您好! 请 登录 | 注册

胸腺瘤/前纵隔占位/前纵隔结节是癌症吗

2018年08月06日 7092人阅读 返回文章列表

临床工作中,经常会有患者拿着报告来咨询,前纵隔结节是什么?

一前纵隔结节在哪里?上海市肺科医院胸外科谢冬

位于心脏前方,胸骨的后方

.前纵隔结节最常见的疾病是什么?

最常见的疾病包括:胸腺瘤,胸腺癌,胸腺囊肿,胸腺增生,精原细胞瘤等。

..什么是胸腺瘤?

胸腺瘤是一种低度恶性肿瘤,总体而言,生长缓慢,但有复发转移的风险。胸腺切除后,一般不影响成人患者的免疫功能。男女发病比例基本相当,高发年龄位于40-60岁。

.胸腺瘤有哪些症状?

1).体检发现,无症状

结节较小的患者,多数无症状,系体检发现,没有任何症状。

2).周围组织压迫症状

如果肿块较大,产生相应的压迫症状,可以包括:胸闷,胸痛(肿瘤直接压迫产生的症状),咳嗽,咳痰(肿瘤压迫肺组织),气急,气促(肿瘤压迫肺组织),声音嘶哑(肿瘤侵犯喉返神经),饮水呛咳(肿瘤侵犯喉上神经),上肢及头面部浮肿(肿瘤压迫无名静脉或上腔静脉)等,以及非特异性症状,例如发热,乏力等。

头面部浮肿的典型表现

治疗后,该患者头颈部肿胀明显好转

3).副瘤综合征

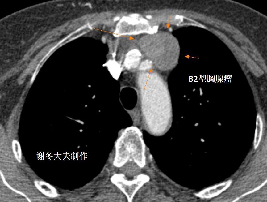
30%胸腺瘤患者会出现副瘤综合征(其中重症肌无力,MG最多见,且多见于B2型胸腺瘤):

1)重症肌无力等神经肌肉综合症。约18%~50%的胸腺瘤患者并重症肌无力。而约8%~15%重症肌无力患者有胸腺瘤。肌无力症状患者,主要症状包括:四肢无力,眼睑下垂,视物重影等,表现的特点是晨轻暮重,就是,早期肌无力症状轻微,晚上肌无力症状加重。部分患者口服溴吡啶斯的明后,迅速症状好转。

