您好! 请 登录 | 注册

我是怎么在门诊判断一个实性结节是良性结节的

2021年09月29日 8594人阅读 返回文章列表

我是怎么在门诊判断一个实性结节是良性结节的

2021年6月的一个星期五上午,我在门诊接诊一个甲状腺癌术后患者。患者已经在外院做过两次甲状腺手术,术后病理有6个淋巴结转移。现在在我院复查CT,发现右中肺有一个结节,这个结节不除外转移。其它医院也认为不排除转移。这个患者想请我看看像不像转移,能不能手术治疗。

我边打开我们医院的影像系统边对病人说:“不排除转移可能,说明影像科医生认为不能完全排除转移的可能性,但是总体而言转移的可能性比较小,但是又不能百分之百排除转移。”

我看了一会儿CT。对患者说:“你的右中肺结节是一个实性结节,可以基本上排除转移,也不是原发的肺癌。我分析给你看看。”

我用三个箭头指示这个右中肺实性结节,在薄层CT133层面,此结节的三条边都比较直。边缘笔直是良性结节的特点。

上图是我把这个结节由肺窗转变为纵隔窗。可见此结节内部局部看起来发暗。

我仔细测量其中一小块发暗的区域,CT值为-62,说明局部有脂肪密度,此实性结节内部有脂肪成分。有脂肪成分的实性肺结节一般是良性肺结节。

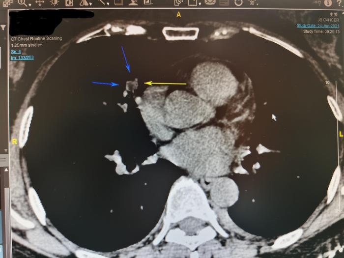
再看了几个薄层CT,上图,我用5个箭头指示这个右中肺实性结节,在薄层CT136层面,此结节的5条边都比较直。边缘笔直是良性结节的特点。

上图,在薄层CT136层面的纵隔窗,同样可见此结节内部局部看起来发暗。

我仔细测量薄层136层面其中一小块发暗的区域,CT值为-54,说明局部有脂肪密度,此实性结节内部有脂肪成分。有脂肪成分的实性肺结节一般是良性肺结节。

我对病人和家属说:“这个右中肺的结节是一个实性结节,多个CT层面可以看到多个边缘呈现笔直的特点,加上结节内部多个区域出现脂肪密度,所以这个结节可以基本上排除转移癌,也可以基本上排除原发性肺癌。理论上还不能排除脂肪肉瘤这种恶性肿瘤的可能,但是实际上脂肪肉瘤非常罕见,可能性极小。所以这个结节复查几次,就可以完全排除恶性病变。你现在可以基本上放心这个肺结节了,不需要手术,以后还是主要围绕甲状腺癌进行复查和术后治疗”

病人和家属觉得我分析的很有道理,如释重负,高高兴兴离开了门诊。




0