您好! 请 登录 | 注册

给更多复杂晚期大肠癌患者生的希望

2018年07月18日 7874人阅读 返回文章列表

上海市东方医院大肠癌多学科综合诊疗协作组成立(MDT)同济大学附属东方医院胃肠肛肠外科傅传刚

大肠癌在我国近年来发病率呈明显上升趋势,上海市的发病率每年递增4.2%,大肠癌已经成为影响沿海地区居民身体健康最常见的凶手之一,占男性肿瘤第二位,女性肿瘤第三位。

虽然通过肠镜检查,增加了早期肠癌的发现率,但与日本、韩国相比,我国确诊的大肠癌还是有80%以上是中晚期。大肠癌有的已侵犯周围脏器,腹壁和盆壁;有的形成直肠阴道瘘或直肠尿道瘘;有些一开始就合并多发的肝转移或肺转移、骨转移;有一些是肠癌术后复发病例,甚至开了好几次刀;也有一些患者是高龄,一般情况不佳,合并糖尿病、心脑血管疾病等,给手术造成了极高的风险。这些复杂的疑难中晚期病人,治疗起来确实相当棘手,这时候就需要多学科团队合作,才能科学评估风险,与效益,兼顾疗效与安全。

近期连续多例复杂疑难大肠癌患者,慕名傅传刚教授,来上海就诊,为了更精准的为这些患者制定最获益的治疗方案,同济大学附属东方医院胃肠肛肠外科专门组织了一场精彩的大肠癌多学科诊疗讨论会。会议由大肠癌MDT首席专家、中国医师协会外科分会肛肠外科委员会主任委员傅传刚教授住持,会场讨论气氛热烈,胃肠肛肠外科卢爱国教授、宋纯教授,肝胆胰外科张辉教授,放疗科秦庆亮教授,肿瘤内科姜虹教授,以及影像科、病理科、泌尿科、胸外科、介入科的高年资专家们深入讨论,踊跃发言,分析问题鞭辟入理,解决问题直指要害,从根本上找到了为这几位患者最佳治疗策略,为他们制定了个性化的治疗方案。在座的年轻医生都感觉会议讨论得酣畅淋漓,通过这次MDT,获得极大的知识更新,拓展了临床思维。患者及家属对这次讨论的形式和结果非常满意,极大增加了治病的信心,表示积极配合所定方案治疗。

傅传刚教授指出:

我国大肠癌患者目前普遍的诊疗模式是,谁第一个抓到谁看,外科抓到外科看,内科抓到内科看,中医抓到中医看。患者在这样的治疗模式下,有可能接受重复检查、过度治疗、非恰当治疗、或错过最佳治疗时机。多学科综合治疗协作组(MDT)最大的意义就是以患者为中心,让患者在诊断和治疗中获得最大的利益,同时确保治疗的科学性、一致性、协调性和效价比,避免过度治疗、随意治疗,减少误诊误治,充分按照循证医学证据,合理、科学、有计划的实施个体化治疗,更能提高团队的整体医疗水平,促进各专业人员间的交流。

另一方面,对医院来说,实施MDT则能长久获益,开展MDT会带动整个团队、各个学科的提高,从而带动医院整体医疗水平、教学水平甚至科研水平的提高,也将为医院后续发展提供后劲。

同济大学附属东方医院胃肠肛肠外科以大肠癌早期诊断、3D微创手术和综合治疗;顽固性便秘诊断与外科治疗;重度脱垂性内痔和混合痔的外科治疗等为专业特色,在疑难复杂的中晚期大肠癌诊治方面积累了大量的经验,在国内居于领先地位。通过大肠癌多学科综合诊疗协作组(MDT)的平台,为大肠癌患者提供了更加精准、个体化的治疗方案,为病人带来更多的福音。

病例60岁女性患者,三年前在山东因结肠脾曲癌行姑息性左半结肠切除术,今3月因腹部不适查肠镜有发现升结肠近肝区、降结肠两处巨大溃疡性肿瘤,全腹增强CT显示结肠癌术后肿瘤复发并侵及邻近胃壁、空肠、胰腺及脾脏,肝右叶考虑转移瘤

病例二:老年女性患者,来自吉林,一年前在当地医院因宫颈癌做了子宫及双侧附件切除术,近年7月份起因便血、腹泻伴体重减轻到吉林省人民医院查肠镜提示距肛门20cm一巨大肿瘤,病理为中分化管状腺癌。同时患者右下肢肿胀明显,血管超声提示有左下肢静脉血栓。

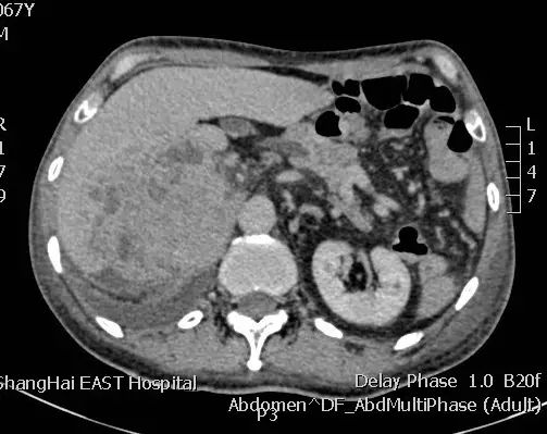
病例三:老年男性,因消化道出血入院,甲胎蛋白 >60500ng/mL,腹部CT显示右侧肾上腺区巨大占位并侵犯肝脏,肝硬化,肝右前叶有占位,胃镜显示胃窦部巨大溃疡,肺部CT显示左肺不张。

0