2)单纯红细胞再生障碍贫血(严重贫血,白细胞、血小板减少等血液疾病。

3)低伽马球蛋白血症T细胞缺陷综合症等免疫缺陷病,而易患感染。

典型的眼睑下垂

复视就是眼睛看东西重影,可以左右重影,或上下重影。下图是典型复视的表现

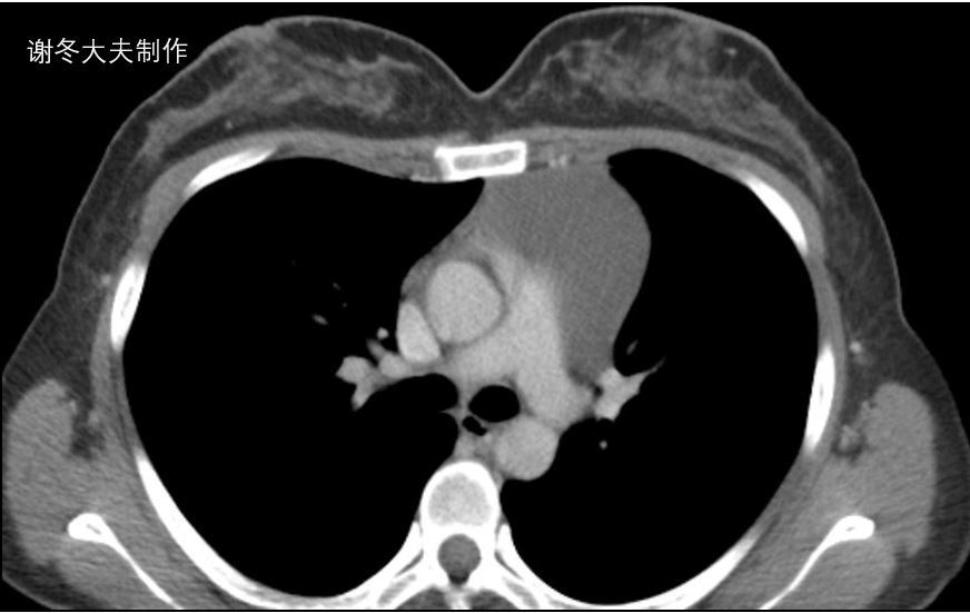
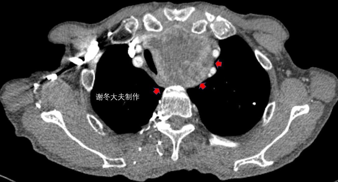
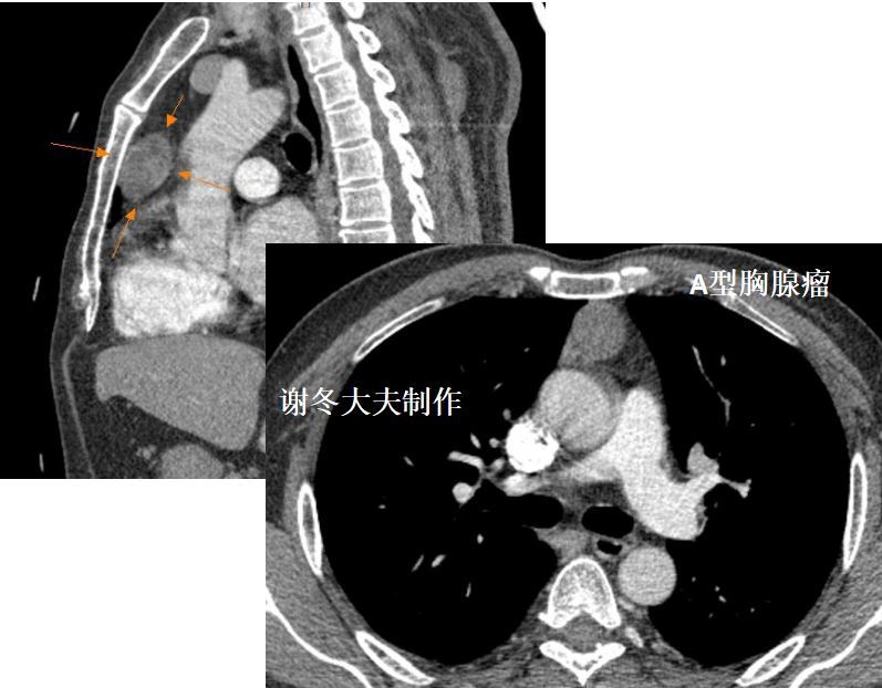
五、胸腺瘤的典型CT表现是什么样的?

1.非侵袭性胸腺瘤:

圆形、卵圆形或分叶状肿块;边界清晰;多数密度均匀,也可发生囊变;大部分肿瘤生长不对称,居于前纵隔的一侧;

直径<2cm的胸腺瘤可仅表现为正常胸腺边缘局部隆起。

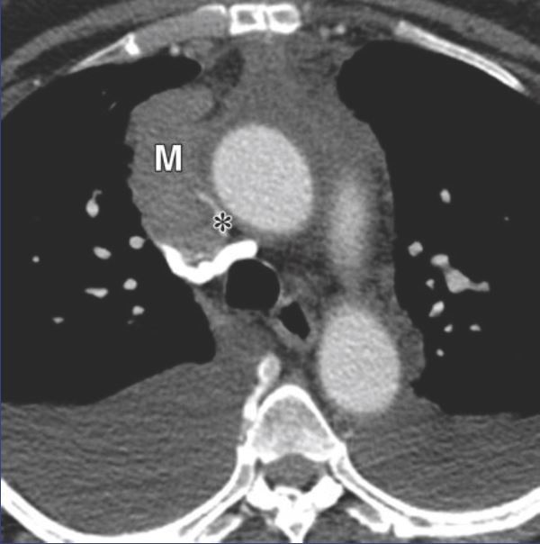
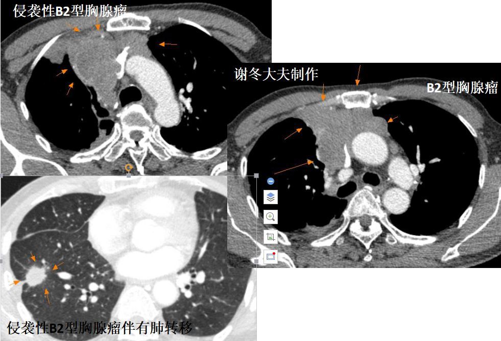
2.侵袭性胸腺瘤

侵袭性胸腺瘤明确的CT征象:纵隔结构的包绕,直接侵犯中心静脉、心包或胸膜种植转移和晚期发生的跨膈肌扩散。

侵犯上腔静脉,伴有双侧胸水

3. 胸腺癌

胸腺鳞癌

六 哪些前纵隔占位或前纵隔结节不是胸腺瘤?

