您好! 请 登录 | 注册

为什么要做免疫组化检查?

2020年08月18日 8360人阅读 返回文章列表

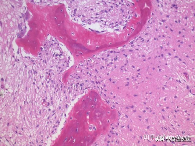
病理图片(HE)

许多骨肿瘤的病人在手术做完后,病理报告出来之前,医生都会通知你病理诊断还需要补做免疫组化验查。很多病人就很纳闷,我病理检查费用不是交了吗?为什么现在又要做免疫组化检查,这是干什么用的,一定要做吗?若是一定要做,为什么之前不一起做了呢?

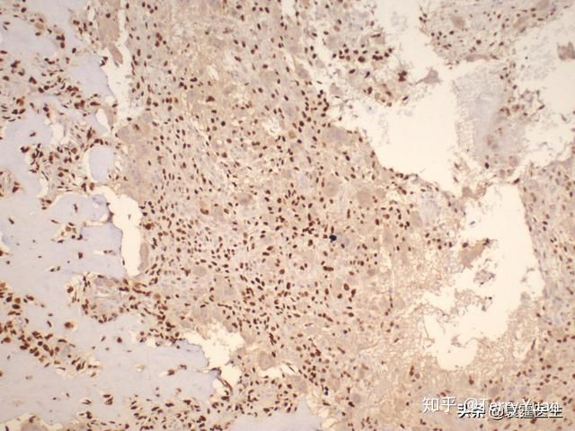
病理图片(免疫组化)

带着这个疑问,我们来给广大病友解答一下。

所谓的免疫组化检查,是免疫组织化学检查的简称。定义是抗原与抗体特异性结合,通过化学反应使标记抗体的显色剂显色,从而确定组织细胞内的抗原(多肽和蛋白质),并对其进行定位、定性及定量。听起来非常专业也很复杂,简单来说,免疫组化可以帮助我们更好的诊断肿瘤的类别和性质。

但是是否一定要做呢?答案也不是肯定的。因为在常规肿瘤病理诊断中,约有10%左右的病例单靠基本的HE染色难以做出明确的诊断。在此时,为使得诊断准确,需要免疫组化的帮忙,尤其是在低分化或未分化肿瘤的鉴别诊断时,准确率可达75%。因此,不是所有病人都需要做免疫组化检查,但是病理科医生在面临诊断不明确的时候,就会要求病人来做免疫组化,协助检查。

目前来说,免疫组化可以在骨肿瘤的诊断方面给我们带来如下的帮助:⑴恶性肿瘤的诊断与鉴别诊断;⑵确定转移性恶性肿瘤的原发部位;⑶对某类肿瘤进行进一步的病理分型;⑷软组织肿瘤的治疗一般需根据正确的组织学分类,因其种类多、组织形态相像,有时难以区分其组织来源,应用多种标志进行免疫组化研究对软组织肿瘤的诊断是不可缺少的;⑸发现微小转移灶,有助于临床治疗方案的确定,包括手术范围的确定。⑹为临床提供治疗方案的选择。


0