您好! 请 登录 | 注册

两例椎管肿瘤全切

2023年03月15日 31人阅读 返回文章列表

椎管肿瘤的手术治疗是神经外科医疗质量评审中的重要病种,也是公立医院高质量发展评审中的评比指标之一。椎管肿瘤是生长在颈椎、胸椎、腰椎、骶管内的肿瘤,由于侵犯脊髓和神经根,容易导致瘫痪、大小便失禁、性功能障碍等严重后果,所以一旦发现,应及早治疗。同时由于肿瘤经常和脊髓、神经粘连,手术风险很高,要求外科医生具备很扎实的显微手术基本功。在此报道江宁医院神经外科近期完成的两例椎管肿瘤手术。

病例1:中年男性,因左侧臀部疼痛1年余,加重2月,在当地医院磁共振检查发现椎管肿瘤,经当地医生推荐,来到南京医科大学附属江宁医院神经外科郑学胜主任门诊就诊。

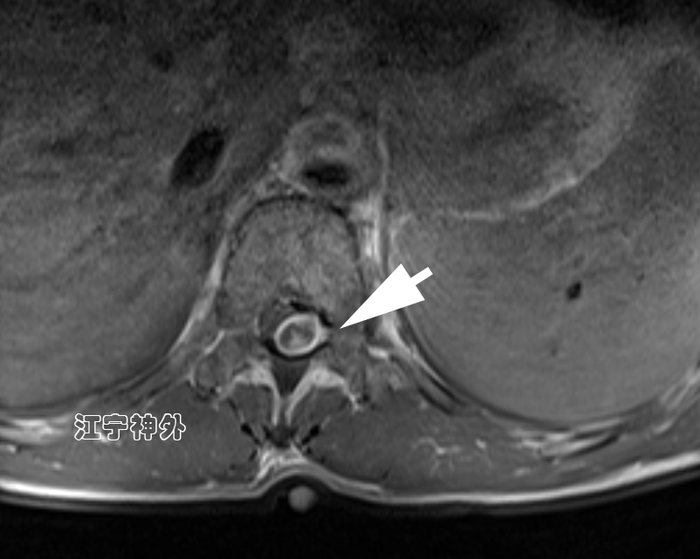
郑主任阅片发现,肿瘤位于胸10水平,属于髓外硬膜下病变,增强不均匀,边界清晰,位于脊髓的左后,脊髓被推向右前方。





经过术前准备,于2月3日在全麻下行肿瘤切除术,手术非常顺利,肿瘤完整全切,根据神经电生理监测,脊髓和神经根保护良好。




术后磁共振显示肿瘤全切,无任何残留;术后两周拆线出院,行走、大小便功能正常,无神经功能缺损。术后病理提示神经鞘瘤。


病例2:患者老年男性,因记忆力下降、行走不稳、经常跌倒、有时尿失禁来院,从症状来看,非常符合正常颅压脑积水的表现,而且CT上也确实存在脑室增大,因此就诊神经外科郑学胜主任门诊,并收治入院。然而,术前检查常规做腰穿时,发现脑脊液是草黄色的,压力也很低,提示椎管内存在梗阻性病变。于是,郑主任团队予以全脊柱增强磁共振检查,发现腰1-2水平巨大椎管肿瘤,很显然,上述行走不稳、跌倒、尿失禁等症状是椎管肿瘤引起的。

郑主任阅片发现,从横断面来看,肿瘤几乎占据了椎管全径,正常的脊髓圆锥和神经根已不可辨认,很难说是髓外硬膜下病变还是髓内病变。结合病程很长,脑脊液循环已完全阻断,推测肿瘤与脊髓圆锥、马尾神经根之间,以及肿瘤与硬脊膜之间很可能有明显粘连,所以手术难度较大,手术风险高。





经过充分的术前准备,郑学胜团队于2月16日在术中电生理监测下实施椎管肿瘤切除术;结果手术难度比预估的还要更大,因为不仅肿瘤质地很硬、血供丰富,而且肿瘤位于脊髓圆锥和神经根的腹侧,手术只能在圆锥和神经根的间隙里操作,肿瘤的腹侧又与硬脊膜严重粘连;郑学胜团队经过近6小时的手术,终于将肿瘤完整全切,并且脊髓圆锥和神经根保护良好。

同时,我们还为患者做了椎管成形术,即复位固定了患者的椎板、棘突和棘上韧带,有利于术后脊柱稳定性。


形似玉坠的肿瘤标本





术后磁共振显示,肿瘤无任何残留,脊髓圆锥和神经根恢复正常形态,术后大小便功能、下肢运动恢复正常。术后病理提示:神经鞘瘤伴出血。


0