1.谢大夫,这个前纵隔占位是胸腺瘤吗?

元芳,这个不是胸腺瘤,这是一个异位的纵隔胰腺,伴有病灶破裂腐蚀左肺上叶,造成左肺上叶感染。

2.谢大夫,这个前纵隔占位,是胸腺瘤吗?

回答:这是一个异位的甲状旁腺囊肿,不是胸腺瘤,它的位置更靠近颈部

3. 谢大夫,这个前纵隔占位,是胸腺瘤吗?

回答:这是一个胸骨后甲状腺,不是胸腺瘤,它从颈部一直下降坠落到胸腔里。

4.谢大夫,这个前纵隔占位,是胸腺瘤吗?

回答:这是一个纵隔畸胎瘤,不是胸腺瘤,这个肿瘤内部包含很多脂肪成分,以及钙化影,这些都是典型纵隔畸胎瘤的表现

5.谢大夫,这个前纵隔占位,是胸腺瘤吗?

回答:这也是一个纵隔畸胎瘤,不是胸腺瘤,这个肿瘤内部有个非常典型的囊内子囊,这也是典型纵隔畸胎瘤的表现。

6.谢大夫,这个纵隔占位,是胸腺瘤吗?

回答:这是一个心包囊肿,不是胸腺瘤,但这个只能术中探查才能鉴别诊断。

7.谢大夫,这个纵隔占位,是胸腺瘤吗?

回答:这是一个支气管囊肿,不是胸腺瘤,但有时候纵隔囊肿包括,胸腺囊肿,支气管囊肿,心包囊肿,术前很难鉴别诊断,有时即使CT结合磁共振也难以诊断。胸腺瘤往往也会合并胸腺囊肿,因此有时对于胸腺瘤和纵隔囊肿无法鉴别的情况下,必要时还是需要手术探查,依靠病理最终诊断。

8. 谢大夫,这个纵隔占位,是胸腺瘤吗?

回答:病理证实:这不是胸腺瘤,而是一个胸腺淋巴样(滤泡性)增生

下图是另一个胸腺增生

9.谢大夫,这个纵隔占位,是胸腺瘤吗?

回答:病理证实:这不是胸腺瘤,而是一个胸腺囊肿

七前纵隔结节,疑诊胸腺瘤应该如何治疗

近年来,随着影像技术提高,前纵隔小结节的发现率明显提高,这部分患者给临床工作带来巨大困扰,特别是小于2cm的纵隔小结节,术前诊断困难,可能包括的疾病有:胸腺瘤,胸腺增生,胸腺囊肿,淋巴瘤等,病灶位于胸骨后,难于行穿刺明确诊断,同时术前诊断特异性低。

1.这部分患者如果结节小于1cm,建议定期随访,不推荐直接手术。

2.如果结节大于2cm,胸腺瘤不能除外者,建议行微创手术切除。

3.病灶介于1-2cm之间者,建议必要时行磁共振或PET/CT监测,如果提示纵隔囊肿可能性大,可考虑继续随访,如果提示实质性肿瘤,建议行手术切除。

八胸腺瘤是良性的还是恶性的,是癌吗?

1.多数胸腺瘤是低度恶性肿瘤,但少数胸腺瘤表现为侵袭性病变,可以侵犯大血管,包括无名动脉,上腔静脉,肺动脉等,也可以出现转移,包括胸腔内转移,肺转移,胸膜转移,锁骨上淋巴结转移,甚至脑转移,骨转移等。

2.还有些少数患者为胸腺癌。

3.多数胸腺瘤患者表现为低度恶性肿瘤,表现为惰性肿瘤。

九胸腺瘤术前应该做哪些检查

1.胸腺瘤术前最好做薄层增强胸部CT(静脉打药水的CT),一方面评估纵隔病灶与周围血管或其他重要结构的关系如何?如果手术切除,有没有间隙能够提供分离;另一方面,评估胸腔内,胸膜或肺内有无转移灶。相当一部分胸腺肿瘤患者有肺或胸膜的侵犯或转移,术中需要局部切除肺组织。

2.是否需要行PET/CT

如果病灶较大,或疑诊胸腺癌时,还需要评估头颅磁共振,全身骨扫描或PET/ct,以排除有无远处转移的风险。

3.术前肿瘤是否需要穿刺?

