您好! 请 登录 | 注册

呕吐好多年,竟然这么快就治好了

2020年03月26日 8670人阅读 返回文章列表

        一日三餐,一个人日常生活中再普通不过的事,但对于来自浙江的赵奶奶(化姓)却成了自己的一块“心病”。而随之带来的焦虑、恐惧更是对老人的一种精神打击,辗转全国各地,包括北京、上海、广州各大医院,都没有好的办法,最后赵奶奶来到了复旦大学附属中山医院内镜中心,找到了中心副主任钟芸诗教授,没想到住院一周时间,问题就解决了,那究竟是咋回事呢?


“呕吐”使进餐变得不简单
4年前70多岁的赵奶奶(化姓)得了一种怪病,吃饭时吃着吃着就咽不下去了,有时候反流,有时候呕吐,甚至还有几次呛到了气管里。在当地医院经过CT、钡餐、胃镜等一系列检查,医生诊断:食管憩室,建议如果保守治疗效果不好,则需要开刀手术治疗。赵奶奶害怕手术,只有每顿饭慢慢地一点一点吃下去,经常一顿饭下来得1个多小时,并且从来不敢吃固体食物。  

症状加重,辗转求医
3个多月前赵奶奶进食后呕吐症状越来越重,流质食物也吃不下,体重明显下降,已经瘦了20多斤,路也走不动了,再次住进医院,医生检查后告诉赵奶奶:您目前食管憩室的情况比较严重,憩室比较大,得手术治疗。赵奶奶听到得开刀手术,死活不肯治疗了。医生告诉赵奶奶:您不想开刀手术的话,也可以内镜下微创治疗,但我们医院做不了。辗转多家医院后,赵奶奶及家人经过多方打听,找到了复旦大学附属中山医院内镜中心钟芸诗教授。

教授分析病情,化解难题
钟芸诗教授介绍:食管憩室就是食管上长了个“口袋”(食管壁的一层或全层局限性膨出,形成与食管腔相同的囊袋),患者吃饭的时候,吃进去的部分食物会掉进“口袋”里,装满食物的憩室像个大口袋,把正常的食管腔紧紧地挤到一边,造成食物不能从食管进入到胃里,越积越多的食物从食管反流上来,导致呕吐。
中小食管憩室多无症状,可以不需要特殊治疗。但是,仍有小部分的食管憩室患者,尤其是大憩室患者常合并食管动力障碍临床上会出现烧心、反流、吞咽困难、胸痛、呕吐等症状,严重的影响了患者的生活质量。如果不及时治疗,可能会引起肺部并发症,食物淤积造成食管炎症和溃疡,更严重的是增加癌变发生率。
随着内镜技术的飞速发展,内镜下微创治疗食管憩室逐步得到患者们的认可。通过内镜在食管粘膜下打一“隧道”,在“隧道”内切开食管憩室间嵴,随着食道憩室嵴的切断,憩室消失了,食物不会再停留这个空间,原本食物会漏进去的“口袋”便消失了,从而解决了患者们进食困难的问题。

内镜微创“小手术”,解决进食“大问题”
赵奶奶听了钟教授的病情解释后,恳请钟教授尽快手术。钟教授当天就安排赵奶奶住院检查,行术前评估,次日就给赵奶奶完成了内镜下微创手术:隧道内镜下食管憩室嵴切开术。钟教授运用内镜电刀在食管憩室上方建立“隧道”入口,打通“隧道”,在“隧道”内暴露出憩室嵴,最后应用内镜刀切开憩室嵴肌肉,在食管腔观察憩室嵴消失,金属夹关闭“隧道”入口。手术顺利,整个手术过程仅仅用时30分钟。术后复查造影,造影剂流出食管顺畅,不再潴留于食管憩室。赵奶奶术后经过禁食、胃肠减压、抑酸、营养支持等治疗,1天后进食流质饮食无明显不适,未再呕吐。术后逐步增加饮食,赵奶奶也未再呕吐,并且体重逐步增加,精神越来越好。就这样,困扰了赵奶奶好多年的呕吐,竟然这么快就治好了。
据复旦大学附属中山医院内镜中心副主任钟芸诗教授介绍,目前中心已成功治愈类似患者近10例,使原来巨创的胸外科手术,转变成无创的内镜手术。
复旦大学附属中山医院内镜中心是世界著名的内镜微创治疗机构,年完成各类复杂内镜手术5000余例,2019年复旦大学附属中山医院内镜中心因为在食管内镜治疗上的巨大成绩,获得了国家科技进步二等奖。

