您好! 请 登录 | 注册

脑卒中-15

2018年05月17日 8047人阅读 返回文章列表

胼胝体主要的功能是协调两侧大脑半球的功能,是大脑中的连合纤维。
累及胼胝体的常见疾病是诸如酒精中毒和华勒变性等脱髓鞘疾病、多发性硬化、淋巴瘤和脑胶质瘤。
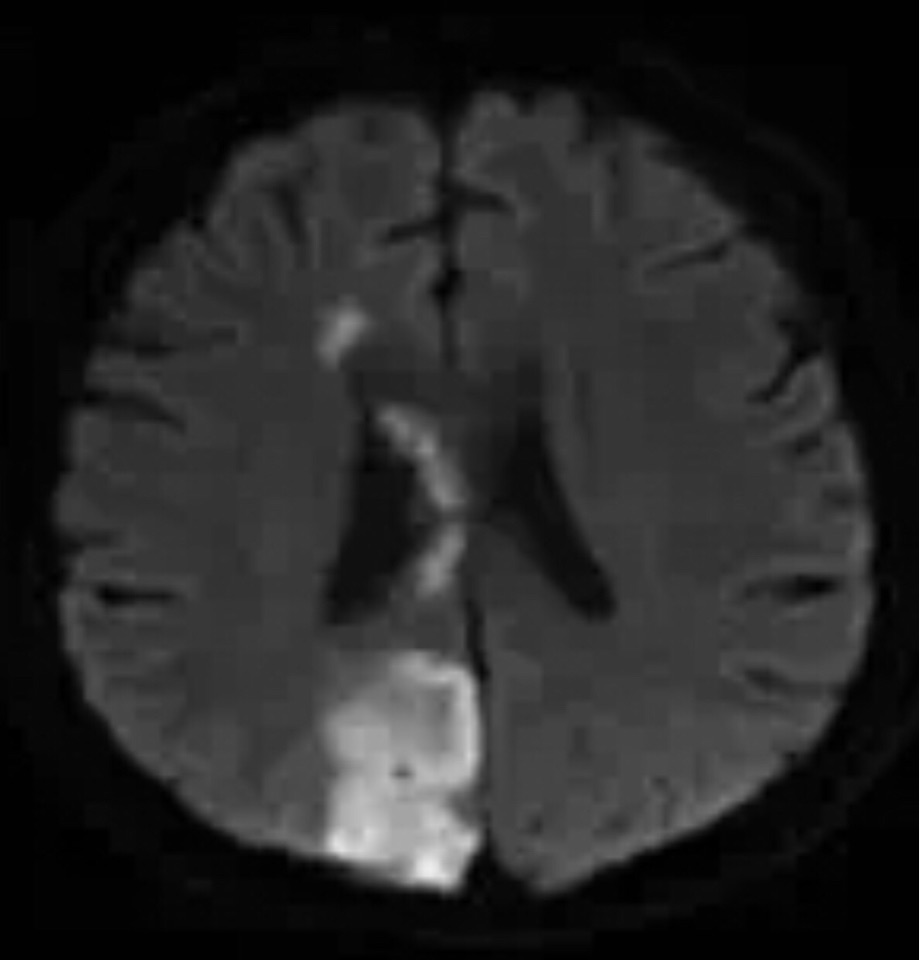
胼胝体前部血供多来源于大脑前动脉,后部源于大脑后动脉。因该部位血供丰富,故临床很少发生脑卒中,孤立性的胼胝体卒中尤为少见。
胼胝体卒中的发病机制多为大血管动脉粥样硬化、心源性脑栓塞和小血管动脉病变。
胼胝体卒中患者多有痴呆表现。头颅核磁共振检查对于确诊非常必要。患者预后取决于其基础状况。本人临床工作中仅见过一例弥漫性胼胝体梗死患者。

1