您好! 请 登录 | 注册

磨玻璃结节故事5 因为中叶结节住院,却无意中发现右下肺恶性磨玻璃结节

2020年09月22日 8906人阅读 返回文章列表

2月前,扬州的一个女医生找我问:“我爸爸的癌胚抗原最近有点高,有7ng/ml,是怎么回事啊?”。于是我想起了一年前的往事……

一年前,一个扬州女医生通过我院的医生介绍找到我,说她爸爸右肺中叶发现一个磨玻璃结节想住院治疗。病人已经在扬州抗真菌治疗12天,抗真菌治疗前后复查CT磨玻璃结节无变化。病人有高血压病10年,甲状腺功能亢进7年。类风湿性关节炎2年,口服氯羟奎(这个药也可以用来治疗新冠肺炎)、雷公藤治疗,最近静脉用过云克。

病人的中肺磨玻璃结节大约9×10毫米大小。在我院复查CT长下面这个样子。

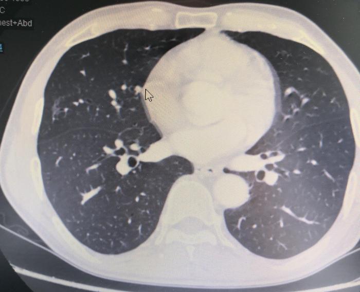
上图(图1),黄色箭头指示的是右中肺磨玻璃结节。

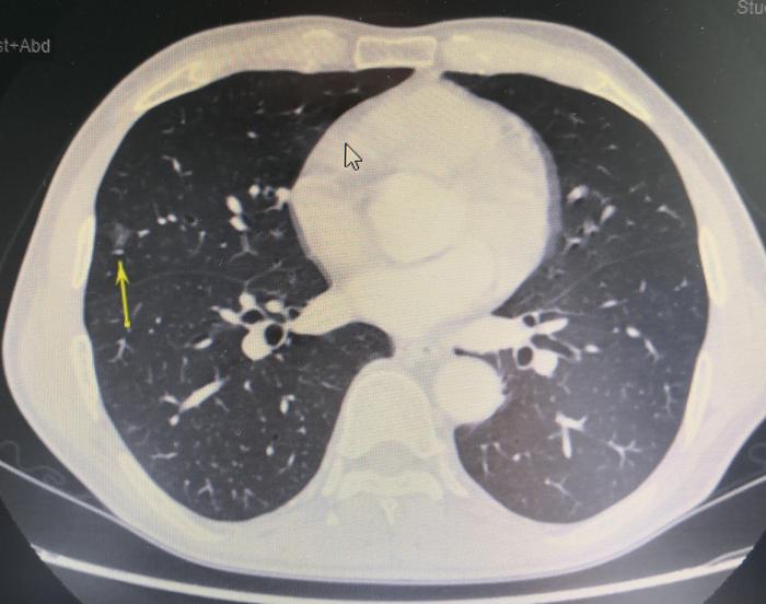
   下图(图2),黄色箭头指示的是右中肺磨玻璃结节。这张CT位于上一张CT的足侧1mm。

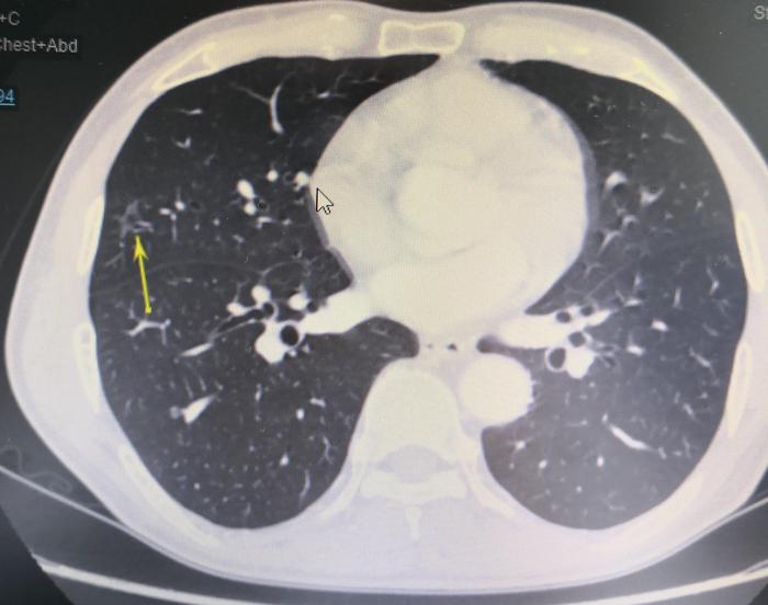
下图(图3),黄色箭头指示的是右中肺磨玻璃结节。这张CT位于上一张CT的足侧1mm。

上图(图3),右中肺磨玻璃结节中还可以看到小空泡。病变性质倾向于肺癌。

我仔细看了看CT,发现患者右下肺还有一个磨玻璃结节,我看了看外院CT,隐约有一个磨玻璃结节。我问扬州女医生:“你们扬州****医院CT报告没有提到有下肺还有一个磨玻璃结节。在扬州有人和你提起过你爸爸右下肺还有一个磨玻璃结节吗?”

