您好! 请 登录 | 注册

做完胸部CT,为什么还要做支气管镜?这5个真实病例告诉你

2021年12月09日 8996人阅读 返回文章列表

做完胸部,为什么还要做支气管镜?这5个真实病例告诉你

2021

12/02

19:30


医学界呼吸频道


分享

*仅供医学专业人士阅读参考

接地气的直观科普!

呼吸系统疾病的诊断中,除了最常用最基本的抽血项目外,肺功能、胸部CT和支气管镜检查是非常重要的“三大法宝”,三者各有优势,具有互补且不可替代的重要作用。

例如,支气管哮喘是无法通过胸部CT和支气管镜来确诊的,需要肺功能检测来明确,而周围型肺癌通常需要通过胸部CT来发现,肺功能是发现不了的。

在这三大法宝中,最常被人们忽略的是支气管镜检查,很多人误以为有了胸部CT就完全可以代替支气管镜检查。其实并不然,很多时候无论胸部CT有没有发现病灶,都需要支气管镜检查才能确诊,甚至是最好或是唯一的确诊手段。

下面笔者通过现实中的病例来给告诉大家,为什么已经有了胸部CT还要做支气管镜检查?它的重要性和必要性在哪里?

病例1

患者女,55岁,因“咯血半个月”入院。

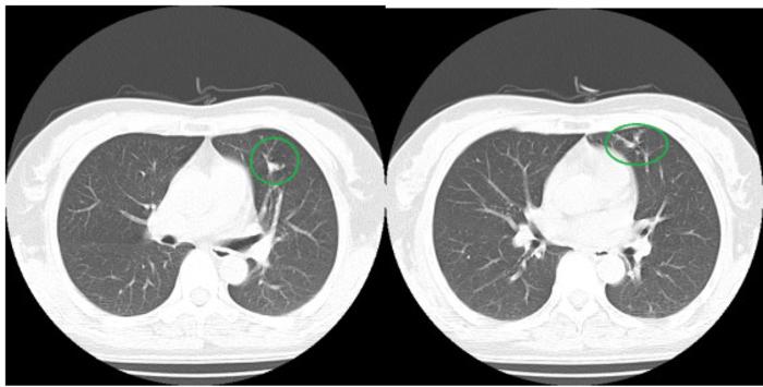
入院后查血常规、凝血功能、D-二聚体、心电图均正常。胸部CT如下:

图1

胸部CT仅见左肺上叶少许炎性改变,这种很常见的影像改变,非常容易让人大意以为就是普通的细菌感染而造成漏诊或误诊。

其实够用心或者有足够经验就会意识到,这点病灶不至于引起这样的咯血。为了明确咯血原因,我们给她做了支气管镜检查,虽然病灶在支气管的远端,支气管镜下未发现异常,但我们常规给予支气管肺泡灌洗液(BALF)送检。

支气管肺泡灌洗液培养结果回报有“出人意料”的重要大发现——见到黄曲霉。

于是我们换4.0mm直径的细支气管镜进入该支气管亚段再次检查,发现左上叶上舌段亚段内白色坏死物,为了进一步确诊,我们给予钳检。




图2

钳检病理回报见真菌孢子及菌丝样物,故该患者实际上不是细菌感染,而是曲霉菌感染所致,治疗上予注射用伏立康唑(0.2g,每日2次)治疗。50天后复查支气管镜,原病灶处明显好转,气管镜下予伏立康唑局部注射治疗。



图3

这个病例告诉我们对于不明原因的咯血不要忽略了做支气管镜检查,同时提醒我们就算支气管镜下未发现病灶,也很有必要在相应的可疑部位做灌洗留取标本检查协诊。

此外,笔者还想提醒大家的是,支气管肺泡灌洗液半乳甘露聚糖(GM)测定对肺曲霉病的诊断具有较高的敏感度和特异度,千万别满足于只做常规的涂片和培养。

病例2

患者,男,27岁,因“自觉咽部有痰、咳嗽3月余”入院。

入院后查胸部CT发现右肺中叶感染性病变。


图4

阅胸部CT可见右肺中叶有少许斑片密度增高影及树芽征,痰标本细菌、真菌和抗酸染色均未见异常,那么这是普通细菌感染、支原体感染还是特殊病原体感染呢?