      
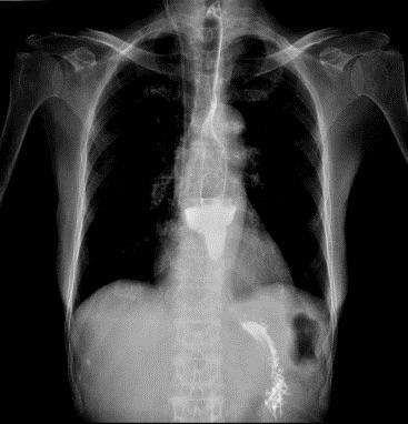
图1  食管巨大憩室,术前憩室嵴明显,造影剂滞留食管憩室



      

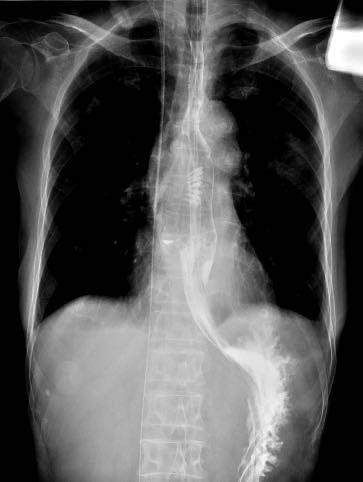
图2  食管憩室,术后憩室嵴消失,造影剂顺畅流出食管


健康小贴士

1.什么是食管憩室?
食管憩室就是在某些疾病或者由于先天畸形等原因,使食管壁的一层或全层局限性膨出,形成与食管腔相同的囊袋。这种囊袋称为食管憩室。按发病机制食管憩室可分为内压性和牵引性憩室两类。按部位分为咽食管憩室、食管中段憩室和膈上憩室。咽食管憩室和膈上憩室多为内压性憩室,与食管功能紊乱有关,食管中段憩室多为牵引性憩室,常为炎症后瘢痕牵拉食管而形成。

2.食管憩室有什么症状?
中小食管憩室多无症状,部分较大憩室患者常会出现烧心、反流、吞咽困难、胸痛、咳嗽、呕吐等症状。憩室较大或憩室内有炎症时,可有不同程度的胸痛及吞咽困难,憩室有出血时,可有呕血及黑便。平卧或夜间憩室内容物反流至口内,为憩室特征性症状。

3.食管憩室怎么发现?
通常可以通过食管造影X线、胸部CT及内镜检查等进行诊断。

4.食管憩室有什么危害?
部分合并较大的憩室的患者会出现不适症状:进食困难、反流、咳嗽、胸痛、呕吐等,严重时会合并感染、出血、穿孔、癌变等,甚至还会累及身体其他系统,如合并肺部感染等呼吸系统疾病。

5.食管憩室怎么治疗?
没有症状的中小食管憩室,一般不需要治疗,可定期进行随访。如果部分憩室患者出现临床不适症状,保守治疗效果不好,可以考虑手术治疗,或者内镜微创等治疗。


专家温馨提示:            
食管巨大憩室为少见疾病,发病率较低,传统治疗方法为胸外科手术治疗,随着近年来消化内镜技术的快速发展,隧道内镜下食管憩室嵴切开术作为内镜下治疗食管憩室的新技术,是一种安全、有效的内镜微创治疗方法,适用于不同部位的憩室。病人无需开胸手术,全部手术过程均在无痛状态下通过胃镜进行操作,手术时间短、创伤小、患者第二天即可进食,解除了患者的痛苦,改善了其生活质量,而且恢复快、疗效可靠,充分体现了微创治疗的优越性。

专家介绍

钟芸诗教授,复旦大学附属中山医院内镜中心副主任,主任医师,博导。上海市消化内镜学会委员,上海市抗癌协会消化内镜专业委员会秘书长,擅长各类消化道疾病的内镜微创治疗。专家门诊时间:周一下午,周四上午。

1