您好! 请 登录 | 注册

血管里的垃圾可以吸出来么???

2022年03月15日 7734人阅读 返回文章列表

89岁女性,因右足背足趾发黑破溃3月入院,既往糖尿病,高血压病史多年。

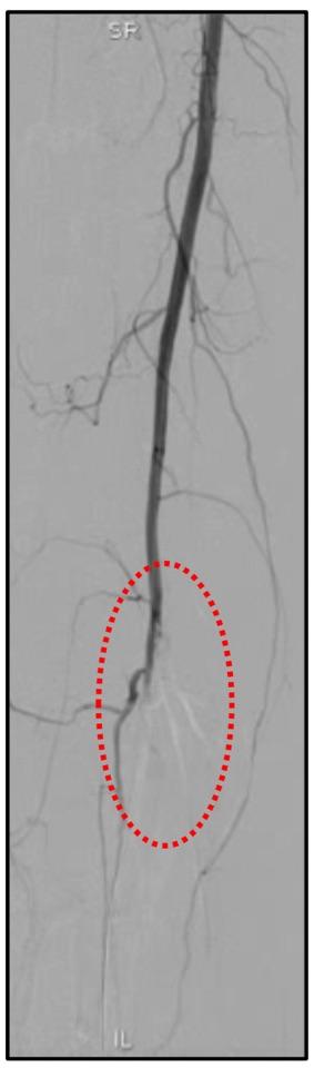
术后造影发现右小腿动脉血流中断,考虑栓子脱落引起
术中行吸栓及球囊扩张治疗
治疗后小腿动脉血流通畅,右足皮温变暖
 
最后来看看术中吸出的栓子吧

0