您好! 请 登录 | 注册

95岁重庆老爷爷和小孙女的血脉之情

2022年10月02日 764人阅读 返回文章列表

“欢度国庆节、喜迎二十大”科普报道:95岁重庆老爷爷和小孙女的血脉之情
95岁重庆老年男性,年轻时叱咤风云,成就可圈可点………
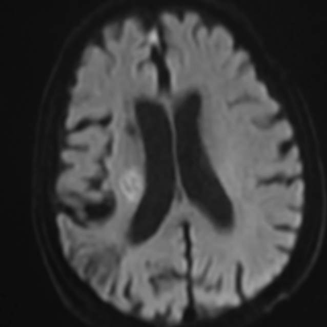
最近几个月来,因“反复性脑梗塞”出现肢体活动障碍等症状,在当地医院治疗后无改善,家人们多方打听,包了一个高铁的包厢,全家陪着老爷子千里迢迢来到我院治疗。期间,小孙女的老公起了关键作用,在此,必须点个赞。
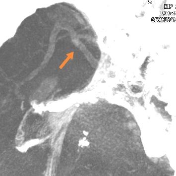
老人家进入医院全面评估后,发现右侧颅内一个主血管存在多节段局限性卡脖子的狭窄,TTP较对侧明显延长,呈缺血状态………,医院多学科讨论评估后,给予第一次外科干预后,患者瘫痪的肢体活动有改善,家人很开心……;在第二次干预之前,又出现了小的新发脑梗塞,继续药物保守治疗,可能还会梗塞;外科干预吧,刚刚出现新发的梗塞,出血风险大,况且又是高龄老年人,血管条件都是个未知数………。本来计划好的二期干预方案受到挑战,面对两难尴尬境地,所有的家人都一时难以决定:向左走?向右走?还是原地踏步进行观望?
  在大多数家庭,爷爷遇到事情,基本也就是儿子做最终决定,怎么也轮不到小孙女做决定的……,小孙女最多过来探视一下,就去读书、上班去了……
然,巾帼不让须眉~~~
优雅气质兼备的小孙女虽然没有接受过任何医学教育,看起来也很柔弱,却完全听懂了医生的手术策略,关键时刻,力排众议,力揽狂澜,当场拍板积极救治爷爷,全面信任并支持医生提出的新策略……
最后,手术顺利进行,术后老人家的狭窄完全消除,缺血改善,消除了进一步脑梗塞的风险……,经过术后5天的观察和修整,一切顺利,老人家明天就要出院回家过国庆节啦!
以前,见过公公住院手术,儿子一筹莫展,儿媳哭的稀里哗啦,拍板积极救治公公;也见过大老爷们病危,一个好兄弟大过年的离家在外全程陪着救治,直到生命的最后一刻………。今天,又亲眼目睹了一幕爷爷和孙女的血脉之情,令人动容~~~
祝愿老人家越来越好,也祝愿每一个人都能被这个世界温柔以待~~~

1