为了进一步明确,我们对此进行支气管镜检查,镜下可见右肺中叶支气管黏膜有白色分泌物附着,予右肺中叶支气管刷检及支气管肺泡灌洗液送检。

图5

患者支气管刷检涂片见抗酸杆菌阳性,BALF结核X-pert(结核分枝杆菌复合群DNA)检出;灌洗液检到抗酸杆菌,诊断为支气管内膜结核,及时转送传染病专科医院进行抗结核治疗得到了好转,避免了疾病进展而导致支气管狭窄、堵塞等严重后果。

这个真实病例告诉我们,不明原因的咳嗽或想进一步得到可靠的病原学标本,支气管镜是非常重要的检查,就像这个病例如果不做支气管镜检查及时发现,就会随着病情进展,导致气道狭窄,甚至闭塞,不仅治疗费用大,而且会让患者生活在痛苦中。

病例3

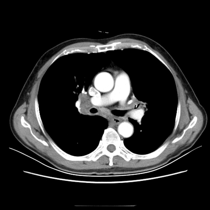
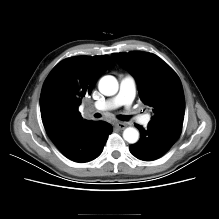
患者男,63岁,因“反复咳喘40余年,加重5天”入院。

辅助检查:血常规:白细胞20.05×109/L;中性粒细胞77.3%;红细胞、血小板正常。胸部CT如下:

胸部CT未见明显异常,于是我们给他做了支气管镜检查,在患者左肺上叶支气管发现了支气管异物——鱼刺。


图6-7

用活检钳夹除异物(鱼刺)后患者咳嗽好转,追问病史,患者表示自己对此误吸完全没有印象。

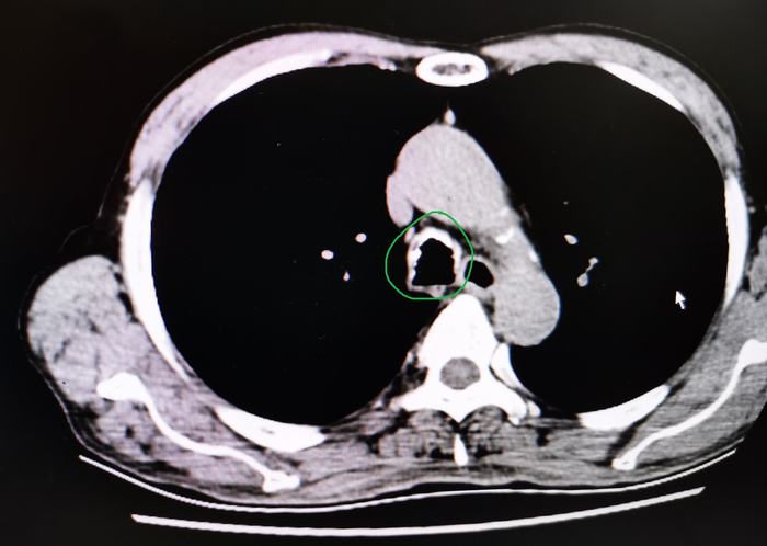
支气管镜下发现异常后,我们再仔细回看做支气管镜检查前的胸部CT:


图8

可能有经验且细心的同道发现了该病灶,但如果这张图是放在没有任何提示的361张图片里,你确定还能发现病灶吗?当时影像科和临床医师都没有发现,如果我不做标识,相信非常多的人也看不出来。

图9

这个病例真实的警示我们,不明原因的胸闷、气短、呼吸困难,包括长期咳嗽,特别是胸部CT显示长期在固定部位出现肺不张或反复感染者,支气管镜检查更是不可或缺,不仅具有突出优势,甚至是明确诊断不可替代的唯一手段。

病例4

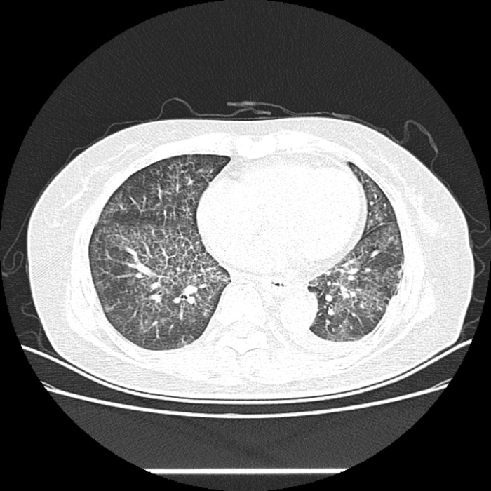
患者,女,63岁,因“发热伴呼吸困难5天”入院。

辅助检查:血常规、降钙素原未见异常。胸部CT示:两肺弥漫网格状磨玻璃密度影,小叶间隔增厚,呈铺路石样改变。

图10

这是什么病呢?病毒感染还是特殊病原体感染或是非感染性疾病?