扬州女医生说:“从来没有人提起过我爸爸右下肺还有一个磨玻璃结节。我看过好几家医院了,你是第一个说我爸爸还有一个磨玻璃结节的人。”

我说:“你爸爸右下肺的磨玻璃影子比较淡,不明显。而右中肺的磨玻璃结节影子深一些,比较明显。所以,很多医生只注意到右中肺比较明显的磨玻璃结节,而忽略了右下肺还有一个磨玻璃结节。扬州的医生没有看见,我们医院的CT室医生也没有看见右下肺的磨玻璃结节。你爸爸右下肺的磨玻璃结节还不小,大概15×10毫米大小。”我指给女医生看如下。

上图(图4),黄色箭头和左边蓝色箭头指示的是右下肺基底段磨玻璃结节,磨玻璃结节内部图案出现乌龟壳上的花纹样改变。上边蓝色箭头指示的是右下肺前基底段支气管。右下方蓝色箭头指示的是右下肺外基底段支气管。这张CT说明这个磨玻璃结节位于右下肺的前基底段支气管和右下肺外基底段支气管之间,也就是说,位于右下肺的前基底段和外基底段中间。

上图(图5),是图4的放大图。黄色箭头和左边蓝色箭头指示的是右下肺基底段磨玻璃结节,磨玻璃结节内部图案出现乌龟壳上的花纹样改变。上边蓝色箭头指示的是右下肺前基底段支气管。右下方蓝色箭头指示的是右下肺外基底段支气管。

上图(图6),蓝色箭头指示的是右下肺磨玻璃结节。黄色箭头指示的是右下肺磨玻璃结节内部的扩张小支气管。这张CT位于上两张CT的足侧1mm。


上图(图7),我们医院和扬州一样没有看到这个磨玻璃结节。


我说:“磨玻璃结节经常有漏看掉的。给你举个例子,十几年前,我曾经遇到在南京某大医院看过的食管癌患者,外院胃镜说有一个大食管癌,手术后我们剖开标本,发现其实有两个食管癌,第二个食管癌很小。我在门诊看磨玻璃结节,经常发现其他医生发现不了的磨玻璃结节,数目经常要多几个。”

扬州女医生很感谢,说:“幸好陆主任发现下叶的磨玻璃结节。不然的话,我们刚开过刀几年后,下叶的磨玻璃结节长大又要开一刀。”

我说:“你爸爸的类风湿性关节炎的药能不能停一个星期,这些药妨碍伤口愈合。”

家属请了鼓楼医院风湿免疫科会诊,认为可以停药7-10天。我安排患者术前停药2天,术后停药一周。

手术前我花了2小时画了动脉静脉支气管细节图,发现患者前基底段动脉和外基底段动脉共干,外基底段动脉和后基底段动脉间的夹角有一个1.4毫米小动脉,

手术到来了。右中肺做了简单的楔形切除术。下叶手术在术中按图索骥,动脉的解剖与我术前画的一模一样,做了右下肺前基底段和外基底段联合肺段切除术。

图(图8),右下肺基底段结节切开后的照片。两个蓝色箭头指示的是剖成两半的结节。结节剖面呈现灰色,局部呈现黑色。


结果手术后的病理出来了。患者右中肺的磨玻璃结节是良性的:肺间质纤维组织增生,炎细胞浸润。我无意中发现的右下肺的磨玻璃结节反而是恶性的:周围型结节型腺癌,其中腺泡型占60%,贴壁生长型占60%。


我说:“幸好我发现了你爸爸的右下肺磨玻璃结节,它已经突破了磨玻璃结节的微小浸润性腺癌阶段了,到了浸润性腺癌阶段。不过肿瘤的Ki67比较低,只有2%,说明这个结节长的很慢,恶性的不高。中叶肺结节是良性的好。一个恶性结节总比两个恶性结节好”。

扬州女医生非常感谢。病人术后恢复很顺利,术后7天重新吃抗类风湿关节炎药物。

我的思绪又拉回来现在。扬州女医生说:“我爸爸只有癌胚抗原高,其它一切正常。”

我问:“你爸爸最近两年做过胃镜肠镜吗?”

扬州女医生说:“我爸爸去年做过胃镜,今年做过肠镜。都没有看到肿瘤。”

我说:“有些正常人有时癌胚抗原高一些。没关系,过几个月又慢慢降下去了。我最高的见过癌胚抗原升高到11,后来又慢慢降到5.5。你爸爸手术后已经1年多,刚复查过,过3个月再来复查吧。”

 


0