如果预计肿瘤可以手术切除,术前不推荐穿刺,因为病灶位于胸骨后,有时难以穿刺。如果术前估计无法手术切除,或无法与其他恶性纵隔肿瘤(恶性生殖细胞肿瘤,恶性淋巴瘤,纵隔型肺癌)鉴别时,可以考虑穿刺明确诊断,经放疗或化疗,如果肿瘤缩小,可以再次评估有无手术切除可能。

4.其他检查包括:肺功能,心电图,动脉血气,肌电图,腹部超声,下肢静脉彩超,新斯的明实验等。

十胸腺瘤如何手术切除

对于体积较小、没有侵袭的胸腺瘤,一般可选择胸腔镜的微创治疗,这种治疗创伤小,且围手术期并发症少,此外,对于部分有侵袭的胸腺瘤,如瘤体侵犯了心包或胸膜,也可以通过胸腔镜治疗。

对于一些体积较大,有侵袭的胸腺瘤,如侵犯了大血管等,需要通过传统的手术切除的方法来治疗。

单孔胸腔镜微创手术

元芳,你看下面的图是胸腔镜从四孔——三孔——双孔——一直过渡到单孔,切口减少,更微创。

元芳,你看,这是单孔胸腔镜术后患者的切口,非常小。

十一胸腺瘤的预后如何?得了胸腺瘤,还能活多久?

胸腺瘤手术切除率较高,Kondo等报道1098例胸腺瘤I、II、III、IV期切除率分别为100%、100%、85%、42%。而完整切除与预后密切相关,Regnard等报道307例完整切除胸腺瘤10年生存率分别为80%、78%、75%、42%,15年生存率分别为78%、73%、30%、8%,相对于其他类型恶性肿瘤效果好。胸腺瘤的预后主要取决于,胸腺瘤分型、Masaoka分期、是否手术完整切除、肿瘤大小、伴随疾病的存在、术后辅助治疗等。

十二胸腺瘤术后要不要化疗或放疗?

1.绝大多数胸腺瘤术后不需要化疗,I期,II期,A型,AB型,B1型胸腺瘤术后一般不主张放疗,B2型,B3型以及C型胸腺瘤需要考虑放疗。

2.如果不是根治性手术,有病灶残留,需要进一步行放疗。

3.如果术中无意中发现胸膜转移,需要行转移侧的肋膈角的切线位放疗。

4.如果是IV期胸腺瘤,需要进一步化疗。

十三胸腺瘤术后要不要靶向治疗?

胸腺瘤靶向药物研究是近年来研究的热点,相关基因有表皮生长因子受体(EGFR)、Kit、血管内皮生长因子(VEGF)、Kras、人表皮生长因子受体2(HER-2)等,虽然积极探索,但多数效果不佳。

十四胸腺瘤总结

总结一下,胸腺瘤总体是一类较为缓和的低度恶性肿瘤,发展缓慢,但仍具有致死性,建议早期积极治疗。早期切除是唯一有效的根治性措施。化疗,靶向治疗疗效均不理想,放疗主要用于手术后降低复发风险,或挽救性治疗,中药基本没什么效果。合并肌无力患者,术后还需要神经内科长期随访诊治。早期发现的胸腺瘤,单纯手术治疗可以根治,预后较好,不用过于担心。

早期胸腺瘤,可以采用单孔胸腔镜手术,或经颈部微创手术,或者经剑突下胸腔镜手术,费用3-4万左右,中晚期肿瘤需要开胸手术治疗;局部晚期肿瘤,可以行手术切除联合大血管重建治疗。

前纵隔占位,除了胸腺瘤以外,还包括:纵隔囊肿(支气管囊肿,胸腺囊肿,心包囊肿等),淋巴瘤,纵隔畸胎瘤,胸腺癌,casttleman disease等,需要仔细鉴别诊断。

前纵隔结节,除了胸腺瘤以外,还有胸腺增生,胸腺囊肿,胸腺脂肪瘤等,需要仔细鉴别诊断。

十五最后,谢冬大夫那么博学,去哪里能找他看病呢?

元芳,谢冬大夫每周二、周五下午专家门诊

上海市杨浦区政民路507号(靠近五角场)上海市肺科医院门诊4楼(周五)/5楼(周二)

或者住院部1号楼7楼主任医师办公室。

2