为了进一步明确,我们行支气管镜检查,在镜下行支气管肺泡灌洗等,并留取标本检查。

图11

灌洗液呈乳白色(放置后乳白色沉淀),过碘酸雪夫染色(PAS)阳性。冷冻活检病理考虑:肺泡蛋白沉积症(PAP)。

肺泡蛋白沉积症是一种“无药可治”的疾病,更准确地说,肺泡蛋白沉积症的主要治疗方法不是药物,而是予支气管镜下全肺肺泡灌洗。

这个病例告诉我们,不明原因的发热或难以明确胸部异常影像的病因时,支气管镜检查是攻克难题的重要“利器”,有些时候不但是诊断的重要手段,也是治疗的唯一手段。

病例5

患者男,68岁,因“咳嗽伴发热15天“入院。

辅助检查:血常规正常。胸部CT报告:1、右肺上叶少许炎性灶伴局部支气管轻度扩张;2、右肺中叶偏小伴少许不张,请结合支气管镜;3、右肺中叶、左肺散在炎症;4、右肺上叶、左肺下肺囊肿;5、冠脉钙化。

为了进一步明确,我们做了支气管检查,镜下发现支气管出现“惊奇”的一幕——气管、支气管黏膜下有多发性骨质或软骨组织结节状增生并突向管腔。

图12

看到这种病变是不是觉得很惊奇?能看出这是什么病吗?其实,这种病变常见于“骨化性气管支气管病”“气管支气管淀粉样变”等少见病。

我们再回看这个胸部CT的纵膈窗可以发现气管明显有气道壁后方膜部不受累的环状高密度影(钙化灶)。

图13

因为慢性气管支气管炎、老年性气管支气管等情况也可出现类似改变,很多人感觉司空见惯或认识不足常常不注意而漏诊。

我们在支气管镜下行活检,病理回报符合“骨质沉着性气管病”——即“骨化性气管支气管病”诊断成立。

图14

总结:

胸部CT和支气管镜都是呼吸疾病非常重要的检查,两者各有优势且相辅相成——胸部CT最大作用是看支气管和双肺有无异常征象和明确病变部位,有助于了解和判断病种和病因方向。

但胸部CT也有它的局限性,如气道的病变常常很难发现,就算发现病灶也无法定性,也不能获取病原学和组织学;支气管镜检查是诊断支气管腔内病变的最佳方法,不仅可以发现胸部CT不能发现的支气管腔内病变,还可以采样做病原学和进行活检明确病灶性质,获得更精准的诊断。

对于不明原因咳嗽或咯血、呼吸困难、发热,以及胸部CT发现病灶,需要进一步明确病原学、病理等病因,支气管镜是非常重要的检查,而且很多时候不仅是诊断的重要手段,也是治疗的重要手段,甚至是唯一方法,因此,已经做了抽血、肺功能、胸部CT等项目,很多时候别忽略还需要做支气管检查,它们之间具有相辅相成且不可替代的作用,可以帮助尽早明确病因,以及减少患者的痛苦和经济负担。

作者简介

陈侠

副主任医师

浙江省乐清市第三人民医院呼吸与危重症医学科

2019年上海中山医院PCCM参访学员

2020年选派新冠定点医院参与一线抗疫工作

2021年温州医科大学附属第一医院PCCM介入呼吸病学单修学员

目前担任科室教学秘书

专家简介

王生成

副主任医师,儋州市人民医院感染科副主任,海南省医学会医学科普青委会副主任委员

政协第十一届儋州市委委员、民盟儋州市委第七届委员

世界呼吸内镜协会理事,中国医药教育协会介入微创呼吸分会委员,中国防痨协会MDT分会委员,海南省医学会呼吸专业委员

海南省医学科学院首批健康教育与医学科普专家。“中国县域医院院长联盟”新冠肺炎指导专家,海南省疫情防控督导组专家

国内三大知名医疗资讯平台"医学界"、"医脉通”、"DXY”的专栏作者,是全国第一位也是唯一一位同时具有这三大平台专栏头衔的作者,并获得上述平台的“优秀作者”、"金牌作者”、"最具有影响力作者",同时也是“医生站全国十佳讲师、最佳人气讲师”、"丁香达人”;“基层医师公社”特约撰稿人;“科普中国-科普百科”审稿专家

《新冠肺炎典型病例临床解析》副主编,《支气管内超声临床应用病例解析》编委,《肺部疾病超声诊断临床解析》编委

多次参加国家级及省级学术交流并登台讲课,并多次受省电视台和市电视台邀请录制节目

就职单位:海南医学院附属儋州市人民医院

科室:感染科、戒烟门诊

个人公众hao:科普医哥

科普特点:不追求高端大气,重点追求接地气

参考文献:

[1]王生成.警示:不明原因咳嗽或咯血,千万别忽略了做支气管镜检查!.科普医哥.2021-8-21.

本文来源:科普医哥

本文作者:陈侠、王生成

责任编辑:戴戴 章丽

版权申明



0