测量餐后两小时血糖,血糖控制差。血糖高导致免疫力下降,肺上稍微有些感染后,比血糖正常的人容易形成球形肺炎或肺脓肿,这些炎性包块不是肺癌,不考虑手术。慢性支气管炎20年,7年未发作。病人多灾多难,还曾经被高空坠物砸伤颅骨,虽然没有手术,但是左侧颅骨局部一直凹陷。不吸烟。病人是当天挂我的前两个号,当天赶上做了CT,CT考虑肺癌,当天下午住院。

住院后发现患者血糖控制比较差,餐后两小时血糖14mmol/L左右,术前将降糖药物换为胰岛素皮下注射,每天用32个单位

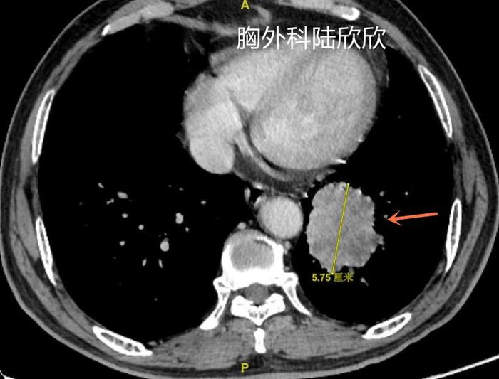
上图,可见肿瘤较大,最大径57毫米。不是周围型肺癌,也不是中心型肺癌,介于两者之间,可以称为“中间型肺癌”。

上图,心脏里面发亮的是心脏起搏器,3个蓝色箭头指示的是上下叶支气管夹角的淋巴结。淋巴结后面发白的圆形结构是左下肺的动脉这个淋巴结虽然病理证实没有转移,但是手术中切除困难。

上图,左下叶肺癌的下级可见液性暗区,为肿瘤旁的粘液湖,是肺里面的粘液被肿瘤阻挡,排不出来,形成的小块液性区域。肿瘤远端还有阻塞性肺炎,用靠后的三个箭头标示。

胸腔镜手术中因为有心脏起搏器,使用电刀,腔镜用的电凝钩受到限制。肿瘤大小约57×46×50mm,距离肿瘤15毫米左右有一大片实变的肺组织,如果把肿瘤和这块发炎的肺组织看作一个整体,那么肿瘤+炎症的的病变区域最大径大约85毫米左右,从胸腔镜的切口中拿不出来,最后只好延长切口2厘米,采取多种手段,很不容易把左下肺拿出体外。

术后病理是鳞癌,比腺癌的预后好。没有累及胸膜也是好事情。淋巴结没有转移。肿瘤II-III级说明肿瘤中低分化,恶性度较高。另外,肿瘤的Ki67值有80%,大大超过30%,说明肿瘤的恶性度很高。肿瘤TNM分期为T3N0M0。

术后有轻度的肺创面的漏气,治愈了。糖尿病患者术后有应激性高血糖药,每天调整药物剂量,出院时改为口服二甲双胍缓释片,每天早晚各一片;格列齐特缓释片每天3片。术后发作支气管哮喘4天,用了一些简单的喷雾剂和氨茶碱药物后治愈。病人顺利出院。

术后基因检测没有合适的靶向药,所以进行了6早期术后化疗,结合中药治疗,以巩固手术的疗效。目前术后已经1年半,病人生活很好,没有复发,没有转移。

你可以点击参考下面的文章链接:

胸腔镜手术的禁忌症

肺癌的第8版TNM分期的定义和具体分期

肺癌生长速度有多快?长得有多快?(较大实性肿物的倍增时间)

肺癌肺结节病理报告上的Ki67是什么意思?

0