巨大腰椎间盘突出孔镜微创术
2021年06月12日 7815人阅读 返回文章列表
患者左侧腰腿痛、左下肢麻木,行走困难,行椎间孔镜微创手术,术程半小时顺利取出压迫神经的髓核组织,即刻疼痛麻木症状消失,术后次日正常下地走路,开心出院!左下肢疼痛麻木导致的姿势性侧弯
磁共振显示巨大突出的椎间盘压迫硬膜囊
磁共振平扫显示左侧神经根严重受压
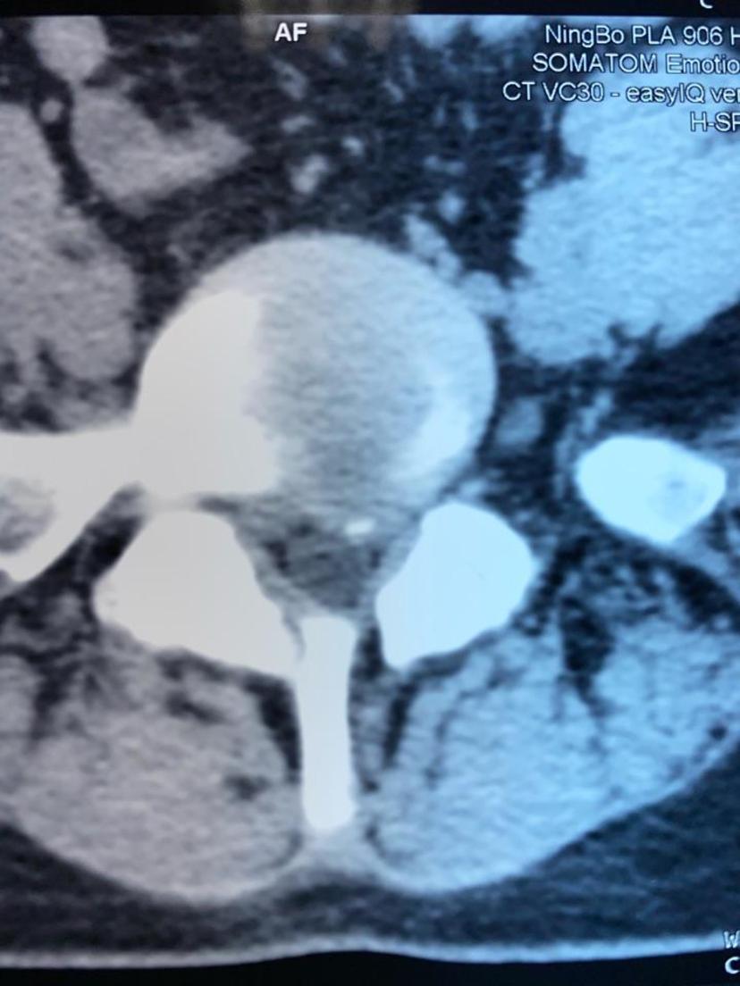
CT显示突出钙化的椎间盘压迫左侧神经根
术程半小时顺利取出压迫神经的椎间盘组织
取出的压迫物
术后次日切口情况,左下肢疼痛麻木症状消失,正常下地走路,开心出院
浙公网安备
33010902000463号