您好! 请 登录 | 注册

骨科医生带你了解踝关节疾病---踝关节撞击综合征

2021年12月09日 8236人阅读 返回文章列表

什么是踝关节撞击综合征?

       踝关节周围骨性或软组织之间的撞击、挤压及反复摩擦等引起踝关节疼痛和(或)关节活动受限,我们称之为踝关节撞击综合征。

分为骨性撞击和软组织撞击,其中前者指距骨和胫骨骨赘之间的撞击;后者为关节囊、滑膜、韧带增生、肥厚或瘢痕组织增生等所致,二者可同时发生。根据发生部位不同,踝关节撞击综合征又可分为前方撞击、前外撞击、前内撞击、后方撞击和后内撞击,其中以前三类最为多见。


什么是踝关节前方撞击?

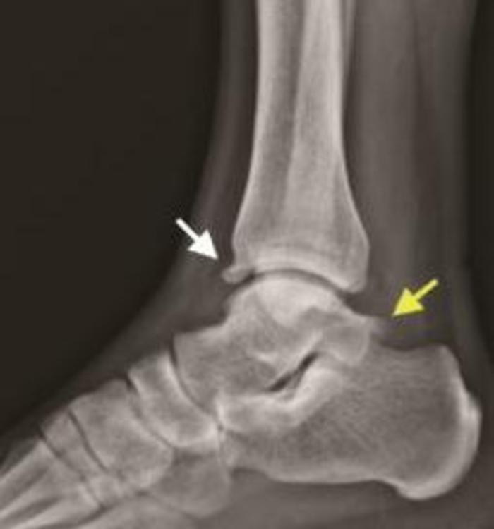
足球运动员和芭蕾舞演员中最常见,是运动员前踝疼痛的常见原因。踝关节前方有一个“凹槽样”结构,踝关节反复过度背屈时会在里面刺激生成骨赘,生成的骨赘会反过来限制踝关节的屈曲活动。X线侧位片可以观察到“鸟嘴样”骨赘形成,MRI是评估踝关节前方撞击综合征的主要方法,增生骨赘一般呈低信号。

什么是踝关节后方撞击?

既往被称为三角骨综合征、距骨挤压综合征、踝关节后方功能障碍等。是由于重复和极端的足底屈曲导致后踝骨界面间的撞击,并压迫中间的软组织,导致足底屈曲时的疼痛和活动范围受限,称之为“胡桃夹症”,是后踝疼痛的常见原因之一。

踝关节后方骨性撞击在X线侧位片和CT上均能显示,可发现距骨后方三角形或椭圆形的三角籽骨的病理改变,以及距骨后突是否过长等,MRI时,距骨后突过长伴骨髓水肿在T1WI上呈稍低信号。

什么是踝关节前外撞击?

踝关节反复内翻损伤是踝关节前外撞击综合征的最常见病因。在疾病晚期,前外侧沟发生纤维化,其形态在关节镜下类似膝关节半月板样结构,因而被称为“半月板样损伤”。胫腓前韧带下束增厚会使踝关节背屈时距骨与韧带发生解除而导致撞击症状,而反复摩擦又会近一步增厚韧带。常规踝关节X线片无法准确定位到前外侧沟,CT能够准确地显示病变部位的骨赘、关节游离体及距骨穹隆的软骨损伤等,MRI对于踝关节前外撞击有较高的诊断价值,主要表现为前外侧沟区域的异常信号,如存在滑膜炎时,T1WI上呈中等至低信号。

如何治疗踝关节撞击综合征?

大部分可通过保守治疗,包括减少运动、制动休息和物理治疗等,也可通过调整运动姿势改善疼痛症状,还可以局部注射药物治疗,对症状反复发作,保守治疗无效的患者,可进行关节镜下清理及骨赘清除。

参考:(图片来自网络,金泽斌供稿)

[1]代咏梅,欧丽珍. 踝关节撞击综合征关节镜术后的护理与康复指导[J]. 实用临床护理学电子杂志,2020,5(7):35-36.

[2]朱文峰,施凤超,孙焕建,等. 踝关节撞击综合征的关节镜治疗[J]. 南通大学学报(医学版),2021,41(1):55-57. DOI:10.16424/j.cnki.cn32-1807/r.2021.01.014.

[3] 方义杰,李绍林. 踝关节撞击综合征影像学评估[J]. 中华放射学杂志,2021,55(5):573-577. DOI:10.3760/cma.j.cn112149-20201205-01285.

[4] Berman Z, Tafur M, Ahmed SS, Huang BK, Chang EY. Ankle impingement syndromes: an imaging review. Br J Radiol. 2017 Feb;90(1070):20160735. doi: 10.1259/bjr.20160735. Epub 2016 Nov 25. PMID: 27885856; PMCID: PMC5685116.

1