您好! 请 登录 | 注册

94岁耄耋老伯直肠癌3D腹腔镜无切口手术,再创生命奇迹

2018年07月18日 7385人阅读 返回文章列表

2016.07.28日下午,同济大学附属东方医院胃肠肛肠外科在为一位97岁结肠癌伴部分梗阻病人进行根治性手术,病人术后10天顺利康复出院后,再为一名94岁直肠癌老伯行3D腹腔镜腹部无切口根治手术治疗。同济大学附属东方医院胃肠肛肠外科傅传刚

术前肠镜显示肠癌肿瘤已经引起明显狭窄

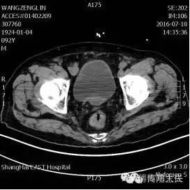
术前盆腔CT显示肿瘤位于直肠上段,伴有肠腔狭窄

著名结直肠外科专家傅传刚教授亲自主刀,带领他的团队一起通过3D腹腔镜进行腹部无切口直肠癌根治术,手术不仅彻底切除肿瘤侵犯肠管,同时切除相关系膜和转移淋巴结, 整个手术仅用时1小时20分钟,出血不到10ml,完全做到无血白色手术。在傅传刚教授娴熟的技术操作和其团队和谐的配合下,整个手术过程进展的非常顺利。

手术过程

术中血管神经的解剖更加的精细和精准,使手术更加的彻底和安全

手术切除标本,中间白色为肿瘤

传统开腹手术,腹部切口巨大

腹部无切口手术,几乎无伤口

3D腹腔镜无切口手术,是在传统腹腔镜微创手术基础上在国际上最新开展的极致微创结直肠手术。传统开腹手术切口长约15-20cm,创伤大、疼痛感强、术后切口感染和并发症风险大。尤其高龄患者,全身生理功能差,更易发生呼吸道和肺部感染,切口裂开等并发症。而且由于卧床时间长,加大了静脉血栓发生的风险。与传统开腹手术相比,既往的传统腹腔镜手术可以明显缩小手术切口,减少手术后的并发症,但由于是2D的腹腔镜,手术视野的缺乏空间立体感,难以进行复杂和精准的操作,手术时间明显延长,难以进行复杂和精准手术。

3D腹腔镜手术者佩戴特殊的3D眼镜,针对大屏幕上的图像进行操作,不仅手术部位的结构被明显放大,即使头发粗细的纤维也显示的非常清楚,而且由于是立体结构,可以进行比开腹手术还要精细和精准的操作,加之超声电刀的使用,几乎做到完全的无血白色手术,因此病人手术可以更加的快速康复。由于能够进行复杂的操作,3D腹腔镜使结直肠切除后完全的腹腔内吻合成为可能。为此,傅传刚教授团队在国际上比较早的成熟开展腹部无切口结直肠手术,通过不断的创新使手术更加的规范,更加的安全和便捷,无论是近期效果还是远期结果均处于国际领先,引起国际和国内同行的广泛关注。

94岁老伯,直肠癌腹部无切口术后2天,已能神采奕奕的自由行走。而同时进行开腹手术的年轻人还在床上痛苦的煎熬

无切口手术更受患者欢迎,主要是因为它是真正意义上的微创手术,术中出血少,手术时间短,术后疼痛轻、病人恢复快、卧床时间大大缩短,患者术后第二天即可下地走路,胃肠道功能恢复快,完全避免了各类并发症的发生。

为何3D腹腔镜手术成为患者首选?3D腹腔镜与传统2D腹腔镜相比,3D腹腔镜明显优势在于3D腹腔镜还原了真实视觉中的三维立体手术视野,并具有放大作用,克服了传统腹腔镜二维视野所造成的视觉差别与不便,可在各种脏器之间查找病变部位,从而精确切除及重建。3D放大效果比2D更大,具有明显的解剖优势,使组织之间的间隙更加清晰,有利于精细解剖,使手术更加精准。

目前,同济大学附属东方医院胃肠肛肠外科每年开展3D腹腔镜手术600多例,其中无切口大肠癌根治手术已十分成熟,特别适合于体型清瘦或不太肥胖的国人,尤其是高龄患者,明显降低手术风险,提高根治性肿瘤切除率和保肛率,降低术后并发症发生率,是更多患者带去了福音。

0