您好! 请 登录 | 注册

大脑中动脉瘤的治疗

2022年02月18日 7774人阅读 返回文章列表

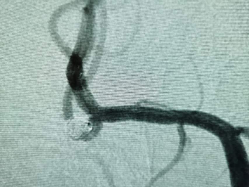
患者大年初一颅内动脉瘤破裂,查出多发颅内动脉瘤,大年初一栓塞破裂的大脑中—豆纹动脉动脉瘤,另外一个对侧的大脑中动脉分叉部动脉瘤形态不规则,顶端有明显的小泡,存在随时破裂的高风险,决定给予支架辅助栓塞术
1、

本次复查左侧栓塞的动脉瘤,不显影

0