您好! 请 登录 | 注册

乳牙反复发炎对恒牙发育有影响吗?

2017年06月25日 15221人阅读 返回文章列表

经常会有家长询问:乳牙发炎,牙龈反复鼓脓对恒牙发育有什么影响?面对经常发炎的牙龈瘘管,家长们往往是一方面担心孩子根管治疗时受苦,另一方面又害怕不治疗影响恒牙发育,陷入两难的境地。下面就用几张图片也是我在工作中遇到的患者资料做一个科普宣传。希望对您有所帮助!

下面这2张图片显示一12岁患儿左下乳牙(黄点标记)根尖反复发炎导致对应恒牙(红点标记)水平阻生,不能正常萌出,后续经过一年时间的治疗才将这个恒牙牵引成功。
全景片示:左下乳牙牙根发炎导致恒牙不能萌出


牙片示:左下乳牙牙根发炎导致恒牙不能萌出

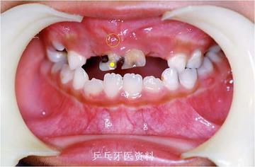
下面这两张图片显示一10岁患儿右上乳牙(黄点标记)根尖反复发炎导致对应门牙(红点标记)不能萌出。左边门牙正常萌出。
口内照片示:右上乳牙牙根发炎(黄圈示瘘管)对应恒牙不能萌出


牙片示:右上乳牙牙根发炎,恒牙方向改变不能萌出

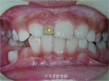
下面这2张图片显示一9岁患儿右上乳牙根尖发炎(黄圈示瘘管),乳牙不掉,恒牙不长,恒牙呈水平阻生
口内照片示:上前乳牙牙根发炎,不能正常脱落

牙片示:乳牙牙根发炎,乳牙滞留,恒牙方向改变,不能萌出


看了以上3个患儿的图片,如果您孩子乳牙根尖也经常发炎,牙龈经常肿胀流脓,就请尽早带孩子就诊吧!
请记住:乳牙牙根发炎,是会影响恒牙发育的,切不可大意,不可存有侥幸心里。
提醒家长孩子们做好龋齿预防,定期口腔检查,拥有口腔健康!乳牙龋齿也要积极治疗!
祝您口腔健康!
江苏省口腔医院  张耀国    

7