您好! 请 登录 | 注册

肺磨玻璃结节故事四:一个典型影像学特征磨玻璃小结节

2020年09月22日 9402人阅读 返回文章列表

4月前,一个外地年轻女性星期五上午我门诊来看病,丈夫陪同。我看了看CT,病变为磨玻璃结节,位于左下肺,大约9×6毫米大,密度不均,内部有一个小空泡。

我说:“你的磨玻璃结节里面有一个小窟窿,你们俩看看,小窟窿不在中心,在结节的左上角。”。

夫妻俩看看说:“结节的边上确实有一个小窟窿。看过很多医院的医生,以前没有一个医生注意到这件事。”

实际上结节是一个混合磨玻璃结节,有实性成分也有磨玻璃成分,偏心处有一个小空泡(即刚才说的小窟窿),尽管外院CT质量一般,但看起来这个磨玻璃结节90%左右可能是恶性的。我说:“你这个结节看起来不太好,而且不是纯的磨玻璃结节,里面有实性成分,应该做手术切掉它。”

丈夫问:“有病床吗?

我说:“今天正好出院一个女病人,你正好可以住院。”

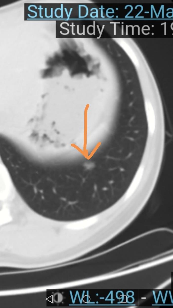
病人住院后。重新复查CT,结节位于膈肌上方,距离腹腔较近,位于像蒙古包形状的肺底部。

上图红色箭头指的就是左下肺的磨玻璃结节。位于膈肌上方,距离腹腔较近,可以看到排便的胃。注意这个结节密度不均,所以是混合磨玻璃结节;结节内部偏前方有一个小空泡。


上图是放大图,箭头指示的是结节内部偏前方一个圆形低密度区,看起来黑一些,就是一个小空泡。

 

上图是手机拍摄的电脑屏幕。可以看到蓝色箭头指示的是结节内部偏前方一个圆形低密度区,看起来黑一些,就是一个小空泡。黄色箭头指示结节外面的一根毛刺影。

总体上,这是一个混合磨玻璃结节,实性成分相对较多,占比接近15%。结节有偏心小空泡,有毛刺影,密度不均,是一个典型的恶性磨玻璃结节。术前判断恶性的几率大约95%左右。术前和丈夫签字时,我说:“估计病变基本上是肺癌,应该超过原位癌阶段,因为原位癌一般是纯磨玻璃结节,病变估计到了微小浸润性腺癌的阶段,估计病变到浸润性癌的可能性不大。结节有一定实性成分,以后会越长越快。如果到浸润性腺癌阶段就可能转移扩散。我在医患沟通表上写明结节为微小浸润性腺癌可能大。”家属同意手术。

因为肺底小结节不太好定位,术前我进行结节位置的精确测量和计算,画图。

 


病人不吸烟,所以肺质量很好。上图是术中的胸腔镜显示器屏幕上的图像,可以看到结节位于肺的底部,右下角露出一点膈肌。上图照片黑色箭头指示的就是磨玻璃结节,可以看到结节里面有几根小血管。


手术中用腔镜用侧侧缝合器,裁剪左下肺。

上图为结节切成两半,两个黑色箭头各指示一半。看起来不像是好东西。术中快速冰冻病理报告为癌变。术中快速病理只有30分钟。术后正式的病理报告:为微小浸润性腺癌。与我术前的估计完全一致。

我后来告诉患者和家属:“结节处于微小浸润性腺癌这个阶段,基本不影响寿命 患者和家属很感谢我判断准确。他们说还有一些医生估计是炎症。他们如释重负,因为解除了定时炸弹,解除了顾虑,高兴地出院了


0