您好! 请 登录 | 注册

三叉神经痛合并冠心病(心脏支架术后),微创手术治愈

2021年03月26日 8350人阅读 返回文章列表

患者65岁,右侧三叉神经痛两年,疼痛严重,卡马西平无效,洗脸、刷牙、吃饭诱发疼痛。症状比较典型,有明确的手术指征。

但患者有冠心病,并放过心脏冠脉支架半年,长期吃阿司匹林和波立维,有时心绞痛。手术止血比较困难,术中术后出血风险较高,术后心肌梗塞风险较高。

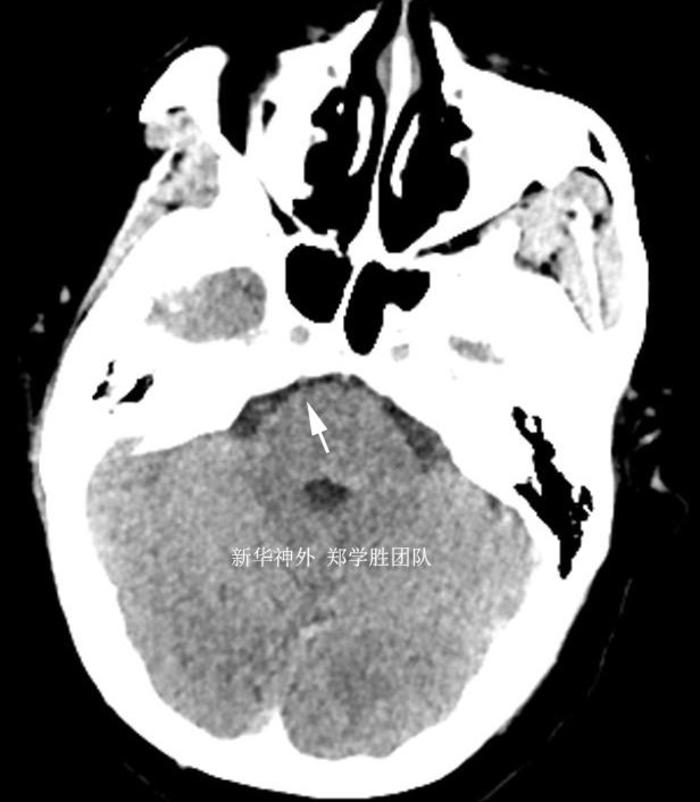
另外,由于心脏支架,不能做磁共振,术前只能做CT检查,CT不能看到三叉神经血管压迫的情况,只能排除有没有脑肿瘤。箭头所指的是三叉神经位置。


经过权衡以后,郑学胜团队决定予以三叉神经显微血管减压手术,围手术期予以波立维暂停5天,阿司匹林暂停3天,术中严格止血。

手术顺利,术中发现是小脑上动脉呈袢状严重压迫三叉神经,予以完全减压。术后复查CT,手术部位没有任何出血,予以中性治疗。


术后三叉神经痛完全消失,心脏情况也比较平衡,一周治愈出院。


0