您好! 请 登录 | 注册

洗牙,到底是伤牙还是护牙?

2019年04月08日 7255人阅读 返回文章列表

首先,我们先来了解下

为什么要洗牙呢?

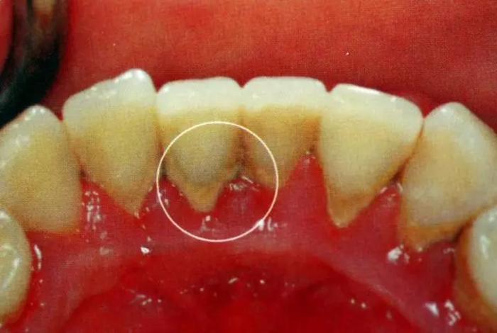
在我们日常饮食中就会有食物残渣残留在牙齿表面或者牙缝中,这些残渣单靠每天早晚刷牙是难以清除干净的,何况有些人还没有良好的口腔卫生习惯,久而久之细菌堆积就形成了牙结石、色素等顽固的牙垢。

▲电子显微镜下的牙菌斑

而牙垢是引发牙周病的主要原因,牙周病引起牙龈发炎、出血和口腔异味,严重时使患者的牙齿松动、移位甚至脱落,所谓“老掉牙”就是因牙周病引起的。

从不洗牙的人牙齿掉的快,为什么这么说呢?

举个例子就知道啦!下图标注的A、B两颗牙齿表面看上去都没什么特别严重的问题


但是其中脱落的B牙却是这样的:

估计很多人都觉得不可思议,觉得这两颗牙看着都没那么脏啊?看着不脏,龈下却已经积满牙结石。

数据显示,中国人群牙周健康率仅为14%,而牙周病是导致失牙的主要原因。日常刷牙只能清洁牙面的40%-60%,即使搭配清洁的工具,如牙线、间隙刷,只能清洁牙面的百分之八十,也不能清洁牙面的全部,所以定期洁牙是有必要的。

而洁牙主要有两个作用,一个是预防,一个是治疗。定期洁牙,做好口腔卫生,可以预防牙周疾病的发生。如果是已经有牙龈炎或者牙周炎的症状,洁牙也是治疗的第一步。

了解了以上内容,接下来给大家介绍下↓↓↓

洁牙“三步曲”

第一步:超声波洁牙

根据超声波原理

用洁牙机工作尖

去除牙结石、牙菌斑

第二步:喷砂

用装了果味儿喷砂粉的喷砂枪头

进一步去除牙齿表面上的色素沉积物

(适合有长期抽烟、喝茶和咖啡习惯的盆友)

第三步:抛光

在牙齿表面涂抹颗粒较细的抛光膏

(类似牙膏)

通过慢速手机上的抛光杯逐一抛光牙面

使牙齿表面恢复光滑

很多人表示:第一次洗完牙后感觉牙齿本来没事,洗完后牙缝变大了!由此也就引申出了很多关于洗牙的误区,你也是这样认为的吗?

洗牙会把牙缝洗大吗?

洗牙是不会让牙缝变大的,它就和搓澡是一样的,将污垢去除,但你的肉是搓不掉的。那到底是什么原因给大家造成了牙缝会变大的这种感觉?

洗牙后牙缝变大的原因主要有以下2个

1.牙结石消失

在洗牙后觉得自己牙缝变大的小伙伴,一般是牙结石比较多的人,洗掉牙结石,只是将本就松动和被损坏的牙齿解放出来而已,这也是洗牙后感觉牙缝变宽和牙齿松动的真相之一。

但是不用担心,洗牙后口腔情况得到改善,慢牙龈慢就会再次包裹回来,牙缝也会随之慢慢恢复正常。

▲牙结石去掉前后的对比图

2.牙龈红肿消退

很多人在洗牙之前牙龈是发炎红肿的,那么原本的牙缝被红肿的牙龈填满,而洗牙过后,口腔卫生状况改善,牙龈不肿了,原本的牙缝就显露了出来,让人感觉上是洗牙造成的牙缝变大。

如果洗牙后你觉得牙缝变大,说明本身就有牙周病,洗牙洗晚了,牙龈不健康,萎缩了,而且牙结石本身就可能会造成牙齿松动,如果尽早采取措施,干掉牙结石,消除炎症,牙齿才会越来越健康。

如不及时除去牙石,牙龈会进一步萎缩,反而会导致牙齿松动脱落。

关于洗牙还有哪些误区?

误解1:天天刷牙就不用洗牙?

虽然你每天都在刷牙,但不能保证牙刷能把牙齿刷干净。

牙刷大约能清除65%的牙菌斑,但不能完全清洁掉塞在牙缝里的食物残渣,更不能全方位清洁牙齿的每一个角落,久而久之就形成了一块块牙石黏在牙齿上。这时候就要借助洗牙,来做一次彻底的大扫除。

误解2:洗牙会美白牙齿?

健康的牙齿呈乳白色或淡黄色,牙齿表面是光滑的。

洗牙虽然可以去除咖啡渍、茶渍和烟渍以及日积月累的牙石、牙菌斑,但对于牙齿长期、深部的色素沉淀以及牙釉质本身颜色的改变无能为力。

洗牙不是漂白牙齿,大家如果想要牙齿变白可以考虑做冷光美白、美牙贴面和烤瓷冠哦。

误解3:洗完牙后牙齿很敏感

洗牙洗掉牙石,牙齿等于脱掉了厚厚的“牙石盔甲”。使牙体组织暴露,必然会变得敏感。

一般牙周健康的人群,敏感较为轻微,几天就会消失,所以不用担心。就像人刚搓完澡,不能立即就泡到热水池里。另外要注意:洗完牙两周内,不要吃过冷、过热、过酸、过甜等食品。

误解4:洗牙特别疼

洗牙确实不好受,但洗牙的痛感并不是难以承受。

牙石最易生长的地方,就是那些不易清洁的位置,比如牙齿和牙龈的交界处。而这个交界处,是牙齿本身洁白坚硬的牙釉质和稚嫩敏感的牙根,即使是没有牙周病的情况下,用金属器械触碰这个位置,也会引起一定的不适。

但这种不适,一般人都是可以忍受的,并且习惯了洗牙以后,洗牙进行的那些操作所引起的疼痛就会变得微乎其微

并且,第一次洗牙时,因为牙石积存的比较多,医生需要用较大的功率反复清洁,不适感也就要多一些;当以后定期洗牙时,牙石不多,清理起来也就不再那么难受。

所以,放心去洗牙吧,那是保护我们口腔健康的好办法。定期洗牙不仅是一种日常保健,也是一种生活态度!

但洗牙不是每天都可以洗的,所以在日常生活里要使用正确的刷牙方法↓↓↓


牙齿健康很重要,有好牙口才能有好胃口哦~

0