您好! 请 登录 | 注册

得了冠心病怎么治疗?

2018年07月24日 4440人阅读 返回文章列表

  首先, 冠心病是冠状动脉粥样硬化性心脏病的俗称,对患者的工作和生活造成了很大的影响,往往让患者对此显得不知所措。 冠心病的发生与不健康的生活习惯有很大的关联,所以冠心病预防和治疗均和日常生活密切相关。冠心病的发生是一个长年累月的过程。因此平时要:注意控制血压,积极治疗糖尿病等身体疾病,防治高脂血症。合理饮食结构及热能摄入,避免长期精神紧张,过分激动,积极参加体育锻炼,对患有冠心病者,控制其发展和防治并发症,使其更好地康复。日常生活调理是必不可少的基本治疗。此外,通常情况下,药物治疗、介入性治疗、外科手术治疗等方法在改善缓解患者症状不适感,恢复组织功能,控制病情发展等方面发挥着积极重要的作用。

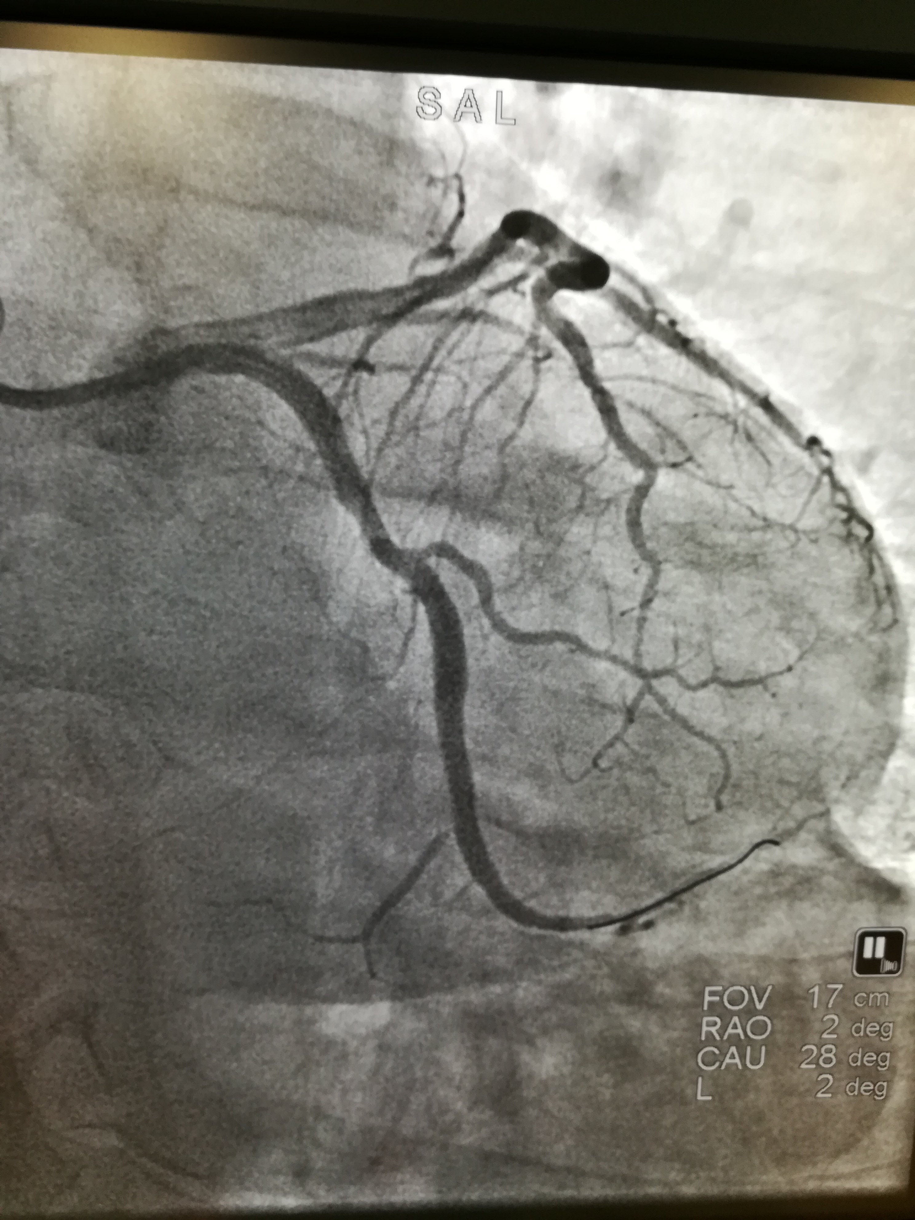
这是最近我抢救的一个急性血管闭塞的病人,也就是俗称的心肌梗死。

这是经过抢救以后,心脏植入支架以后的血管图形。病人到了有效治疗。

1