您好! 请 登录 | 注册

【病例精选】肘关节骨折ORIF术后感染,内固定物取出还是保留?

2021年04月22日 7951人阅读 返回文章列表

专家简介:文根,上海市第六人民医院骨科-修复重建科,副主任医师,医学博士,硕士研究生导师。主要从事创伤骨科、修复重建外科的临床和基础研究。擅长四肢复杂骨关节创伤修复;关节疾病的保关节治疗;复杂四肢组织缺损的保肢与功能重建;骨缺损,骨不连,慢性骨髓炎的修复与重建;四肢先天及后天畸形矫正等。

肘关节骨折是一种比较常见的严重肘关节损伤,切开复位内固定(ORIF)已成为绝大多数肘关节骨折的标准治疗方式,可以解剖复位关节面,坚强固定骨折,允许术后早期活动,减少肘关节僵硬。

患者病历

患者男性,28岁,1月前因车祸伤致右肘关节骨折,被送往当地医院救治,X线检查示:右肘关节开放性骨折(肱骨远端骨折、经鹰嘴的骨折脱位),行ORIF治疗。

然而,不幸的是,术后3周,患者肘部切口位置发生感染,皮肤逐渐坏死,右肘后可见15cmX20cm大小皮肤软组织缺损,局部有肉芽组织形成,肘后残余部分皮肤发黑,有分泌物流出,创面可见内固定物外露,右肘关节固定于屈曲90°,主动、被动动活受限,前臂旋转功能受限。

为求进一步诊治,慕名来到上海六院骨科-修复重建科文根主任处求医,随后诊断为:

  • 开放性肘关节骨折术后感染;

  • 右肘后皮肤软组织缺损钢板外露

  • 右肘关节僵硬—内固定不良

内固定螺钉穿出进入关节

肱骨远端复位不良

上尺挠脱位

文根主任与团队充分讨论,决定分期行清创、翻修手术,并根据患者个人的病情,制定了周密的手术方案。

第一次手术-清创:

彻底清除感染坏死组织,皮肤软组织缺损面积15cmX20cm,尺骨钢板外露。

第二次手术-骨折翻修:

肱骨远端外后侧钢板阻挡尺骨鹰嘴滑动

肱骨小头复位不佳

内固定拆除后:

肱骨远端C3型骨折

部分骨质缺损

第三次手术-皮瓣覆盖:

在左侧大腿前外侧取带蒂皮瓣,覆盖创面位置

经过上述三次分期手术,患者骨折复位良好,经过积极的康复锻炼,肘关节功能基本恢复正常。

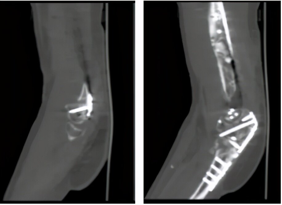
(术后一个月,CT显示骨折复位情况)

据文根介绍,骨折内固定术后感染对患者是灾难性的,彻底清创是关键, 内植物的保留与否,是具体情况而定。一般地,术后感染处理时内植物去除的指征:

  1. 超过术后3~4周发生的感染;

  2. 钢板暴露,软组织缺损、钢板稳定性差;

  3. 骨折复位及钢板固定不佳;

  4. 髓内钉治疗、开放性骨折史、吸烟、假单胞菌感染及下肢创伤;

若清创后,感染彻底控制,可一期翻修;否则应先进行外固定治疗,待感染彻底控制后再考虑内固定。

若清创后存在广泛皮肤软组织坏死、缺损、内固定暴露者,应尽早进行软组织重建,行皮瓣覆盖创面

清创后,真空负压吸引(VAC治疗)进一步控制感染,保证创面干净;亦可为皮瓣手术争取充足的时间准备人力及术前设计。

总之,彻底清创、控制感染、稳定骨折、良好的软组织覆盖是治疗骨折术后感染的基本原则。具体治疗方案需根据患者的临床情况制定,个体化、联合治疗是科学有效的。



0