您好! 请 登录 | 注册

肛肠专家经肛微创技术成功治疗耄耋老人直肠脱垂

2022年06月29日 5114人阅读 返回文章列表

脱垂病例

近日,我科连续收治了两例高龄直肠脱垂患者,因上海新冠疫情封控影响,其中一例高龄女性患者症状已经非常严重,最终为其实施Altermeier(经会阴直肠乙状结肠切除术)手术。

简要病史

  • 基本信息:患者,女性,85岁

  • 入院情况:直肠脱垂20余年,诊断:直肠脱垂

  • 主要典型症状: 

    —肛门失禁,肿胀伴有持续性隐痛

    —肛周脱出肿物,无法自行还纳

    —肛门坠胀和排便不尽感

    —便秘

  • 肛门指检:肛门括约肌松弛,见直肠脱出直肠外,指检未触及肿物,指套未染血。

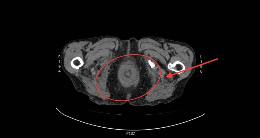
 结肠镜诊断:

  • 肛缘可见直肠粘膜环形脱出,粘膜水肿。

 放射学诊断:

  • 结肠造影后改变,直肠脱垂,直肠壁似环状增厚,周围水肿样改变。

术前影像

术前讨论

早会病例讨论时,傅教授教授指出,保守治疗对合并严重并发症的老年患者有效,但是大多数情况下只是预防症状加重和减少发作频率,治标不治本。陈**属于症状性全层直肠脱垂,手术是治疗的主要方法。

傅教授针对陈**的情况综合判断,Altermeier术(经会阴直肠乙状结肠切除术)是最佳的手术方式。

Altermeier术优点

Altermeier术避免了开腹手术带来的创伤,尽管复发率可能高于经腹直肠固定术,且可能导致对术后肛门控便功能障碍,但其创伤小,并发症较少,患者更易耐受。尤其适用于高龄体弱或有严重并发症的直肠脱垂患者。

傅教授还在早会上给大家播放讲解了2003年自己首次开展Altermeier手术的视频,手术过程如行云流水,没有一个多余动作,科里医生看完后都心领神会,手术成功的底气又多增加了几分。

手术方式:

Altermeier经会阴直肠乙状结肠切除术(略)

术者:傅传刚、鲁兵

术后

手术顺利,转入术后监护病房加强监护。截止发稿前,陈**精神状态明显好转,已转回普通病房。

总结

直肠脱垂可造成患者虚弱不便,显著限制患者日常生活活动。50岁以上女性患病率是男性6倍,发病高峰在70岁左右。年轻患者发病多与发育迟缓或精神疾患相关。患者主诉通常包括大便失禁、黏液溢出、出血、肠管脱出引起的不适和便秘等。

老年直肠脱垂近年来发病率明显增加,主要是由于老年人体弱无力,括约肌松弛,骨盆直肠窝、坐骨直肠窝脂肪量减少,加上老年人主要是全身组织衰退、肌肉松弛,加上一些慢性疾病,如便秘、气管炎、咳嗽、前列腺肥大、排尿困难等。频繁增加腹压,同时隔肌下降,压迫腹腔脏器推压乙状结肠和直肠向下移位,容易导致不全性直肠脱垂。


傅传刚教授呼吁一定要重视老年性直肠脱垂


往期科普回顾

肛门掉东西,竟然是直肠!

警惕!脱肛请勿一“塞”了之,可能会危及生命!




0