您好! 请 登录 | 注册

今日话题:论“犄角之势”策略夹击破裂的脑动脉瘤

2022年08月31日 881人阅读 返回文章列表

今日话题:论“犄角之势”策略夹击破裂的脑动脉瘤
动脉瘤的破裂,犹如在颅内爆发了一场战争……
我们知道,急性期单纯栓塞破裂动脉瘤的优势就是不用担心支架相关的缺血(可以保全粮道)问题,栓塞后致密程度要求相对低些(基本控制局面),术后还能使用止血药、降压药进行增援补救(进一步巩固战争优势),如果有机会能做到术中一网打尽致密栓塞动脉瘤(完全控制局面),术后主动权完全掌握在指挥者(术者)手中,一方面,可以控制战争(手术花费)的规模;另一方面,也可以掌控后续的发展态势,必要时适时进行更为安全的增兵(再治疗)。
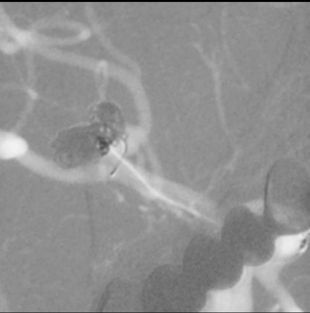
  我们在工作中,有时也会遇到比较棘手的问题。譬如下面这个破裂的分叶状的宽颈动脉瘤,两个不大不小不能忽视的子囊还拥有一个共同的大本营—绝对宽颈的瘤体,动脉瘤也通过“犄角之势”成为一个硬骨头,想要拿下它绝非易事。单独出兵(栓塞)容易孤兵深入,首尾难顾,甚至可能需要采用挽救性技术来搬救兵保护粮道(载瘤动脉),万一失利,劳师伤财;使用1-2个支架辅助手术呢,由于急性期抗血小板不足术中可能出现急性血栓堵塞粮道,万一瘤体又不能致密栓塞一网打尽,术后抗血小板吧,怕出血;不抗血小板吧,又担心血栓。一旦遭遇此种境遇,战争(手术)的走向和主动权就无法掌握在指挥者(术者)手中,只能听天由命了……
  解铃尚需系铃人,面对呈“犄角之势”的硬骨头(动脉瘤),只能顺势而为……。如果我们也分兵弹簧圈形成“犄角之势”,一起夹击动脉瘤,如果运用得当,就会收到事半功倍的效果。
  何为“犄角之势”呢?如果在战争中遇到硬骨头,通过分兵相互配合、形成夹击敌人的态势,就更容易取得战争的胜利。想当年,汉军和楚军在亥下进行的大决战,就是刘邦和韩信各领一帮兵马,分兵形成犄角之势,共同夹击项羽领导的楚军,通过此战,建立了汉王朝400年的基业。
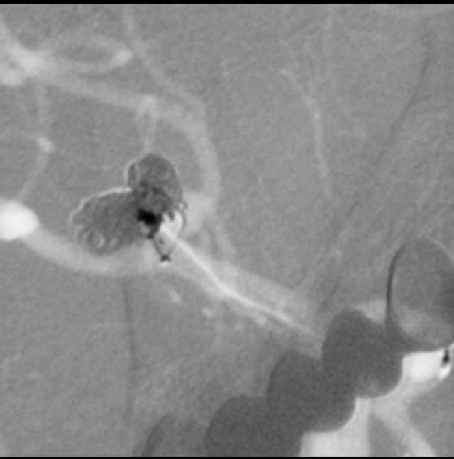
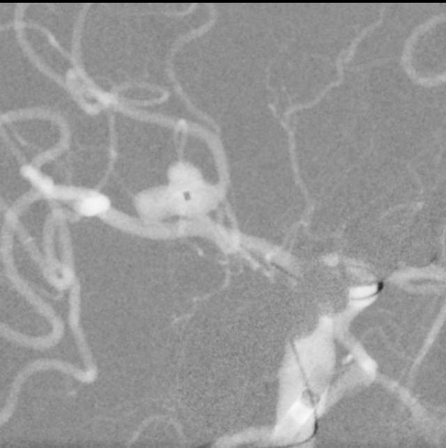
  话归正传,下面我们看看如何分兵使用“犄角之势”的策略夹击栓塞“犄角之势”的硬骨头(分叉部绝对宽颈带有俩角的动脉瘤):两个微导管先后到位,两个子囊内的弹簧圈相互依偎,形成“犄角之势”,共同击杀两者之间的大本营(共同的瘤体),最终致密栓塞动脉瘤,消除了动脉瘤再次兴风作浪(再出血)的风险,也最大限度的保全了各个分支血管(粮道)的安全,急性期也没有使用支架,降低了费用,还保障了安全。
  栓塞一个复杂动脉瘤,就是进行一场战争。采用“犄角之势”致密单纯栓塞动脉瘤后,指挥者(术者)没有支架内血栓的顾虑,也不担心再出血的侵扰,还有止血药、降压药的保驾护航,可以安心班师回朝了~~~
  脑动脉瘤的破裂是一个灾难性的事件(战争),需要第一时间派出精锐部队,仔细谋划分析战争(动脉瘤)形势,根据“天时、地利、人和”灵活机动的采用相应的策略,使用相对最简单、最安全、规模最小(花费少)的方法消灭击杀破裂动脉瘤,为人民的健康保驾护航。

1